64 岁的王阿姨(化名)
因急性胆囊炎住院
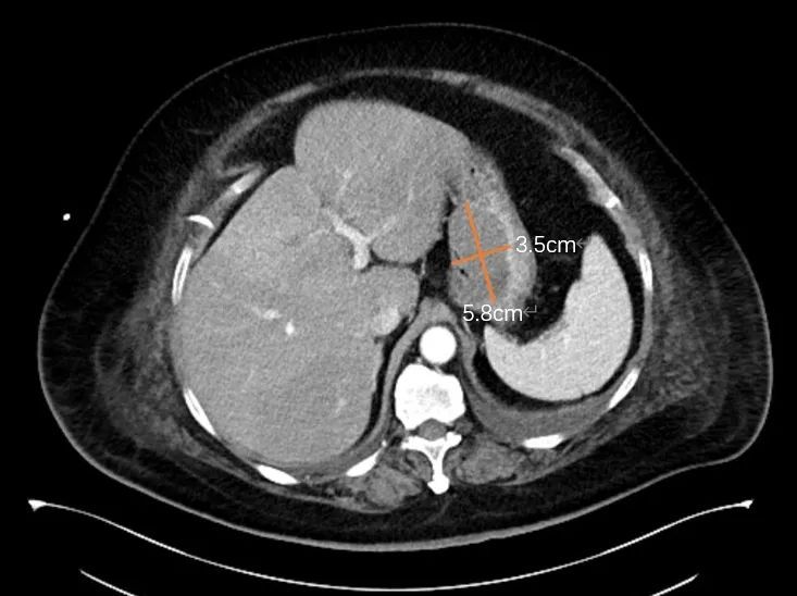
进行全腹部CT检查时
意外发现胃贲门部
有一个5.8cm×3.5cm的肿块
考虑为间质瘤或平滑肌瘤
王阿姨瞬间吓懵了
立即前往浙大二院胃肠外科就医

平时没感觉
一查肿瘤竟比鸡蛋大!?
由于王阿姨的肿瘤位置特殊,体积较大,表面有破溃,情况复杂。再加上她本身患有高血压、糖尿病,胆囊炎也可能需要后续手术,这让她及家人十分焦虑。
经过一系列检查,医生分析:王阿姨胃贲门部的肿瘤形态不规则,起源于胃的固有肌层,尽管体积庞大,但主要位于胃腔内。
那到底选择传统的外科手术切除全胃,还是尝试微创内镜下手术?最终,王阿姨决定接受内镜下全层肿瘤切除术(EFTR)。

手术中,医生通过胃镜完整切除了肿瘤,切下肿物大小约10cm×4cm,并用钛夹对创面进行“缝合”,有效避免了穿孔、出血等风险。
术后,王阿姨恢复良好,不仅胃功能得到了保留,还避免了传统外科手术带来的创伤。
“神秘”又“狡猾”的
消化道黏膜下肿瘤
很多人可能不知道,人体、消化道壁里藏着一种“隐匿病灶”——黏膜下肿瘤(SMT)。它们像“地道战”一样潜伏在黏膜深层,可能是平滑肌瘤、间质瘤等,早期毫无症状,往往在胃肠镜检查时偶然被发现。
如何揪出这些“潜伏者”?
胃肠镜“初筛”:就像用探照灯扫描,发现黏膜异常隆起。
超声内镜(EUS):给肿瘤做"B超",看清它的老巢和内部结构。
CT/磁共振:侦查肿瘤与周围组织的关系。
中国消化道黏膜下肿瘤内镜诊治专家共识(2023)指出:没有淋巴结转移或淋巴结转移风险极低、使用内镜技术可以完整切除、残留和复发风险低的病变,有治疗必要的均适合进行内镜下切除。
医生表示,内镜切除巨大黏膜下肿瘤就像"刀尖上跳舞",需要医生具备高超技术和强大心理素质。这类手术虽然创伤小,但存在穿孔、出血等风险,必须由专业团队操作。
小坊提醒:
定期胃肠镜检查
是发现消化道早癌和SMT的关键!
特别是40岁以上人群
即使没有症状
也建议将胃肠镜纳入体检项目
早发现、早治疗
才能将"隐形杀手"扼杀在摇篮里
综合浙大二院
点击右上角
微信好友
朋友圈

点击浏览器下方“
”分享微信好友Safari浏览器请点击“
”按钮

点击右上角
QQ

点击浏览器下方“
”分享QQ好友Safari浏览器请点击“
”按钮
