在癌症的世界里
胰腺癌犹如一颗恐怖的 “炸弹”
因其恶性程度极高
而被称为“癌症之王”
近年来
令人担忧的是
胰腺癌的发病正呈现出年轻化的趋势
↓↓↓
30岁的赵磊(化名)
一直在浙江打拼事业
自从结婚生子后,他比从前更努力了
为了老婆孩子创造更好的生活
自己的工作压力难免更大了
由于平时不抽烟、不喝酒
也没有特别的兴趣爱好
有时候为了缓解精神压力
热爱美食的赵磊会选择用“吃”
来满足口腹之余
红烧肉、炸鸡、火锅、
烧烤、榴莲、蛋糕……
统统都不能少,全都是他的最爱
大快朵颐后总能带来超强的精神满足
再大的压力都烟消云散
也让赵磊越来越难抵挡美食诱惑
这个器官,最怕暴饮暴食!
然而
贪图一时的味觉享受
代价却是失去健康
最近半年来
赵磊越来越频繁往返医院
动不动就要因为肚子痛到跑到急诊
原来
赵磊不仅有脂肪肝、慢性胰腺炎
胰管内还有大量的结石
虽然医生通过微创帮他清理了部分结石
但仍有残余的顽固结石
很难清理干净
再加上赵磊动不动就大饱一餐
就导致他的腹痛症状越来越频繁了
直到最近
赵磊的情况越来越严重
腹痛、呕吐轮番上阵
被折磨到不行
这次他决定到杭州的医院看看
于是来到了杭州市第一人民医院
由于经历过几次体外碎石、
内镜取石都没能达到效果
消化内科医生建议赵磊通过外科手术取石
于是
他找到了肝胆胰外科主治医师杨祺俊
没想到这个过程中竟发现了“意外”

慢性胰腺炎
竟发展成了“癌中之王”
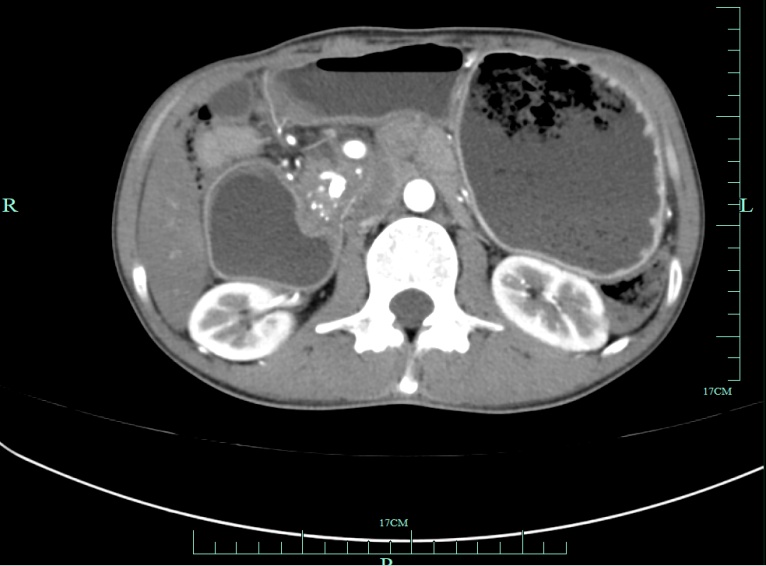
赵磊的腹部CT显示胰头异常
考虑肿瘤病变的可能
年纪轻轻怎么会得肿瘤呢?
就在赵磊以为结果可能弄错了的时候
核磁、病理穿刺等各项检查
指向了同一个结果——“胰腺癌”
这下赵磊凳子都坐不稳了
怎么也不敢相信眼前的结果……
杨祺俊在进一步得知赵磊情况后
发现了症结所在
虽然赵磊没有家族史,也不抽烟喝酒
不接触化学物品,但唯独喜爱美食
经常要暴食
然而
这个看上去没啥“毛病”的喜好
偏偏就是最大的问题
一个病了会把自己“吃掉”的器官
最怕不健康饮食
杨祺俊表示
胰腺是人体的主要消化器官
它分泌的胰液含有各种各样的酶
可以消化蛋白质、脂肪和碳水化合物
正常情况下
这些酶在胰腺内以不活动的“酶原”形式存在
它是酶的前身,不会消化自身的组织
但暴饮暴食会刺激胰液的大量分泌
使胰管内的压力突然增高
引起胰腺腺泡破裂
这些“酶原”进入到胰腺和它的周围组织时
被组织液激活而变成有消化作用的酶
可以消化自身组织
而产生不同程度的胰腺损害和炎症反应
尤其是原来就有胆石症、胆道蛔虫
胆囊炎、胰石等引起胆管不畅因素的人群
暴饮暴食后不仅容易引发胰腺炎
长期的慢性炎症刺激组织退变
也有可能最终导致
恶性程度很高的胰腺癌的发生
所以
赵磊饮食中过量摄入高脂肪和高蛋白食 物
很可能与慢性胰腺炎以及胰腺癌的发生有关
由于诊断明确
且合并胰腺炎胰管结石和肠梗阻
手术指征明确
杨祺俊立即为赵磊安排了
急诊胰十二指肠切除手术
在胰腺炎的状态下顺利安全地完成了
“胰肠天下第一吻”
并在手术过程中联合胆道镜
将残存胰腺中的结石彻底清除干净
术后病理结果显示切缘肿瘤阴性
也就意味着肿瘤达到了完全切除
虽然已经康复出院
赵磊也没有再经历腹痛的困扰
但他后续仍要定期复查和接受化疗
才能达到理想效果
像赵磊这样
喜欢暴饮暴食的年轻人
并不在少数
有数据明确表示
胰腺癌正在呈年轻化趋势
也有不少年轻人
开始担心起自己的身体
如何提早发现?
杨祺俊提醒广大年轻人
如果有长期吸烟、有酗酒史、
肥胖人群、曾患有慢性胰腺炎病史、
有糖尿病病史、胰腺癌的肿瘤家族史
要定期到医院接受检查
医生提醒:
戒烟控酒,清淡饮食
避免高脂高热量食物以防超重肥胖
有胰管结石等胰腺良性病变者应及时就医
慢性胰腺炎、糖尿病患者
及高危家族史人群需特别警惕
转发!提醒更多人!
杭州电视台综合频道
点击右上角
微信好友
朋友圈

点击浏览器下方“
”分享微信好友Safari浏览器请点击“
”按钮

点击右上角
QQ

点击浏览器下方“
”分享QQ好友Safari浏览器请点击“
”按钮
