连续15天熬夜喝酒
深圳35岁设计师董先生(化名)
差点“喝坏”脑子
DV君提醒大家
千万要注意一个度!
据报道
小董平时很少喝酒
但今年4月回老家参加婚礼后
一连半个月他都沉浸在酒精的世界里
一发不可收拾:
4月15日:婚礼当晚鸡尾酒、白酒、啤酒三连击,凌晨3点睡,5点起床接亲,几乎没合眼;
4月16日:继续“赶场”喝洋酒、白酒,再次熬到凌晨;
4月19日:见老同学,白酒啤酒接着喝;
4月23日:白酒+啤酒+KTV嗨到凌晨3点;
4月24日:喝酒后走路摇晃、不慎摔倒,次日双手发抖,仍硬撑继续喝;
4月29日:睡不着,用白酒和鸡尾酒“助眠”,结果一夜无眠……
这么个喝法
任谁都扛不住
更何况这期间小董还动不动就熬到凌晨
只睡2、3个小时
身体已经严重透支
原本
他以为自己手抖、走路摇晃
只是因为喝醉酒
却在回到深圳后加重为意识模糊、口齿不清、
记忆力下降和视物模糊
眼睛需要盯住一个地方很久
才能看清物体

入院时的小董手部止不住地抖动
小董的老婆当晚就“提着”他
去到南方科技大学医院的急诊
医生的建议是住院仔细检查
可小董听到要住院,“连夜逃走”回了家
回家后的小董又是一夜未眠
第二天就是五一假期
小董原本打算和家人出去好好玩玩
结果却开始出现幻听:
听到有人敲门,耳朵里有杂音
还能听到熟悉的人讲话……
再次来到医院
小董被紧急收治入院,并转入神经内科
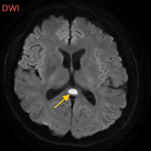
经过头部磁共振平扫、弥散、增强影像等检查
医生诊断
小董是得了一种比较少见的病症:
可逆性胼胝体压部综合征

小董的影像结果显示,胼胝体压部发生病变
什么是
“可逆性胼胝体压部综合征”?
如果把大脑比作一座城市,胼胝体就是连接左右脑的“跨海大桥”,而胼胝体压部正是桥上的“核心枢纽”。当它因酒精、熬夜或感染“肿了”,大脑信号就会“堵车”,引发一系列“故障”。
“压部”病变:胼胝体压部是大脑里的“视觉总监”,眼睛所看到的信息传送到大脑后,由它负责反应整合成图像在脑海中呈现。“压部”发生病变后,就像电视机信号接收不良,屏幕出现雪花一样,眼睛视物就会受到影响。
除了“压部”,胼胝体的其他部位也有病变,所以小董才会出现幻听、手抖等症状。

入院时的小董手部止不住地抖动
神经内科主任白春艳根据小董的症状结合自己的经验,快速果断地为小董进行紧急治疗:
补充大剂量B族维生素(尤其是B1)
抗病毒
改善精神症状及睡眠障碍
“为什么第一时间给患者补充大量B族维生素呢,这是为了给胼胝体‘消肿’。”神经内科主任白春艳解释。胼胝体压部病变普遍认为可能与细胞毒性水肿有关,而水肿的诱因通常是因为大量饮酒后导致维生素B1摄入障碍,辅酶缺乏。
同时因为长时间的熬夜、休息不足,小董的大脑不堪重负,通过镇定剂长时间入睡,可以让他的大脑得到充分休息,相当于强制关机。
多管齐下的治疗
让小董很快得到了恢复:
入院4天后,小董的不适感消失,神志完全恢复,讲话正常,没有幻觉和视物不清;
入院5天,丢失的记忆又找了回来(入院时的小董失去了前面几天的记忆)
“找回记忆”的小董这才想起来
在4月28日的时候
自己曾出现过咳嗽、咽喉痛等感冒症状
但只是自服了一点感冒药
这说明
小董的病症还有可能是病毒感染引起的
但幸好及时进行了抗病毒治疗
否则后果不堪设想

经过一周治疗,小董的胼胝体压部病变明显好转
目前
小董已基本恢复,手不抖了,走路不晃了
记忆力和计算力
也回到患病前的水平
医生紧急提醒:
身体发出这些信号,快就医!
医生指出,可逆性胼胝体压部综合征这种病“来得猛,去得快”,但关键是早发现、早干预!
“熬夜+喝酒”简直是“暴击组合”,肝、肾、胃连夜加班,身体负荷加大;抵抗力崩盘,病毒细菌趁机偷袭,感冒发烧找上门;短期内可能引发急性不适,长期则增加慢性病风险。
四大高危诱因:
酗酒:酒精扰乱脑代谢,直接“毒害”神经
熬夜+疲劳:身体透支,大脑“保护膜”变脆弱
病毒感染(如感冒、流感):免疫力下降时趁虚而入
代谢异常:低血糖、电解质紊乱“火上浇油”
如果你在熬夜、喝酒后出现以下症状,千万警惕:
手抖、走路不稳(像踩棉花)
幻觉幻听(听到不存在的声音)
视力模糊、记忆断片(想不起近期的事)
意识模糊、说话不清
医生提醒广大市民,酗酒、熬夜、病毒感染、代谢异常,这些都是可逆性胼胝体压部综合征的高危诱因。如果熬夜喝酒后出现手抖、走路不稳、幻视幻听、视物模糊、意识模糊、言语不清等症状,一定要尽快就医,以免耽误病情。
记住啦,身体不是铁打的!
不可过度透支
别等身体拉响警报才想起要重视
转发提醒身边人!
综合南方科技大学医院、第一现场、深圳大件事
点击右上角
微信好友
朋友圈

点击浏览器下方“
”分享微信好友Safari浏览器请点击“
”按钮

点击右上角
QQ

点击浏览器下方“
”分享QQ好友Safari浏览器请点击“
”按钮
