5月14日
“杭州姑娘清理发霉衣柜肺部长霉菌”
的话题冲上微博热搜第一
引发网友热议


据杭州电视台5月13日报道,近日,家住杭州的“00后”王小姐(化名)出现咳嗽、乏力、发热等症状。送医检查后,王小姐被诊断为霉菌性肺炎。
据了解,王小姐在打扫旧衣柜时吸入了不少杂质、灰尘,所以才导致肺部感染。此前,已有多人因清理旧物未做防护而导致肺部感染。对此,医生提醒道,打扫卫生时,最好要戴上口罩和手套。

清理柜子、收拾老物件
扫墓都需要注意
据王小姐介绍,一个月前,她发现家中衣柜出现霉斑,便对发霉的部位做了清扫,但没做好防护,清扫过程中吸入了不少扬起的杂质、灰尘,之后她就出现阵发性咳嗽,程度比较轻微,未引起重视。但后来又出现了咳嗽、乏力等症状,发热时最高到了40度。
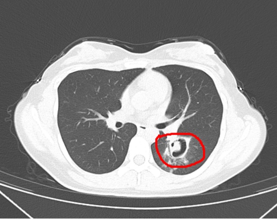
经过一系列检查,医生从肺部CT上发现,王小姐的肺部长出了一个个“小树芽”,怀疑是霉菌性肺炎。接下来,医生对她进行了纤维支气管镜检查,结果发现气道壁上缀着大量白色菌斑,经过化验,确认是曲霉菌。
无独有偶,近日,湖南长沙63岁的戴女士也因此中招。据她本人所述,最近自己在家整理了旧书籍及老照片,而这些老照片和书籍中隐藏着大量尘螨及霉菌。整理过程当中,她本人也未做好防护,导致吸入大量尘螨及霉菌,随后出现严重过敏反应,导致哮喘症状发作,出现无法呼吸的痛苦。
2024年3月30日,浙江宁波60岁的王先生在扫墓之后,同样出现了胸痛、发烧等症状。后经诊断,罪魁祸首就是扫墓时吸入的杂质、尘土。
报道称,由于坟头一年没有打扫,堆积了不少枯枝腐叶,还有大片的杂草,王先生弓着腰爬上坟头,埋头清理上面腐朽的植株。在这个过程中,他吸入了不少随之扬起的杂质、尘土,但并没有放在心上。回到家后,他就干咳不止,晚上便到医院就诊。
医生同样在其气道壁上发现大量白色菌斑,后经化验是曲霉菌。经过雾化吸入和抗真菌治疗,患者体内的霉菌被逐步杀灭,胸痛症状缓解,血氧饱和度也恢复正常。
霉菌是如何长进肺里的?
湖南省人民医院呼吸三病区(RICU)主任、主任医师李建民介绍称,“霉菌是能够引起霉变反应的一种特殊真菌,平时生活中常见,进入人体可能表现为慢性中毒、致癌、致畸、致突变作用、吸入性肺炎等。”
霉菌可以生长在食物以及花粉、土壤、植物、家居等环境中,在人体免疫系统受到打击或者免疫系统较弱的情况下,霉菌就可能进入肺部,引起霉菌性肺炎。
霉菌性肺炎的典型症状主要包括持续咳嗽、咳痰、发热、胸痛和呼吸困难。这些症状在初期可能与普通感冒或流感相似,因此容易被忽视。重要的是,需警惕症状的持续性及加重。
霉菌进入人体还有可能引发口腔、皮肤、泌尿系统、胃肠道等感染,甚至引发全身感染。有过敏体质的人群,将霉菌吸入体内后可引发过敏反应。
此外,某些化学物质有可能引起肺部损伤,进而导致肺部感染。例如,接触大量尘土、烟雾、污染空气等污染源的人,易引起肺部病变,从而引发霉菌性肺炎。
打扫卫生时
最好戴上口罩和手套
霉菌喜欢潮湿、温暖的环境。医生提醒,眼下正值南方气候回暖,阴雨不断,空气潮湿是利于霉菌生长的天然条件。
一些通风不良、潮湿的房间里,很容易滋生霉菌;尤其是墙角、窗台,厨房的水池、灶台,厨具餐具、胶圈,冰箱内部,洗手间、浴室,洗衣机内部,空调等容易滋生霉菌,长时间不用的书籍、地毯也容易滋生霉菌。
研究显示,血液肿瘤、器官移植、肿瘤化疗、长期使用免疫抑制剂、长期使用广谱抗生素、重症监护病房患者,老年患者以及重症的病毒或细菌感染患者等,患病风险高,应该尽量减少霉菌暴露。同时,要加强营养、适当锻炼,增强免疫力。
老年人、幼儿、有基础疾病或免疫力较低的人群,尽量远离尘土,尽量少接触潮湿腐败的泥土;翻箱倒柜打扫卫生,在整理旧衣物或者在日常生活中处理霉味重的物品,或者置身于环境阴暗潮湿的平房、地下室等场所时,要戴好口罩和手套,穿好长衣长裤,避免直接吸入含有霉菌的气体。
此外,可用消毒水,比如3%的过氧化氢、苏打水,或者1比1调配的水和白醋进行清洁,也可以对书籍、地毯等进行阳光晾晒,清除霉菌的时候要注意戴口罩、戴手套,以免误吸。
转自:极目新闻
点击右上角
微信好友
朋友圈

点击浏览器下方“
”分享微信好友Safari浏览器请点击“
”按钮

点击右上角
QQ

点击浏览器下方“
”分享QQ好友Safari浏览器请点击“
”按钮
