冰镇冷饮冰激凌
为冷链食物保鲜
制作“仙气飘飘”的网红饮料
……
干冰
在日常生活中十分常见
但很多人不知道
干冰若储存、使用不当
便会“暗藏杀机”
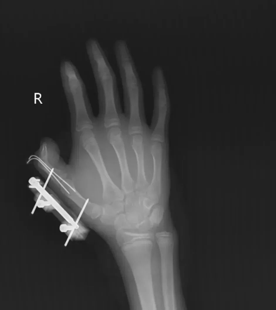
把干冰当玩具
14岁少年手指被炸伤
前不久
湖南一名14岁少年维维(化名)
在网购的冰激凌箱子里
发现了用于冷藏的干冰
便拿走当玩具玩
捏在手里反复摇晃
突然
密封袋里的干冰发生爆炸
维维的右手瞬间鲜血直流
拇指虎口处
被撕开一道约10厘米的伤口
肌肉组织断裂外露
还伴随拇指骨折、关节脱位
整个拇指完全失去知觉
经治疗
维维的拇指保住了
但后续还需长期康复训练
才能慢慢恢复手部精细动作功能

干冰
又名固态二氧化碳
通常为无毒无味的白色固体
形状不一
干冰在常温常压下
可以直接升华成二氧化碳气体
升华时体积膨胀约800-1000倍
加入热水后会急剧加速升华
产生大量烟气

图源:广东消防
湖南省人民医院手足显微外科主任
陈建民介绍
如果将干冰装在密封袋里摇晃
随着气体不断增多
袋子承受不住压力就会爆炸
干冰使用不当
可能造成致命危险
■ 爆炸
很多人会将干冰放在冰箱里重复使用,但干冰的升华温度约为-78.5℃,冰箱冷冻室的温度在-4℃至-24℃之间,因此干冰放入冰箱后,会持续升华产生大量二氧化碳气体,致使冰箱内部压力过大,发生爆炸。

图源:广东消防
■ 窒息
干冰升华后产生的二氧化碳气体会导致人呼吸困难,如果在较封闭的空间内,短时间就可引发窒息,危及生命。
2024年夏,一名男子在驾驶车辆时突感身体不适,几近昏迷。原来,该男子车辆后备箱中装了一箱冷饮,用干冰冷藏,因干冰发生升华,他在密闭车厢里吸入了过量二氧化碳,导致身体不适。
■ 冻伤
干冰是温度在-78.5℃以下的固态二氧化碳,直接接触皮肤会瞬间带走热量,非常容易造成冻伤,甚至导致皮肤坏死,重则伤及肌肉、骨骼。
如何安全处理干冰?
■ 避免密闭空间放置
切勿将干冰存放在矿泉水瓶等密闭容器中,或保存在冰箱里;干冰要放置在通风良好的地方。
不要在汽车等密闭空间内存放使用干冰。
■ 接触必戴防护
不要直接接触干冰,为避免冻伤,可使用防冻手套或夹子拿取干冰。
■ 受伤立即就医
当人体皮肤接触干冰后出现冻伤,应使用冻疮膏进行处理,若冻伤情况严重,应及时就医。
一旦被干冰炸伤,应马上就医,以免耽误治疗。
若干冰爆炸导致塑料、玻璃等包装碎片刺入身体,应保持原位并立即就医,盲目拔出可能加重损伤。
■ 不建议存储干冰
用完的干冰最好放在通风良好的地方,让它自然升华成二氧化碳。
温馨提醒
干冰是生鲜冷冻“保鲜利器”
收到干冰应通风放置妥善处理
密封存放会爆炸,徒手接触易冻伤
若不慎被干冰炸伤冻伤
请立即就医
综合:央视新闻、国家应急管理广播
点击右上角
微信好友
朋友圈

点击浏览器下方“
”分享微信好友Safari浏览器请点击“
”按钮

点击右上角
QQ

点击浏览器下方“
”分享QQ好友Safari浏览器请点击“
”按钮
