每年11月到次年3月
是秋冬流感高发季
但近期已经有人早早中招!
5岁小孩得了流感
没想到会确诊急性坏死性脑病!
日前,广东佛山5岁多的小康出现了不明原因的发热、腹泻、咳嗽等症状,自行服药后病情出现反复,随即被送至医院儿童重症医学科(PICU)。

主治医师回忆,小朋友到院后出现抽搐,很快陷入昏迷,病情发展非常迅速。

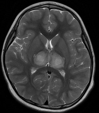
小康入院初时的脑部检查影像图
在急查病原学后,提示其为甲型流感病毒,而小康的头颅MRI检查结果提示其双侧丘脑、双侧小脑半球及小脑蚓部异常信号,经综合研判后考虑是急性坏死性脑病。
据悉,急性坏死性脑病是儿童的危重症,喜欢攻击人体中枢神经系统,病情凶险,死亡率30%~50%、伤残率极高,需要立即为患儿制定抢救治疗方案。于是医生为小康进行了“血浆置换术”后,经半个月综合治疗,小康的各种炎症指标已显著下降。目前小康的健康状况良好,已顺利出院。

为何小康病情会发展得这么急促?还这么严重呢?医生表示:甲型流感病毒所致。




主治医师李婕燕说道:“这个急性坏死性脑病一般是由病毒感染引起的,多数都是甲型的流感病毒,还有疱疹病毒。”
如何区分流感和普通感冒症状?
流感和普通感冒都可能有上呼吸道症状,比如鼻塞、流鼻涕、打喷嚏、咳嗽、喉咙痛,都有传染性,但是,相比普通感冒,流感全身症状比较重,主要症状是高烧、头痛、咽痛、肌肉酸痛等。

上海疾控:全市流感疫苗储备充足已暂停使用赛诺菲流感疫苗
“上海疾控”微信公众号28日发布提醒:流感季疫苗开始接种,市民可根据需要及时预约。
流行性感冒(简称“流感”)是流感病毒引起的对人类健康危害严重的急性呼吸道传染病,接种流感疫苗是预防感染和降低流感相关重症和死亡负担的有效手段。
人群对流感病毒普遍易感,孕妇、婴幼儿、老年人和慢性病患者等人群感染流感后危害较其他人群严重。2024-2025年流感流行季即将来临,建议6月龄及以上人群及时接种流感疫苗。
上海市7月份起启动流感疫苗采购工作,2024-2025年流行季的流感疫苗已陆续供应各接种门诊。目前,全市流感疫苗储备充足。市民朋友可以通过随申办、健康云或“上海疾控”微信公众号等进行流感疫苗接种预约登记。
上海市疾控中心专家:
建议在流感流行季来临前接种
近两日,记者拨打多家社区卫生服务中心电话了解到,大部分社区卫生服务中心已经或正在订购流感疫苗,也有不少社区卫生服务中心已经到货了一批流感疫苗并开展接种,接种人群中有成人,也有婴幼儿。
而在上海各接种门诊,目前可以预约接种的疫苗类型主要是华兰流感疫苗、中慧生物流感疫苗、科兴流感疫苗、上海生物流感疫苗、国光生物流感疫苗等。

究竟该选择三价还是四价流感疫苗,选择在什么时机接种合适?上海市疾控中心专家表示,三价疫苗包含2种甲型流感病毒抗原和1种乙型流感病毒抗原,而四价在此基础上,多增加了1种乙型流行病毒抗原。
专家同时表示,流感一般在冬春季暴发,常在每年年底、次年年初开始流行,建议最好在流感流行季来临前完成接种。通常接种流感疫苗的2-4周后,可产生具有保护水平的抗体。

“流感疫苗的保护效果可持续6-8个月,不论去年是否接种流感疫苗,均建议在今年流感季来临前接种。”上海市疾控中心专家提醒。
针对怀孕人群是否可以接种,以及接种流感疫苗后怀孕是否安全的问题,上海市疾控中心表示,目前大部分流感疫苗并无在国内妊娠期妇女中使用的研究证据,但并无证据表明孕妇接种后会对妊娠和胎儿造成不良影响。孕妇应根据接种医生建议,权衡利弊后接种。备孕女性并无流感疫苗接种禁忌,如接种后发现怀孕,也无需采取特殊措施。
(记者:周文韵)综合上海疾控、第一财经、中国新闻网、广东医科大学顺德妇女儿童医院、广东民生DV现场、广州日报
点击右上角
微信好友
朋友圈

点击浏览器下方“
”分享微信好友Safari浏览器请点击“
”按钮

点击右上角
QQ

点击浏览器下方“
”分享QQ好友Safari浏览器请点击“
”按钮
