FM93记者:杜奕慷 通讯员:谢美君
转载请注明来源
同甘苦,共患难,是夫妻间难能可贵的生活状态。相濡以沫近40年的老张和王阿姨老两口,却没料到这种“共苦”会以特殊方式降临——两人竟同时查出了肺癌。而这样的“夫妻癌”并非个案,在医院里正变得越来越常见。
老张和王阿姨感情一直很好,退休后更是形影不离,日子过得平静安稳。可前不久的一次普通检查,像一块巨石投入平静的湖面,彻底打破了这份岁月静好。

夫妻俩相继被肺癌“盯上”
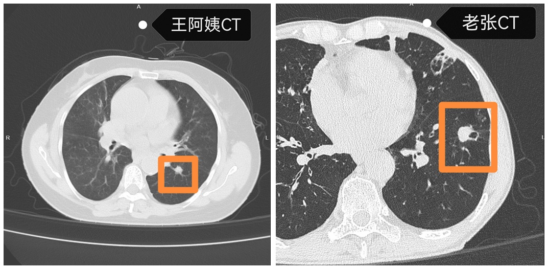
“就像温水煮青蛙,我们都没意识到危险正在逼近。”今年6月,王阿姨因持续发热做胸部CT,意外发现左肺下叶有个直径1.1厘米的实性结节。接诊的鄞州区第二医院心胸外科岑浩锋主任团队迅速行动,通过单孔胸腔镜技术,1小时就完成了肺叶节段切除术。术后确诊为浸润性腺癌,万幸无淋巴结转移。
谁也没料到,这场健康警报还没完全解除。王阿姨出院一周后,陪她来复查的老伴老张,被女儿半是劝说半是强硬地拉着也做了个CT。片子一出来,全家都懵了:老张右肺里,赫然长着个直径约1.9厘米的实性结节。

更让人揪心的是,老张抽了几十年烟,肺功能早已严重受损。医生拿着检查报告反复评估,摇了摇头:“目前还不符合手术条件。”这句话像块石头砸在家人心上,女儿更是当场红了眼眶。
好在谁也没放弃,医生建议老张先做两周呼吸训练。那段日子,老张把烟彻底扔了,每天雷打不动地雾化、爬楼梯。两周后复查,肺功能终于达标。
岑浩锋主任团队再次出手,这次手术只用了30分钟。术中病理出来,同样是浸润性癌。如今,老张正一天天好起来,夫妻俩常在病房里念叨:“这关闯过来了,以后可得好好惜命。”
朝夕相处的细节里藏着致癌祸根
为何夫妻俩会同时患上肺癌?岑浩锋主任给出了答案:不良生活习惯、环境污染等因素,让夫妻双双查出肺结节并确诊肺癌的情况日益增多。近五年来,鄞州区第二医院心胸外科已陆续接诊了近十对类似情况的夫妻。
老张烟龄长达40年,每天抽两包烟,而王阿姨长期暴露在二手烟环境中。同时,作为家庭主厨,王阿姨多年来在狭小厨房煎炒烹炸,油烟味不断渗入呼吸道。这些共同的生活习惯和环境,成为了肺癌的诱因。
岑浩锋解释:“肺癌的首位高危因素是吸烟,九成左右的肺癌与主动吸烟或被动吸‘二手’烟有关。和吸烟者生活在一起,吸二手烟人群患肺癌的风险会大幅上升20%-30%。”此外,厨房油烟、装修建材中的甲醛、苯以及大理石中的氡气等共同生活环境因素,也可能导致癌症发生。

护肺要诀:定期筛查+生活防护
近年来,随着人们体检意识增强,越来越多的“肺结节”被筛查出来,让人们对肺癌更加警惕。岑主任表示:“查出肺结节不能置之不理,但也不要过度恐慌,最好到医院进行专科诊治,医生会给出专业评估和方案。”
他还强调,45 岁以上人群应每年进行低剂量螺旋 CT 筛查。对于吸烟家庭,他建议吸烟者立即戒烟;厨房安装高效抽油烟机,烹饪后继续排风10分钟;多采用低温烹饪方式;家庭成员共同参与肺功能锻炼如腹式呼吸、缩唇呼吸等。只有重视这些,才能更好地守护健康。
点击右上角
微信好友
朋友圈

点击浏览器下方“
”分享微信好友Safari浏览器请点击“
”按钮

点击右上角
QQ

点击浏览器下方“
”分享QQ好友Safari浏览器请点击“
”按钮
