近日
来自江苏常州的顾先生
因身体不适
前往江阴市人民医院发热门诊求诊
顾先生表示
最近反复出现
发热、咳嗽、乏力
以及四肢肌肉酸痛的症状
并伴有心慌、胸闷等
经过诊断,最终确诊为
贝纳柯克斯体感染
引起的急性传染病
即“Q热”
这是一种可能潜伏在你身边的
罕见传染病
2024年11月,来自常州的顾先生因身体不适前往江阴市人民医院发热门诊求诊。顾先生表示,10天前,他从非洲回国后,便开始出现发热、咳嗽、乏力以及四肢肌肉酸痛的症状,并伴有心慌、胸闷等。
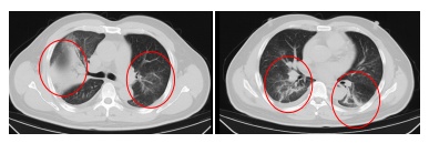
发热门诊医生详细询问顾先生的既往病史,并为其进行细致的体格检查。胸部CT结果显示,顾先生的双肺存在大面积的炎症病变。

鉴于顾先生的肺部感染情况较为严重,门诊医生立即将其收住感染科病房接受进一步治疗。
感染科医疗团队充分注意到顾先生“刚从国外归来”的特殊情况,并结合非洲当地的流行病学背景,高度怀疑其可能感染了某种特殊病原体。医疗团队为顾先生安排了支气管镜检查,并通过灌洗液的基因检测技术,最终锁定了致病元凶——贝纳柯克斯体,即“Q热”。

在感染科医护团队的精心治疗与细致护理下,顾先生的发热、咳嗽、胸闷等症状逐渐缓解。复查的CT结果显示,肺部炎症情况得到了明显的改善。目前,顾先生已经顺利康复出院。
什么是Q热
Q热是1937年Derrick医生在澳大利亚的昆士兰发现并首先描述,因当时原因不明,故称该病为Q热。Q热是由贝纳柯克斯体(又称Q热立克次体)引起的一种自然疫源性人畜共患病,在自然界中广泛传播,对外界环境的抵抗力很强,在极端环境中可保持长达几个月的感染性。
Q热的主要传染源
引起Q热的贝纳柯克斯体主要存在于受感染动物的尿液、粪便和羊水中。生活中易接触到的狗、羊、牛、马、驴等动物为主要传染源。
感染Q热会有哪些症状?
1.发热
患者的体温可高达38~40℃,常伴畏寒、食欲不振、肌肉酸痛等症状。
2.剧烈头痛
头痛部位主要是额部和枕部,后发展为弥漫性头痛。
3.呼吸道症状
喉痛、咽充血、咽峡炎;大多数患者会出现肺部病变,如咳嗽、胸痛等症状。
4.肝部症状
常引起肝炎,大多数患者会表现为肝功能异常和黄疸。
5.其他脏器症状
心肌炎、肾炎等。病程超过半年以上的患者易患心内膜炎,少数出现脊髓炎、脑炎。
是否有特效药治疗?
有,如多西环素、四环素、氯霉素、利福平、磺胺类、沙星类、林可霉素等消炎药,可根据情况,联合使用2到3个消炎药。
医生指出,“虽然患者直到出院也没有能提供接触家禽的病史,我们依然要提醒大家,平时生活中一定要注意休息,过度疲劳引起的全身抵抗力下降是疾病加剧的根本原因。日常生活中,如果出现类似情况,要及时就诊。”
原标题:《罕见!江苏确诊一例!》
转自:江苏新闻微信公众号
点击右上角
微信好友
朋友圈

点击浏览器下方“
”分享微信好友Safari浏览器请点击“
”按钮

点击右上角
QQ

点击浏览器下方“
”分享QQ好友Safari浏览器请点击“
”按钮
