突发腹痛。
经检查,
发现她的胃里有巨大的毛发石,
医生诊断其患上“长发公主综合征”。
据中山大学孙逸仙纪念医院4月23日消息,近日,中山大学孙逸仙纪念医院小儿外科主任邓小耿教授团队为明明开展了单孔腹腔镜下胃切开取巨大毛发石术,仅用2.5厘米的单孔切口就为明明取出了约18×9厘米大小的毛发石。
女孩腹痛胃里惊现巨大毛发团
检查确诊“长发公主综合征”
2个月前,明明出现了剑突下阵发性腹痛,在胃镜下发现,明明的胃内有一个巨大的毛发石。尽管接受了3次胃镜检查,但当地医院团队仍无法将明明胃内的毛发石完整取出。

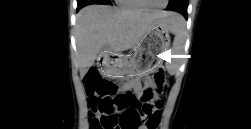
CT检查呈现明明胃内有巨大的毛发石
明明家长于是带明明来到中山大学孙逸仙纪念医院。明明在接受腹部CT检查后,该院小儿外科主任邓小耿教授团队决定为其实施单孔腹腔镜下胃切开取巨大毛发石术。手术过程顺利,明明术后恢复良好,无并发症,并在手术后1周出院。
“长发公主综合征”实为异食癖
通常与两种心理行为有关
邓小耿教授介绍,明明所患的毛发胃石症是指人体吞服人或动物毛发在胃内凝结而形成的异物,又被叫做“长发公主综合征”,名字来源于格林童话里《莴苣公主》的主人公拉庞泽尔(Rapunzel)公主的大辫子,因此“长发公主综合征”又称“拉庞泽尔氏综合征(Rapunzel Syndrome),多见于异食癖症。
异食癖症是一种对不易消化的异物产生特殊嗜好的行为,多发于学龄前儿童。
据介绍,“长发公主综合征”是一种罕见而严重的病症,它凸显了心理健康问题对身体健康的重要影响。这种病会严重影响健康,吃下的头发不会随食物排出体外,会在胃肠道里堆积成团,可能导致胃肠道阻塞,营养吸收不良,甚至胃肠穿孔,威胁生命安全。
这种综合征通常和两种心理行为相关:
1.拔毛癖
人们无法控制地拔掉自己的头发或其他身体毛发。
2.异食癖
持续吃非食物物质,比如头发、泥土、纸张等。
除了手术取石外,心理治疗也是关键的一环。心理治疗包括认知行为疗法、家庭治疗等,以帮助患者树立正确的饮食观念和心态,改变不良的进食行为,不然容易再次异食形成胃毛石症。
医生提醒:
孩子有这些异常家长要重视
医生表示,
“长发公主综合征”主要由
生理、环境、心理三方面因素而形成。
生理因素
缺铁性贫血是儿童异食癖的主要病因,某些患有缺铁性贫血的儿童也会出现嗜食异物的现象。
另外部分儿童的体内缺乏微量元素锌,锌虽然在人体内含量比较少,但它具有十分重要的生理作用。锌参与体内很多种酶的代谢活动,缺锌可引起很多器官和组织的生理功能异常。
环境因素
有学者认为异食癖症是心理因素导致,与患者的家庭关系不融洽、父母疏于照顾子女、母婴分离等因素有关。有研究发现那些家庭破裂、经常缺乏父母的关心和爱护教育,缺少食物和玩具的儿童发生异食癖的比例明显增高,是缺乏监护或情感关怀的表现。
心理因素
还有一种就是儿童有精神方面疾患,易产生幻觉,不自觉吃异物。也有研究发现,有些儿童对食品需要的满足与否,并不是以是否吃饱为标准,而是以嘴的运动需要是否得到满足来衡量的。
邓小耿教授提醒,如果家长发现孩子有异食癖症,应该尽早寻求医生的帮助。如发现孩子有吞食头发的行为或是粪便中含有毛发,需尽早至儿童消化科、儿童精神心理科就诊!
不少家长在发现孩子有进食异物的情况时,会通过打骂的方式来纠正孩子,但这有可能会导致孩子进食异物的行为变得更隐蔽。当孩子学会偷偷地进食异物,这很可能会带来更严重的后果。
对有异食癖症的儿童,父母要付出更多的关心,满足孩子的情感需求,避免通过暴力方式纠正孩子,积极参与心理治疗,耐心地教育训练,在医生的帮助下进行治疗和引导,及时纠正孩子的不良行为,才能真正有效地预防。
转自:广州日报
点击右上角
微信好友
朋友圈

点击浏览器下方“
”分享微信好友Safari浏览器请点击“
”按钮

点击右上角
QQ

点击浏览器下方“
”分享QQ好友Safari浏览器请点击“
”按钮
