今年3月,戛纳电影节最佳女演员奖的比利时女演员艾米莉·德奎恩(Émilie Dequenne)因罕见且极度恶性肾上腺皮质癌去世,年仅43岁。

艾米莉·德奎恩从确诊到去世仅经历了一年多的时间,如此年轻的生命,就这样消逝……肾上腺皮质癌这个罕见且“威力”巨大的癌症,这才走进了大众视野。
00年小伙胃痛胃胀
意外发现体内“定时炸弹”
00年的小伙阿峰(化名)毕业没多久,在杭州一家公司上班。身体状况一直还不错的阿峰,从没想过自己会在如此年轻的时候,就确诊了癌症。
今年3月,阿峰总是感觉到胃痛胃胀,于是就到医院做了个CT检查,竟意外发现了腹部肿瘤,并且已合并了下腔静脉癌栓。
“我不抽烟不喝酒也不熬夜,平时一点感觉都没有啊!”阿峰听到结果后第一反应是检查搞错了,自己这么年轻怎么会得肿瘤。于是他来到了杭州市第一人民医院吴山院区(杭州市肿瘤医院)想要再好好检查一次,没想到这次的结果更让他脊背发凉!
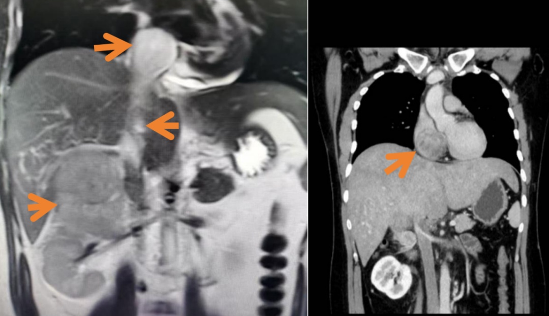
经过一遍遍仔细查找,医生在极其“逼仄”的范围,发现了“元凶”,也就是阿峰右肾上腺紧贴肝脏和右肾的位置,一个接近10公分的巨大肾上腺肿块,压迫在了周围血管、肝脏和肾脏。
市一医院泌尿外科王旭亮主任医师表示,肾上腺就像它的名字一样,是戴在肾脏头上的一顶小帽子。小小肾上腺对人体健康至关重要,是人体重要的内分泌器官,调控着人体各项身体机能。
肾上腺肿瘤90%为良性,若无明显分泌功能则对人体危害不大,主要以随访为主,若肿瘤分泌激素导致了功能紊乱或体积较大则以微创手术治疗为主,预后良好。但仍有极少部分肾上腺肿瘤为恶性肿瘤,往往体积较大或侵犯它处。

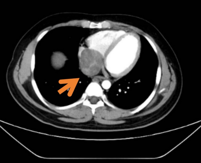
右肾上腺皮质癌、下腔静脉癌栓、右心房癌栓

右心房癌栓
遗憾的是,年轻的阿峰属于极少数,在完善了穿刺活检后,他被确诊为“肾上腺皮质恶性肿瘤”(adrenocortical carcinoma, ACC),并且合并心脏、下腔静脉癌栓。这属于恶性肿瘤的一种,发病率极低,但恶性程度高、病情进展快、易局部转移。

最终,在一众医护人员的努力下,通过手术成功将这IV级癌栓成功切除。

术后,阿峰度过了术后感染期。当他回到普通病房的那一刻起,感到生命终于迎来了希望!然而,挺过手术这一难关仅仅是“万里长征第一步”,但这结实的一步,为后续肿瘤内科、放疗科的接力治疗铺平了道路、指明了方向,阿峰的“抗癌”之路任重道远。
儿童和青壮年发病率高,症状表现不典型
肾上腺皮质癌临床表现多不典型,大体可分为有内分泌紊乱肿瘤与无内分泌紊乱(无功能)肿瘤两类。
有内分泌紊乱表现者多有库欣综合征合并女性男性化的表现,性征异常及原发性醛固酮增多症患者相对少见。50%~79%的肾上腺皮质癌患者有内分泌紊乱,其中混合分泌皮质醇和雄激素的库欣综合征伴女性男性化最常见(35%~40%),单纯库欣综合征约占30%,单纯男性化(痤疮、多毛、乳房萎缩、月经异常和声音低沉等)占20%,女性化(睾丸萎缩、乳房增大等)约占10%,分泌醛固酮的肾上腺皮质癌罕见(2%)。
无功能肾上腺皮质癌,起病多缓慢,症状表现各异,常有乏力、消瘦、间歇性低热等,与肿瘤内坏死组织吸收有关。约50%可扪及腹部肿块,22%~50%则表现为转移症状。肾上腺偶发瘤2%~3%为肾上腺皮质癌。
一年一次体检,不能少!
医生提醒,肾上腺皮质癌的临床诊断主要依靠影像学及内分泌检查,确诊则需要依靠病理学检查。
因此,定期进行体检和筛查对于早期发现肾上腺肿瘤非常关键,建议每年行一次常规健康体检。
转自:杭州市一医院
点击右上角
微信好友
朋友圈

点击浏览器下方“
”分享微信好友Safari浏览器请点击“
”按钮

点击右上角
QQ

点击浏览器下方“
”分享QQ好友Safari浏览器请点击“
”按钮
