近日,陕西西安。32岁的杨女士半个月前支原体感染,咳嗽的很厉害。前两天半夜严重咳嗽,起来发现左胸部疼痛。她想着忍忍就过去了,没想到越来越疼,于是赶到西安市人民医院(西安市第四医院)急诊科就诊。

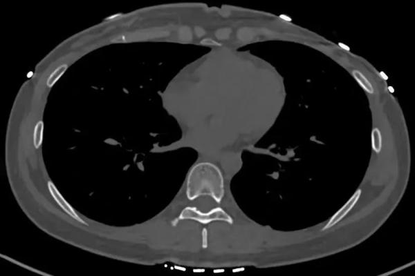
完善肋骨CT三维重建后,清晰提示左侧第6肋骨折。询问得知,杨女士经常出门过度防晒,长期接触不到光照。医生称,发生肋骨骨折的患者通常是有长期或剧烈的咳嗽史,伴随本身的骨质疏松或转移性骨肿瘤等病症。建议杨女士完善检查,明确是否有骨质疏松。

目前,经过规范治疗,杨女士的咳嗽和胸部疼痛已明显缓解。由于治疗及时,没有产生更多相关的并发症。
转自:西部决策
点击右上角
微信好友
朋友圈

点击浏览器下方“
”分享微信好友Safari浏览器请点击“
”按钮

点击右上角
QQ

点击浏览器下方“
”分享QQ好友Safari浏览器请点击“
”按钮
