短短一个月
上海一女子
视网膜严重受损
险些致盲
元凶竟然是激光笔

逗猫用的激光笔
会议室用的激光笔
市场上卖的激光笔玩具
其中的安全隐患
真的要给所有人提个醒!
“逗猫”一月,视力骤降
目前仅能看清30厘米处手指
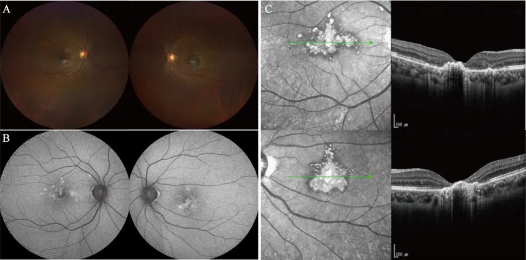
据医生介绍,该患者近一个月来发现自己视力持续下降,没有眼痛、眼红等其他不适,起初以为是疲劳所致,直到看东西越来越模糊,才赶紧来院就诊。
眼科检查结果让人揪心:她的双眼视力从正常的1.0暴跌至只能看清眼前30厘米处的手指动作(医学上称为“FC/30cm”)。眼底检查影像更显示,她的黄斑有一些较密集的新旧病灶并存的累积性损伤,且损伤已累及深层组织,恢复希望渺茫。而这些病变提示视网膜强光损伤。

追问病史时,这位患者既不从事强光相关职业,也没有被强光照射的经历——唯一的“疑点”,是她网购的一支红色激光笔。
“我每天用它逗猫,自己也会偶尔看地上移动的红点,地板上反光的,当时没觉得不舒服,顶多眼冒黑影,但还能正常开车。”患者的话,道出了真相。罪魁祸首,正是这支用来逗猫的“普通”激光笔。

激光笔伤眼案例
不在少数!
●今年6月,某电视剧正在重庆进行拍摄。一名上海游客发帖称,自己在游玩时被该剧组清场的工作人员使用激光笔照到眼睛,导致受伤。
●2023年,歌手薛之谦也曾在演出时被不明人员用激光笔直射面部,不得不暂停演出。
为什么激光笔能“烧”坏眼睛?
激光聚焦性很强,医用在一定的时间,强度,光斑大小,照射角度等条件控制下,可在视网膜上产生明显热灼伤,在眼科利用激光这种热破坏效应可进行眼底视网膜病变的治疗。

高功率的激光笔,同样可达到破坏效应,已经超出了日常生活使用范围,更危险的是,伤害不仅可来自激光直接照射,瓷砖、玻璃、金属等光滑表面反射的激光,哪怕经过衰减,仍可能有强破坏力。
市面上的“逗猫激光笔”“高亮激光笔”,大多没有经过安全调控,功率甚至远超医用治疗激光,风险完全不可控。非专业人士不应随意使用或售卖。
更让人防不胜防的是
眼睛被强光照射或激光损伤后
不会有疼痛感
但是会出现:
视力骤降、视物变形、中心暗点、
色觉异常或有闪光感
据深圳市卫健委,激光笔能发射出世界上最亮的光——激光。激光聚焦后,亮度要比太阳表面的平均亮度高出上千万倍!
如果对着光源处看,大量激光瞬间聚集到视网膜上,会对眼睛造成不可逆的伤害,目前没有药物和手术能治好。
如何降低激光笔的危害
看图
↓↓↓

赶紧转发家人朋友
赶紧检查家里的激光产品
大功率产品不能留
综合| 上海市第一人民医院、新闻坊、深圳卫健委、科普中国、FM93浙江交通之声、杭州日报
点击右上角
微信好友
朋友圈

点击浏览器下方“
”分享微信好友Safari浏览器请点击“
”按钮

点击右上角
QQ

点击浏览器下方“
”分享QQ好友Safari浏览器请点击“
”按钮
