病毒防不胜防
一旦掉以轻心
就有概率引发致命后果
前不久
28岁的小刘(化名)就尝到了苦果
28岁小伙高烧不退
“硬抗”被放倒...
起初,小刘只是低烧,却反反复复地退不下来,思来想去,小刘胡乱吃了点退烧药,决定第二天再去医院看看。结果第二天到了深圳市人民医院,小刘的情况就急转直下,体温居高不下,整个人意识都有些模糊了。
紧急治疗后,小刘经检查确认,是感染了甲型流感病毒。即使年轻气壮,但在持续高热的阶段选择了“硬扛”,才给了病毒可乘之机。
更紧要的是,小刘还有糖尿病,他仗着年轻,没有管过血糖。因此小刘体质比常人弱了不少,甲流病毒才能肆意妄为。
烧出“大白肺”
还有“超级细菌”搞破坏
入院2天后,小刘的病情继续加重,不得不进行气管插管,转入ICU(重症医学科)治疗,随后胸片检查发现,小刘肺部出现了严重的“大白肺”症状。

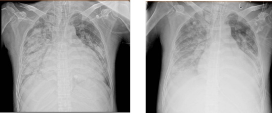
刚入院1周的肺部影像
“大白肺”
是影像学中的一种通俗说法,是指肺部呈现白色的高密度影。
正常情况下,肺部由充满空气的肺泡组成,影像学检查时表现为黑色区域。当肺泡内出现炎症、感染、渗出液或炎性细胞时,射线无法穿透,影像学上就会出现白色区域,提示肺部存在严重的病变。
上呼吸机、肺保护性机械通气、血液净化、抗病毒、多种抗生素联合抗感染治疗……各种手段轮番上阵,总算将小刘从鬼门关拉了回来。
就在这时,小刘的痰培养结果出来了,结果显示,他的体内出现了泛耐药鲍曼不动杆菌。他的病情再度急转直下,不久后就被送入了抢救室。
泛耐药鲍曼不动杆菌
是一种对多种常见抗生素都产生耐药性的细菌,治疗难度极大,免疫力低下的患者感染后,死亡率较高。
在小刘的体内,甲流病毒就像一位“急先锋”,摧毁了保护身体的呼吸道黏膜屏障,为可怕的细菌打开了入侵的前路,而泛耐药鲍曼不动杆菌则是“攻城大将”,肆意地搞破坏,这才是小刘病情危急且迁延不愈的真正原因。
“秘密武器”成功克敌
转危为安顺利出院
这一回,小刘的病情不容乐观,血氧饱和度掉到了85%(正常人的血氧饱和度一般在95%~100% 之间),呼吸机参数已经提到了极致,用上了纯氧,无限接近需要使用体外膜肺氧合(ECMO)的条件。
要想挽救他的生命,必须解决掉泛耐药鲍曼不动杆菌这个“头号大敌”,为难的是,小刘的免疫系统早已失灵,几乎所有常规抗菌药物对这种细菌都毫无办法,对付它,现下压根没有趁手的“武器”。
抢救室外,小刘的父母急得团团转,抢救室内,ICU团队有条不紊,仔细评估了小刘的情况,决定采取噬菌体疗法。
噬菌体
噬菌体是专门感染和杀死细菌的病毒,相当于一队“奇袭兵”,针对特定的细菌感染有较强的杀伤力,但是,这个“秘密武器”尚未广泛应用于临床,必须在符合适应症与家属同意的情况下,才会出动。
此时小刘命悬一线,他的父母在了解清楚治疗方案后,果断选择了签字同意。ICU主任刘雪燕团队马上和中国科学院深圳先进院研究员马迎飞团队联手,一起开展噬菌体疗法。

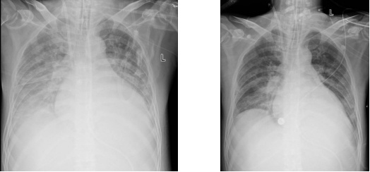
接受治疗后肺部逐渐恢复正常
在接获ICU的临床紧急请求后,马迎飞团队快速完成了菌株分型鉴定、精准匹配噬菌体制剂、裂解效能验证等步骤,启动了标准化噬菌体雾化治疗程序。
经过5天的治疗,小刘的“大白肺”基本恢复成正常状态,又过了2天,他成功撤离呼吸机并拔除气管插管,痰培养显示,鲍曼不动杆菌也已经转阴,休养了一个礼拜后,顺利出院了。
最近各种病毒来势汹汹
如果身体出现不适
即使平时再身强体壮
也不要轻视
及时看病,对症下药
转自深圳市人民医院
点击右上角
微信好友
朋友圈

点击浏览器下方“
”分享微信好友Safari浏览器请点击“
”按钮

点击右上角
QQ

点击浏览器下方“
”分享QQ好友Safari浏览器请点击“
”按钮
