2024年1月21日
本是年轻有为的
湖南岳阳籍汽车工程师王奥纪
的24岁生日
但他却躺在深圳市殡仪馆
已逾5个月
家人至今仍沉浸在悲痛中
……

毕业后在深圳工作
系汽车工程师
母亲接到儿子病危消息
连夜奔赴医院ICU相见
王奥纪的老家在湖南省岳阳市湘阴县农村。据其表姐易女士介绍,2021年7月,王奥纪本科毕业于北京某知名大学计算机管理专业,毕业后在深圳市大鹏新区某知名品牌汽车股份有限公司工作,后升任工程师,未婚。
王奥纪的母亲称,2023年7月30日中午,突然接到一个陌生电话,“一名自称是我儿子同事,说我儿子瞳孔放大、病情危重,已被送到深圳市坪山区人民医院抢救,马上要做开颅手术需家属签字,让我立即赶过去。”
7月31日凌晨1时左右,王奥纪母亲一行赶到深圳,当天下午在ICU病房里见到了儿子,“头上缠着纱布,鼻子和嘴里插着管子,医生说已脑死亡,建议回家处理后事,但我们没有放弃,坚决要求继续抢救。”
牙齿发炎疼痛
独自到医院拔牙
晕倒后呕吐抽搐
医护人员紧急抢救
王奥纪的母亲事后得知,7月30日上午9:54左右,儿子因牙齿发炎疼痛,独自到深圳市大鹏新区葵涌人民医院口腔科拔牙。
门诊病历显示,王奥纪自述智齿萌出后,反复发炎疼痛已有两个月,在“右下阻生齿萌出,要求拔除。”他否认有高血压、心脏病、糖尿病等病史。
医生在局麻下给他拔了两颗牙,拔牙过程中及拔牙后他无不适,当天上午10:56,医生给他复拍全景片想进一步了解有无断根,在此过程中,他在全景片室内突然晕倒,医生立即呼唤,苏醒后医生追问他的病史,他说以前有过突然晕厥史,医生遂给他口服10%葡萄糖及平卧和吸氧处理。
医生称,为求明确诊断,立即将王奥纪转到该医院的急诊科诊治,转科过程中他出现喷射状呕吐及抽搐,急诊科医生经CT检查发现他有颅内出血情况,于是要求立即转到其他医院处理,医护人员马上联系他的单位领导及家人,要求协助处理。
转院后做开颅手术
坚持14天后
抢救无效不幸去世
表姐易女士介绍,因情况紧急,王奥纪于当天中午12:30左右被转送到深圳市坪山区人民医院神经医学科进一步抢救。
随后在1:40左右,医生开始进行开颅手术,大约2小时后手术结束,王奥纪被送进ICU病房。
手术后至8月11日住院期间,王奥纪处于持续昏迷状态;8月12日晚,经抢救无效于20:45宣告去世,生命被定格在23岁。
尸检报告:
系自发性颅内出血
致多器官衰竭死亡
家属称如何晕倒至今成谜
据了解,2023年8月1日,医院和患者家属共同委托深圳市谐和医患关系协调中心人民调解委员会(以下简称“医调委”)开展医疗纠纷人民调解,后由医调委委托中山大学法医鉴定中心对患者死亡原因进行鉴定。
记者联系了医调委,相关负责人表示,中山大学法医鉴定中心在2023年9月18日出具的《中山大学法医鉴定中心司法鉴定意见书》显示:
“王某某除医源性损伤外,其余体表及内部器官未发现机械性损伤征象”;
“王某某符合在拔牙(阻生牙48)术后,因自发性颅内出血致中枢神经系统功能障碍,虽经手术等积极治疗,终因多器官功能衰竭死亡”。

表姐易女士称,王奥纪身体一直非常健康,事发前一个月单位体检显示一切正常,怀疑葵涌人民医院在治疗过程中存在医疗过错。
易女士说,该医院的过道上有监控,但拔牙室和拍片室没有监控,“过道上的监控可以听到当时有砰的声音传来,我们怀疑拍片时医生操作不当导致我表弟摔倒在地头部受伤,同时手术前未作检查和风险评估,存在过错。”
针对上述说法,葵涌区人民医院则称,王奥纪是在拍片过程中发生晕厥倒在地上的,事发后他们积极抢救并转院救治。
医调委介入调解
正进一步处理
医调委相关负责人表示,开展医疗损害责任鉴定是处理医疗纠纷的法定程序之一,并建议患者家属开展医疗损害责任鉴定,进而明确各方责任。截至目前,患者家属仍未同意开展医疗损害责任鉴定。
对此,易女士称,当初王奥纪尸检时,并不知道要做医疗损害鉴定,也没有人提醒过他们要做这个关于因果关系的鉴定。
医调委相关人士称,当时医生拔牙是遵守诊疗规范的,也明确告知死者家属关于做尸检和医疗损害鉴定的事,“就整个事件来看,我们初步判断,死亡与拔牙之间没有直接因果关系。”
目前,深圳市大鹏新区教育和卫生健康局正在调查处理此事。
事件曝光后,相关话题
#多方调查小伙拔牙后晕倒去世#
冲上热搜,引发关注

网友纷纷留言表示不解
拔牙这么危险的吗?

智齿不疼到底应不应该拔?
拔完到底会出现哪些情况?
什么是智齿?
是不是不疼
就不用拔?
要问拔不拔,先问有没有!
事实上
并非所有人都一定长有智齿
通常,一个成年人长出 28~32 个牙齿都是正常的,不排除有的人没有长智齿,且也不存在智齿。

▲ 智齿即第三磨牙,位于口腔最远最深位置
图源:浙江大学医学院附属第二医院何剑亮医生
如果把一个正常成年人的口腔分为左上、左下、右上、右下四个区域的话,每个区域会有 8 个牙齿,长在最后的第8颗牙齿,就是我们口中的“智齿”,即第三磨牙。
尽管有些人的智齿从来没痛过
但是有可能还是要拔!
从下图可见,这些是被拔去的相对完整智齿,而更多的智齿其实已经在拔牙过程中四分五裂。即便如此,这些幸存下来的智齿,或多或少也已经出现了各种龋损和破坏。

虽说大多数被拔的智齿
都或多或少会引起、
或曾经引起疼痛
但痛或不痛并非医生确定
智齿要不要拔除的根本原因
拔牙的原因很多,但是最简单的一种判断方式——这个智齿是否长得足够正。
长歪的智齿非常不容易清洁,食物常常会残留,有的就会导致智齿及周围组织疼痛;
更严重的是,还会导致智齿前方的磨牙出现蛀牙,进一步则出现牙痛;
最严重的、也非常常见的状况,智齿要拔掉先不说,连同智齿前方的第二磨牙都出现不可挽救的龋坏,只能一起拔掉。

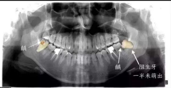
▲ 智齿前方的牙齿已经出现了蛀洞,即龋病
医生同时表示,健康的智齿可以不拔,还有一些智齿深深埋在骨头里,而且完全没有萌出到口腔的迹象,那么也可以先不拔。但是要保持观察,一有动静,还是要防范!
拔牙之后,或多或少有局部肿胀疼痛的过程。此外,伤口疼痛、吞咽疼痛、张口受限也比较多见,这很难避免。甚至有的人还有全身感冒症状,诸如发热、四肢酸痛无力等,需要注意休息。
转自 | 新闻坊
点击右上角
微信好友
朋友圈

点击浏览器下方“
”分享微信好友Safari浏览器请点击“
”按钮

点击右上角
QQ

点击浏览器下方“
”分享QQ好友Safari浏览器请点击“
”按钮
