整理老照片,竟然会引发哮喘发作?家住长沙的戴女士就遇到了这样的“怪”事。
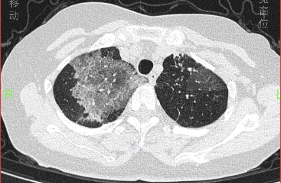
63岁的戴女士被诊断为重度过敏性哮喘多年,平时规律接受哮喘治疗,控制得不错。但近4天来,她出现发热、喘息发作厉害,夜间憋闷不能入睡,于是赶紧到湖南省人民医院呼吸内科检查,发现双肺大片磨玻璃及网格样炎症病变。
医生通过追问病史,得知戴女士发病前在家整理了数天旧书籍及老照片。原来,戴女士发病的原因竟然就是隐藏在这些老照片和书籍中的大量尘螨及霉菌——在整理老照片的过程中,戴女士大量吸入尘螨、霉菌后出现严重过敏反应,导致哮喘症状发作,出现无法呼吸的情况。


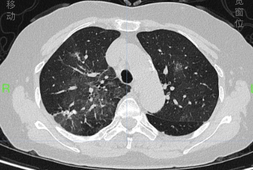
△戴女士入院时肺部CT显示双肺大片磨玻璃及网格样炎症病变(上图),治疗一周后的肺部CT如下图
支气管哮喘是一种常见慢性呼吸系统疾病。流调显示我国20岁以上成人哮喘患病率达4.2%,约有4570万成人哮喘患者。但中国成人哮喘漏诊率高,规范化治疗率低,亟待采取措施来提高哮喘的诊治及管理水平。
2024年5月7日是第26个国际哮喘日,今年的主题是“强化哮喘教育”。哮喘的发病与环境因素、遗传因素密切相关。随着社会的进步、工业化进程加快,哮喘的发病率逐年上升。加强教育是哮喘防治的关键之一,一方面提高哮喘患者教育,帮助患者主动参与更好的自我管理,提高疾病控制率,同时强化医务人员的哮喘教育,为患者提供更准确的信息和治疗方案,降低哮喘患病率和死亡率。
湖南省人民医院呼吸内科主任医师刘念提醒,约2/3的患者为过敏性哮喘,应根据过敏原检测结果及生活经验,尽量避免过敏原接触(例如屋尘螨、粉尘螨、猫毛、狗毛、柳絮花粉等等)或者过敏性食物摄入(例如牛奶、花生、杏仁等等);同时尽量避免在空气污染严重的时候外出;在病毒流行期间避免去人群拥挤的地方;如果是在北方地区柳絮飘飞的季节,出门记得做好防护措施,戴好防粉尘口罩及防护眼镜等;如清理旧照片书籍报纸,及打扫扬尘卫生时应该注意戴上密闭性能较好的N95口罩,防尘眼镜及防护帽等避免粉尘吸入或接触眼结膜。
另外还建议所有哮喘患者循序渐进的开展体育锻炼,尤其是老人和青少年儿童,可以根据肺功能情况及个人喜好选择例如:慢跑、游泳、瑜伽、打太极、跳舞及球类运动等多种锻炼方式,增强体质,减少细菌病毒的侵袭感染,从而更好减少哮喘急性发作,争取达到哮喘的完全控制。
潇湘晨报记者任弯湾 实习生苏娟 通讯员刘念
点击右上角
微信好友
朋友圈

点击浏览器下方“
”分享微信好友Safari浏览器请点击“
”按钮

点击右上角
QQ

点击浏览器下方“
”分享QQ好友Safari浏览器请点击“
”按钮
