综合海宁市人民医院、温医大附二院、开化县人民医院、人民日报
时值五月正值枇杷上市的季节
香甜多汁的枇杷
受到不少人欢迎
但吃起来可不能大意
浙江的陈大爷就因这口美食遭了罪

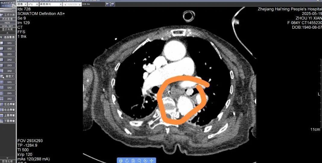
陈大爷因慢性阻塞性肺疾病反复住院,半月前出院后,他的病情一直很稳定。但2天前,他突然出现胸闷气促、喉部喘鸣、有窒息感、不能平卧等症状,随即来海宁市人民医院就诊。查CT发现,一个新出现的高密度类圆形结节卡在右侧主气管。


追问病史,陈大爷在发病前曾进食枇杷,后出现枇杷呛入气管的情况,经咳嗽后他自以为枇杷核已经吞进胃里了,根本没想到这颗枇杷核已经在他的气管里“安家落户”,也压根儿没想到这次的急性加重竟然是枇杷核惹的祸。

海宁市人民医院呼吸科柳志浩主任介绍:“要尽快气管镜下取异物,这个核是随着患者呼吸上下在动的,万一再次卡牢了,会导致急性窒息。一些有基础病,全身情况不好的患者如果异物吸入会有生命威胁。”
另外,枇杷核非常圆润,一般的常规手段如用异物钳等很难取出,只能用圈套器圈或者有网兜等才能把核取出来。取枇杷核需尽量在麻醉下进行,还好这名患者取核过程比较顺利,症状也得到快速的缓解。
枇杷上市季节里,医生提醒大家,枇杷核光滑,在食用期间千万不能谈笑风生,这样极易引起呛咳。一旦呛入气道中,会出现严重的不良后果,对于老年人及儿童会有窒息风险。枇杷核如果长时间不取出来,会导致反复肺炎,还会导致肉芽肿的生成,时间越久取出来的难度越高,异物可能会和黏膜生长在一起,也会出现大咯血等可能。
连续有人不慎吞下果核送医
情况都很严重
无独有偶,温州永嘉一位63岁的徐大爷也因为吃枇杷差点搭上了性命!
徐大爷因为吃得太着急,吃枇杷时呛了一口,枇杷核“咕噜”一下跑到了气管里。之后,徐老伯出现咳嗽、呼吸困难的症状,他意识到问题的严重性,赶紧跑到医院。
温医大附二院呼吸内科副主任医师夏晓东介绍,当时通过初步检查判断,枇杷核是卡在右侧支气管里,需要立即手术取出,不然会有危险。之后,医生通过气管镜,将导管从徐大爷的鼻腔直接插入右侧支气管,找到枇杷核的位置,顺利取出枇杷核(直径约1.5厘米),花了约5分钟。术后,徐大爷的症状得以缓解,在院观察了一晚后便回家了。夏晓东说,支气管是气管的分支,分为左右支气管,病人还是比较幸运的,如果卡在气管里,那可能当场就导致窒息。

据介绍,如果进食速度过快,或边说话边进食,食物就容易跑到气管里,严重的话,会导致窒息。一般发生气管异物,就会出现呛咳、剧烈的阵咳,还可出现气喘、声嘶和呼吸困难等,如果一旦发生气管异物,市民一定要及时就医。
警惕气管异物
气管异物为临床常见急诊之一。气管支气管异物是将花生米、豆类、玉米粒、大块食物团等异物吸入气管支气管内堵塞气道造成剧烈呛咳、呼吸困难甚至导致窒息的急症。
气管堵塞后根据堵塞部位、堵塞程度、堵塞发展的速度及患者心肺功能等因素,患者可出现剧烈呛咳、脸憋得青紫、无法呼吸等紧急又危险的情况,若不在短时间内解除气道阻塞可因缺氧而死亡。
哪些人群容易发生气管异物?
● 老人有时反应较为迟钝,其吞咽、咳嗽的反射能力较弱;同时老人多伴有脑血管等疾病,神经系统会受到影响,进而影响吞咽功能,所以容易发生气管异物。
● 儿童的身体发育尚不健全,如果边跑边吃东西,或者吃东西时大笑、打闹,食物也容易误入气管。
● 醉酒时,人的生理反射尤其是咳嗽的反射能力减弱,且容易呕吐,此时容易将东西误吸入气管,从而引发危险。
哪些症状提示可能出现了气管异物?
气管被堵塞之后,人呼吸功能会受到限制,在正常的生理反射下会通过咳嗽把异物咳出,这是呛咳;如果长时间咳不出来,人会缺氧,嘴唇、面部甚至四肢都可能会青紫;“V”字手势其实是人的潜意识反应,希望得到外界帮助;气管堵塞、气流不畅导致氧气不够,人会通过大口呼吸来补充氧气。
发生气管异物的危害?
一旦发生气管梗阻,人就会缺氧,如果超过4到6分钟,那会出现严重的脑细胞死亡。越早抢救,因缺氧而引起的大脑损伤就会越轻。
成人气管异物的急救要点
● 施救者应站在患者正后方,环抱患者并按压其腹部,将异物顶出;
● 施救时,应双拳抱握,拳眼贴近肚子,这样力量会较为集中;
● 施救者双拳抱握后,应该向内上方按压,这样产生的冲击气流会大。




点击右上角
微信好友
朋友圈

点击浏览器下方“
”分享微信好友Safari浏览器请点击“
”按钮

点击右上角
QQ

点击浏览器下方“
”分享QQ好友Safari浏览器请点击“
”按钮
