“孩子平常壮得像头小牛
感冒都没得过
哪曾想这次差点丢了命!”
看着躺在病床上的女儿
小微(化名)妈妈心有余悸
12岁少女剧痛难忍
来自山东的小微
尽管只有12岁
却已身高170cm,体重140斤
近日
小微刚刚一口气吃了15个饺子
并表示“还能再吃一盘!”
可话音未落
剧烈的腹痛突然袭来
仿佛有人用刀子在肚子里搅动
身体蜷缩,冷汗直流

图:AI生成
“孩子平常身体极好,胃口也好。”起初家人以为只是消化不良,连夜带小微到当地医院输液,可三天过去,小微的“胃肠炎”非但没有缓解,反而腹痛更严重,开始呕吐、全身发黄,眼白更黄得像熟透的枇杷。
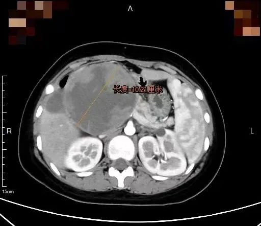
于是家人带小微来上海某三甲医院胰腺外科就诊,增强CT检查显示,一个直径10公分的肿瘤像狰狞的章鱼,触须般的包膜紧紧缠绕着小微的胰头部位,将十二指肠压成了“纸片”,消化道完全梗阻,肿瘤内部甚至出现渗血!

医生解释
小微的症状
是胰腺实性假乳头状瘤
虽然属于低度恶性
但长在这个位置很凶险
胰头被十二指肠环抱,后方紧贴着门静脉和肠系膜血管,巨大的肿瘤在胰头这个“交通枢纽”位置,不仅压迫胆总管、胰管,还侵蚀了十二指肠乳头,就像卡住的巨石,阻断了消化液流动,还随时可能引发致命性出血或感染。更危险的是影像上可见肿瘤内部散在的出血点,意味着巨瘤随时可能破裂,情况十分危急。
胰十二指肠切除术在业内被称为普外科最复杂的手术之一。由于儿童的血管粗细仅为成人1/3,巨大肿瘤和门静脉等重要血管紧紧粘连,手术操作稍有不慎就会导致血管破裂,可能引发洪水般的大出血。
最终,经过6个小时,手术顺利结束。手术成功从小微体内剥离出比成年男性拳头还大的肿瘤!术后,在重症监护室医护人员精心照料下,小微很快康复。
青少年腹痛要警惕
医生提醒
胰腺实性假乳头状瘤
好发于10-30岁年轻女性
早期常常无症状或轻微上腹隐痛
很容易被误诊
一旦急性发病,可能引发肿瘤破裂出血、消化道完全梗阻、梗阻性黄疸等危机。青少年若持续腹痛加剧,伴随呕吐、发烧、黄疸等症状,一定要立即就医。
广州日报 综合新闻坊、上海交通大学医学院附属瑞金医院
点击右上角
微信好友
朋友圈

点击浏览器下方“
”分享微信好友Safari浏览器请点击“
”按钮

点击右上角
QQ

点击浏览器下方“
”分享QQ好友Safari浏览器请点击“
”按钮
