吃猪手呛咳后
咳嗽逐渐加重甚至咳血
送医后
医生却从肺里取出了草莓味糖果包装袋?
一次被遗忘的呛咳
如何潜伏半年变身“呼吸杀手”?
近期
广州医科大学附属妇女儿童医疗中心
发布了这样一个典型病例
值得家长们注意
从猪手呛咳到“挖出”糖果包装
最近
6岁的乐乐(化名)在用餐吃到一块猪手时
突然发生剧烈呛咳
父母回忆,当时他咳到满脸通红
但没有咳出异物
而在之后的几天里
乐乐的咳嗽不仅没有改善,还逐渐加重
甚至咳出血痰
经常感觉“喘不上气”

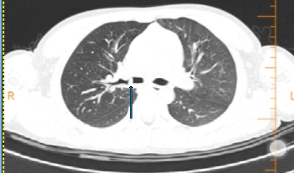
箭头为右主支气管高密度影
父母带乐乐到一家医院就医
CT检查结果显示,乐乐右主支气管有可疑阴影
右侧肺还有个肺大泡
经评估病情复杂
父母火速将其送到医院急诊
该院呼吸科总住院医师、杨迪元副主任医师
认真查阅了乐乐的胸部CT片后
认为CT上显示的这个阴影位置特殊
一般呼吸道异物不会停留在此
在追问病史后才得知
原来半年前
乐乐吃糖果时曾因误食糖果包装纸而呛咳
当时剧烈咳嗽、呼吸困难
但过了一阵子就缓过来
因此父母当时没有选择带其就医
呼吸科团队当机立断,认为必须用可弯曲电子支气管镜深入气道“破案”!据介绍,可弯曲支气管镜镜身最细处只有2.0毫米,因此可以轻松进入宝宝细小气道,高清视野让医生“一目了然”。配套钳子、冷冻探头等,能安全取出气道内的坚果、玩具零件等各种异物。此外,还能灌洗治疗严重肺炎、取活检明确病因、扩张狭窄气道、处理肿物等。
支气管镜下的景象触目惊心:乐乐右主支气管管腔内满是脓性分泌物,且增生的肉芽组织堵塞了右上叶支气管开口。在更深处,一个看似尖锐异物死死堵住了右中间支气管管腔。

支气管镜检查显示右上叶支气管肉芽增生,完全堵塞开口

支气管镜检查显示右中间段支气管异物堵塞,镜下看似尖锐,表面大量黄绿色分泌物附着

在呼吸科支气管镜室
张东伟主治医师和叶颖龙主管护师紧密配合
小心清理了分泌物
最终用异物钳成功钳取出异物——
竟是一颗草莓味糖果的包装纸!
展开测量
长度接近3.5厘米

异物取出后,乐乐瞬间呼吸顺畅
当晚就睡得安稳香甜
未再咳血
后续只需针对肺部感染进行治疗
呛咳史=最高级别警报
“没事”可能是假象
广州医科大学附属妇女儿童医疗中心呼吸科专家提醒,无论孩子的呛咳发生在何时,无论当时情况如何,都必须就医排查异物,并明确告诉医生呛咳病史,这往往就是救命的“关键线索”。
值得注意的是,宝宝呛咳后,家长不要因为一时的“没事”而产生侥幸心理。气道中残留的异物会被肉芽包裹“隐形”,像一颗定时炸弹,随时可能导致严重后果,如反复肺炎、咳嗽、咳血,肺不张、肺气肿,长期喘息,甚至窒息风险。
这些行为要绝对禁止
专家提醒,家长应该帮孩子养成在安静、专注的状态下进食的好习惯,并且立即帮宝宝改掉这些危险习惯——
绝对禁止:用嘴撕咬包装袋(尤其是塑料包装)。
吃饭时禁止:奔跑、打闹、大笑、哭闹、说话。
转自:广州日报
点击右上角
微信好友
朋友圈

点击浏览器下方“
”分享微信好友Safari浏览器请点击“
”按钮

点击右上角
QQ

点击浏览器下方“
”分享QQ好友Safari浏览器请点击“
”按钮
