一枚在患者支气管内“安家”近四十年的塑料笔帽,竟是导致其反复肺炎、咳嗽、呼吸困难的罪魁祸首。近日,哈医大一院群力院区呼吸内科联合多学科团队,成功为患者张先生(化名)实施了高难度支气管镜下异物取出术,解除了困扰他数十年的病痛。取出的笔帽长达2.7厘米,宽0.9厘米。

9岁时一次意外的呛咳,让张先生误吞笔帽,本以为早已吞入腹中,没承想竟在自己左肺支气管里“安家”40载。
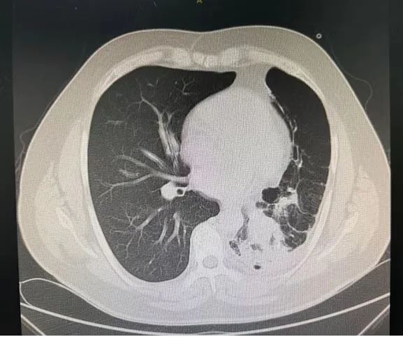
今年49岁的张先生(化名)长期饱受咳嗽、咳痰、呼吸困难的折磨,曾多次在外地医院治疗,效果不佳。近期症状加重,慕名来到哈医大一院群力院区呼吸内科于世寰教授处就诊。肺部CT检查结果令人惊讶:患者左侧气胸、左肺下叶支气管内存在可疑高密度异物阴影,并伴有阻塞性肺炎,遂急收入院。


病情复杂,挑战重重
该患者左肺下叶支气管内可疑的异物需利用呼吸内镜技术取出,但患者呼吸困难较重,肺功能很差,行支气管镜检查可能使气道压力出现变化致气胸加重,呼吸功能可能更加恶化,另外气胸患者肺组织受压后可能造成支气管镜下视野受限,因此为患者拟进行“支气管镜下异物取出术”的操作难度和风险极大。
多学科协作 精准施治
面对复杂病情,于世寰教授带领的呼吸介入团队迅速联合麻醉科刘淑杰主任医师、胸外科付凯主任医师进行多学科会诊。经详细评估讨论,团队制定了周密的治疗方案:首先由胸外科行左胸腔闭式引流术,待气胸情况稳定后,在麻醉科严密监护下,由呼吸介入团队实施支气管镜下异物取出术。
手术当天,于世寰主任医师、李世敏副主任医师在全身麻醉保障下为患者进行手术。术中发现,患者左主支气管远端因长期异物刺激,已形成大量肉芽组织增生及瘢痕,导致管腔严重狭窄,大量脓性分泌物淤积。清除脓液后,镜下可见部分异物,但因管腔狭窄(直径小于4.2mm支气管镜),常规方法难以取出。李世敏医生谨慎运用氩气刀、电凝棒及活检钳等设备,耗时近3.5小时,逐步清除覆盖在异物周围的增生肉芽组织和瘢痕(术中需精细操作以避免出血),最终成功利用异物钳取出一枚完整的塑料笔帽。

术后,张先生回忆小学一年级时曾有误吸呛咳史,当时误以为异物已吞入腹中,未予重视。这枚“遗失”近四十年的笔帽,正是导致他反复肺炎、呼吸困难、咳嗽迁延不愈的根源。得益于多学科协作及个体化治疗方案,于世寰教授团队利用呼吸内镜介入技术,成功避免了开胸手术的巨大创伤,为患者解除了半生的痛苦。术后第二日,患者呼吸困难显著缓解。
专家提醒:异物误吸需及时就医
哈医大一院群力院区呼吸内科主任于世寰教授提醒广大市民,一旦怀疑有异物进入气道,出现剧烈呛咳、呼吸困难等症状,务必立即就医!早期利用呼吸内镜技术取出异物是关键,可有效预防反复发作的阻塞性肺炎、肺不张等严重并发症。异物滞留时间越长,后期手术风险越大、难度越高。
转自:哈尔滨医科大学附属第一医院
点击右上角
微信好友
朋友圈

点击浏览器下方“
”分享微信好友Safari浏览器请点击“
”按钮

点击右上角
QQ

点击浏览器下方“
”分享QQ好友Safari浏览器请点击“
”按钮
