随着气温的上升,很多人都忙着做一件事,那就是整理衣柜。萧山的沈大姐(化名)同样忙活开了,但是整理完衣柜后,她却病倒了。
“我全身不舒服,发热,体温最高到了40℃,还咳嗽。”沈大姐来到萧山区第一人民医院就诊。
在医生问诊中,沈大姐说起了换季整理衣柜的事,她在整理时发现衣柜里长了霉斑,为此还特意把全部衣柜做了清理,但是清理过程中没有戴口罩。

▲图片来源于稿源单位
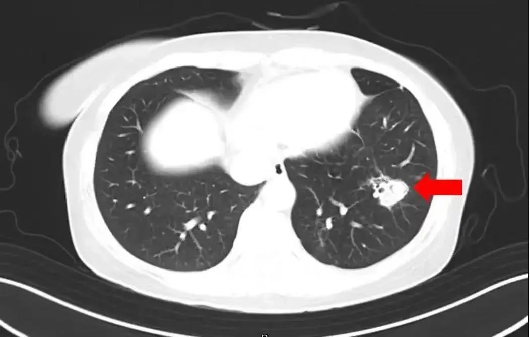
在了解情况后,医生为她做了纤维支气管镜检查及肺泡灌洗液病原体检测,果然发现气道壁上有大量白色菌斑,这就是引起患者高烧、咳嗽的“元凶”——肺曲霉菌病。
目前,沈大姐经抗真菌及综合支持治疗后病情逐渐稳定,已康复出院。
▌什么是肺曲霉菌病?
萧山区第一人民医院呼吸与危重症医学科主任邬海燕介绍,曲霉菌在自然界中广泛存在,主要以枯死的植物、动物的排泄物及动物尸体为营养源。
潮湿环境下,曲霉菌容易滋生,家里洗手间地砖、墙缝等地方都可能是其温床。
临床上,肺曲霉菌病分为侵入性肺曲霉菌病、肺曲霉球、气管支气管曲霉病等类型。不同类型的肺曲霉菌病临床表现有所不同。
▌一般有哪些常见症状?
➤常见的症状有持续高热不退,服用常规退烧药也难以起到明显效果;
➤咳嗽症状不断加重,还可能伴有胸痛、呼吸困难;
➤咳出的痰液中带有血丝或呈现棕褐色;
➤可能出现鼻塞、流脓涕、面部疼痛等鼻窦炎症状,严重时可发生呼吸衰竭甚至危及生命。
▌如何预防肺曲霉素病?
首先要保持居住环境的干燥和通风。
阴冷、潮湿、粉尘较多的环境容易产生大量曲霉菌,应及时做好除霉措施,如定时清洗空调,对于有出水口的地方,如洗手台、马桶、地漏等,要定期清洁和消毒。
其次,在清洁时要佩戴口罩,避免吸入霉菌。
同时,要注意宠物卫生,尽量让宠物待在空气流通的地方,避免其进入卧室等主人长时间停留的场所,宠物排泄物应定点处理、及时清理。
医生提醒,如果出现反复咳嗽、咳痰、气喘等症状,经常规治疗效果不佳时,要尽早到医院检查,确定是否感染了肺曲霉菌病。
综合健康杭州、萧山区卫健局
点击右上角
微信好友
朋友圈

点击浏览器下方“
”分享微信好友Safari浏览器请点击“
”按钮

点击右上角
QQ

点击浏览器下方“
”分享QQ好友Safari浏览器请点击“
”按钮
