近日
福建一名5岁女童
和安徽一名6岁男童在游泳嬉水后
相继感染罕见的“食脑虫”
引发致命性脑膜脑炎的消息登上热搜
引发社会关注

患儿家属在社交媒体平台讲述发病经过
什么是阿米巴原虫感染
为什么被称之为食脑虫呢?
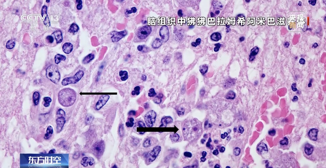
其实,“食脑虫”并不是真的虫子,而是一类分布于自然界中的单细胞生物阿米巴原虫。目前,称之为“食脑虫”的阿米巴原虫有三种:福氏耐格里属阿米巴、狒狒巴拉姆希阿米巴、双核匀变虫。

据了解,“食脑虫”喜欢栖息在25℃以上的温暖淡水中,未消毒的温泉、湖泊、河流,甚至长期未清洁的自来水管道都是它们的 “乐园”。

它们不攻击皮肤,不毒害肠胃,唯一的突破口就是人类的鼻腔。当温水冲入鼻腔的瞬间,它们紧贴鼻黏膜开始繁殖,然后沿着敏感的嗅神经纤维移动,绕过人体最坚固的血脑屏障,快速进入脑组织,造成神经元死亡和脑组织损伤,导致脑膜炎发生,致死率高达98%。

福氏耐格里属阿米巴的感染致病示意图
感染了食脑虫有哪些症状?
与普通的感冒有何区别呢?
昆明市儿童医院感染一科 科主任 王美芬:“感染后的孩子病情进展比较快,如果家长带着孩子有外出(去到)这些未消毒的池塘、湖水的地方,孩子出现头疼、呕吐或者意识不好、有意识障碍的情况,家长就要特别警惕是否感染了食脑虫。(如果是)就要及时到医院就医,它和普通感冒有挺大区别,感冒的病史上没有去外出游泳的情况,主要是神经系统的症状。就是头痛、呕吐、精神意识的这些改变,作为它主要的一个特点。”

医生表示,虽然感染食脑虫的概率相对较小,但家长还是要注意,夏天是“食脑虫”感染的相对高发期。在游泳或泡温泉时,要选择正规、消毒措施完善的场所,避免在野外湖泊、河流、池塘等未经检测的水域嬉戏。在水上活动时,做好鼻腔防护,佩戴鼻夹或避免头部潜入水中。如果在接触淡水后出现头痛、发热、呕吐、脖子僵硬等症状,要立即就医。
昆明市儿童医院感染一科 科主任 王美芬:“如果家长有带孩子外出游泳或者去池塘玩耍的情况,出现上述的这些症状。那么家长要第一时间带孩子到医院就诊,详细的把病史、流行病学相关的情况告知医生,能够让医生在第一时间诊断明确。”

如何才能避免“食脑虫”感染?
专家建议从以下几个方面入手:
■ 远离不干净的水
不要在卫生状况不佳的野外水体里游泳,尤其要避免潜水、跳水,以免增加鼻腔进水风险。
如果自身皮肤有破溃情况,尽量不要进入自然水体。
避免用未经消毒或煮沸的自来水冲洗鼻腔。
■ 做好卫生防护
必须进入自然水体进行作业的情况下,要使用鼻夹,同时避免搅动水体底层沉积的物质,减少阿米巴原虫进入人体概率。
接触土壤后及时进行清洁,确保皮肤无伤口暴露。
佩戴隐形眼镜时做好消毒,避免接触污染水源。
游泳场所做好消毒工作,确保卫生条件达标。
综合:8099999街头巷尾、央视新闻、中国新闻网
点击右上角
微信好友
朋友圈

点击浏览器下方“
”分享微信好友Safari浏览器请点击“
”按钮

点击右上角
QQ

点击浏览器下方“
”分享QQ好友Safari浏览器请点击“
”按钮
