随着天气渐热
各种防晒用品热销
其中防晒喷雾因便捷易用
备受青睐

注意
国家药监局近日发布提醒
不建议儿童使用
防晒“喷雾”化妆品
尤其是小年龄儿童、过敏体质儿童

使用防晒喷雾后
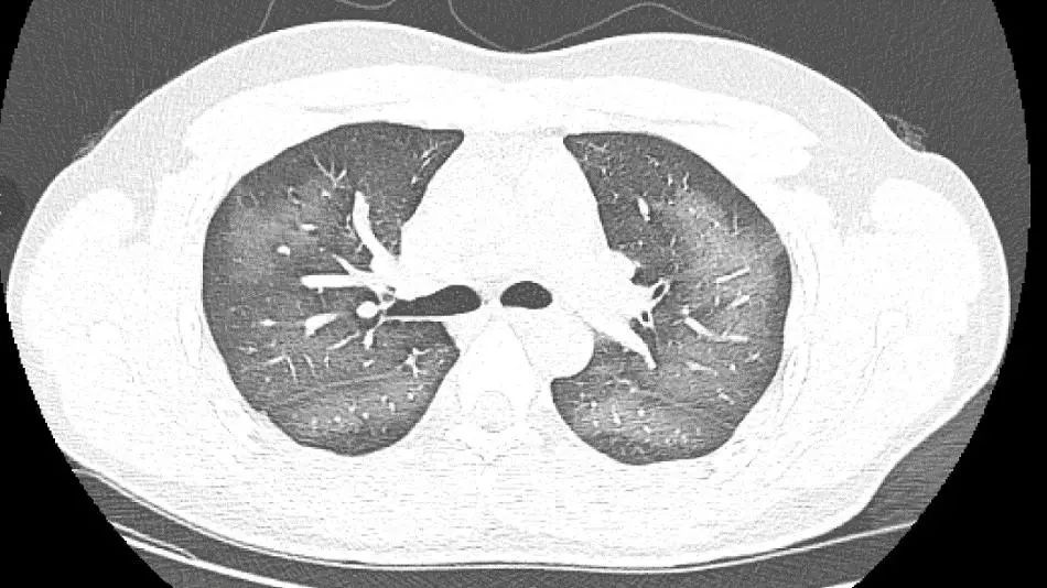
小伙肺部变白了
长沙市第三医院近期收治了一位用防晒喷雾后肺部变白的年轻患者。据介绍,这位患者外出前使用了防晒喷雾,在对着面部喷洒时一不小心误吸,随即出现胸闷、咳嗽的症状。症状一直持续到第二天仍未好转,他才急忙来到医院就诊。
完善相关检查后,这位患者的肺部CT让医生们大吃一惊:双肺赫然呈现大范围白色样病变,报告提示“白肺”。

医生介绍,“白肺”一般是指重症肺炎在X线或CT检查下的表现,患者肺部呈现一大片的白色状态。“白肺”患者往往会出现呼吸困难、呼吸衰竭,严重者还会出现其它脏器功能障碍。
医生表示,除了感染、弥漫性肺泡出血综合征等“白肺”最常见的病因外,吸入有害物质如粉尘、喷雾等,也可导致肺部出现大范围白色样病变。这位年轻的患者就是因为使用不当,吸入了一部分防晒产品进入肺部,导致“白肺”的发生。
有吸入风险
不建议对儿童使用
根据2023年8月31日中国食品药品检定研究院发布的《儿童化妆品技术指导原则》规定,“不建议儿童使用喷雾型防晒化妆品,如必须使用时,应当充分考虑吸入风险,在使用方法中标注‘请勿直接喷于面部’‘避免吸入’等类似警示用语”。
国家药监局文中再次提醒广大家长:不建议儿童使用防晒“喷雾”化妆品,尤其是小年龄儿童、过敏体质儿童,这类化妆品要放在儿童接触不到的地方。
由于儿童各方面发育尚未完全,呼吸控制能力较弱,再加上儿童心智尚未健全,在使用防晒“喷雾”化妆品过程中更易出现不慎入鼻、入口、入眼等现象,引发健康风险;如必须使用时,家长可以将该产品喷于手掌后,再涂抹于儿童皮肤表面。
什么是防晒“喷雾”化妆品?
根据《化妆品分类规则和分类目录》,按照产品剂型分类,化妆品可以分为膏霜乳、液体、粉剂、喷雾剂、气雾剂等剂型。市场上常见的防晒“喷雾”化妆品,一般可分为喷雾剂型和气雾剂型两类,不同之处在于是否含推进剂。

喷雾剂型化妆品不含推进剂,主要依赖机械压力泵产生的压力差喷出喷雾,喷出的“雾”一般液滴(颗粒)较大。
气雾剂型化妆品含有推进剂,主要依赖推进剂喷出时由液态变为气态产生的推动力喷出喷雾,喷出的“雾”一般液滴(颗粒)更小,这类产品包装多采用金属罐。
正确使用喷雾
别让防晒变伤害
防晒“喷雾”化妆品不当使用
主要有两方面的安全风险
▼▼▼
吸入风险
消费者在皮肤上使用防晒“喷雾”化妆品时,可能会无意中吸入喷出的液滴,这些液滴可能包含防晒剂、挥发性有机化合物、香料、防腐剂等各类化妆品原料。
在狭小密闭空间中密集使用时,比如在车窗关闭的汽车内,可能造成短时间内大量吸入,从而可能引发健康风险,尤其是对气道敏感度较高的过敏体质儿童,容易诱发剧烈咳嗽或喘息发作。
与喷雾剂型化妆品相比,气雾剂型化妆品由于喷出的液滴相对更小,因此在使用时吸入风险相对更大。

易燃易爆风险
由于气雾剂型产品中使用的推进剂可能是丁烷、丙烷等易燃物质,且处于液化的高压状态,遇火源易发生爆燃事故。
因此,防晒“喷雾”化妆品在使用和存放时需要关注防火防爆的问题。

如何正确使用
防晒“喷雾”化妆品?
1. 尽量避免吸入“喷雾”
要在空气流通的场所使用防晒“喷雾”化妆品,不在车内、卫生间等狭小密闭的空间内使用。喷洒时要注意避开鼻子、嘴部、眼睛,尽量避免吸入。
如果出现大量吸入“喷雾”化妆品引起鼻腔痛痒、咽部不适、咳嗽、喘息、胸闷等,首先应及时到空气流通的空间,并将化妆品清洗干净,避免再次接触。
如果出现发热症状,或者咳嗽、喘息、胸闷等症状加重,应立即就医。
2. 存放要注意
注意将防晒“喷雾”化妆品存放在阴凉干燥通风环境中,避免阳光直晒;
使用时应远离火源、热源、静电、撞击等,避免将产品或使用完的空罐刺穿或投入火中。
3. 这些部位要避开
避免在伤口、红肿或湿疹等皮肤有异常的部位使用防晒“喷雾”化妆品。
综合:国家药品监督管理局网站、央视新闻、健康广东、南方日报、潇湘晨报
点击右上角
微信好友
朋友圈

点击浏览器下方“
”分享微信好友Safari浏览器请点击“
”按钮

点击右上角
QQ

点击浏览器下方“
”分享QQ好友Safari浏览器请点击“
”按钮
