近三年来
58岁的鲍女士(化名)
饱受膝关节肿痛折磨
行走越来越不利索
她以为只是普通的关节炎
没想到去医院一查竟确诊
膝关节结核......
以为膝盖肿痛只是关节炎?
去医院一查竟是膝关节结核
“难道我再也无法站起来走路了吗?往后该怎么办?”在杭州市红十字会医院骨科诊室,确诊为膝关节结核的鲍女士一度陷入绝望。
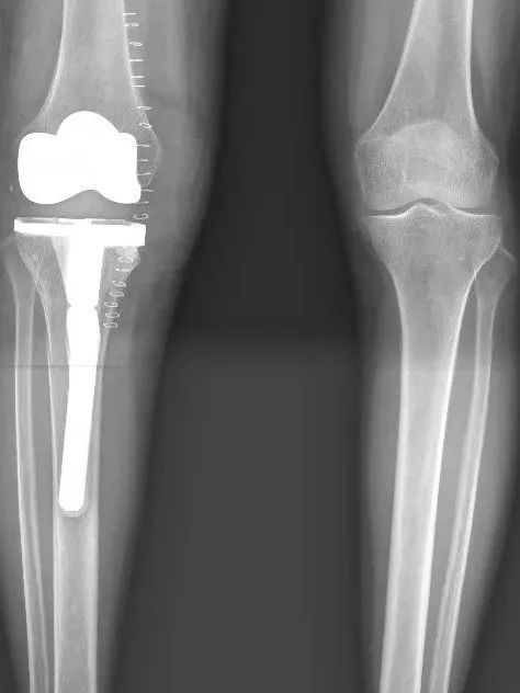
医生告诉她,干骺端骨质严重破坏,关节稳定性丧失,已发展为安德森Ⅱa型骨缺损。传统抗结核药物、常规清创术及常规关节置换手术难以恢复关节功能,日常生活将会受到极大影响。
“别轻易放弃,我们与你一起渡过难关!”骨科沈健主任医师团队仔细研究鲍女士的情况后,决定为其实施全膝关节置换术。
据主刀医生沈健主任医师介绍,膝关节结核的全关节置换术技术难度大,既要彻底清除结核病灶防止死灰复燃,又要在被严重破坏的骨质结构中重建稳定的关节系统,难度堪比“在废墟上重建宫殿”。
该院骨科、麻醉科、康复科等多学科团队精准协作,制定了个性化综合治疗方案。术后2天鲍女士便实现了床边站立,术后3天借助助行器可自主行走。出院时她激动地向骨科医护团队道谢:“感谢你们!让我的生活回归正常!”


图片来源于稿源单位
膝关节结核是一种感染性疾病
别忽视这些早期症状!
膝关节结核是一种由结核分枝杆菌引起的慢性骨关节感染性疾病,属于肺外结核的常见类型。若未能早期诊断和治疗,病情可能进展至晚期,导致关节严重破坏甚至残疾。
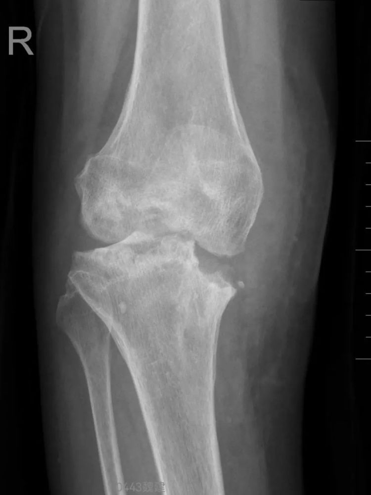
安德森分型Ⅱa型即为膝关节结核的晚期阶段之一,其特点是明确的骨质破坏和关节结构改变,但尚未合并广泛脓肿或窦道形成。
什么是安德森分型Ⅱa型?
安德森分型是国际上广泛使用的骨缺损分型系统,膝关节结核患者多伴有骨质缺损,其中Ila型主要表现为:
➤单侧髁部骨缺损;
➤关节间隙狭窄或消失;
➤关节周围可能出现局限性脓肿。
医生提醒,此阶段若未及时干预,疾病会继续发展,导致关节完全强直或下肢畸形。
平常如何预防?早发现是关键!
膝关节结核早期症状隐匿,易被忽视。若出现膝盖反复肿痛、活动受限、关节畸形等症状,千万不要大意!尤其伴随低热、盗汗、消瘦等情况,赶紧排查结核,若不及时干预,可能面临关节强直、融合的风险。
除及时发现,日常还要做到以下几点
均衡营养
➤高蛋白饮食:如鸡蛋、牛奶、豆类,促进组织修复。
➤补充维生素D和钙:增强骨骼健康(如晒太阳、深海鱼、钙片)。
➤富含维生素C的食物:如柑橘、绿叶菜,提升免疫力。
规律作息与运动
避免熬夜、过度劳累,每周适度锻炼(如快走、游泳),维持免疫系统功能。
控制慢性病
糖尿病、HIV感染、长期使用免疫抑制剂等患者需积极治疗原发病,定期监测免疫功能。
高风险人群的主动预防
与活动性结核患者同住或密切接触者,可进行结核菌素试验。
转自:杭州市红十字会医院凤起院区
点击右上角
微信好友
朋友圈

点击浏览器下方“
”分享微信好友Safari浏览器请点击“
”按钮

点击右上角
QQ

点击浏览器下方“
”分享QQ好友Safari浏览器请点击“
”按钮
