最近
总是听到别人说“甲流”“乙流”
很多人也因此害怕了
稍微咳一下,就觉得自己“中招”
……
但也有人
明明身体不舒服,硬是拖着
打算让它自己好
然而……
1月12日
“女子硬扛流感10天白肺”
登上微博热搜,引发广泛关注

↓↓↓
据扬州电视台、荔枝新闻报道
最近
江苏51岁的陈女士不幸患上流感
可她没去医院看病
而是在家硬扛了10多天后
感觉身体吃不消
去社区医院就诊不料突然倒地昏迷

经CT检查
因肺部感染多种病毒
陈女士已经发展成重症肺炎
肺功能基本丧失,严重呼吸衰竭
随时有生命危险

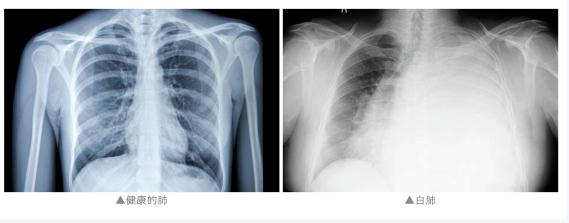
“两个肺都是白的,
发现的时候是甲流,
而且是混合感染。”
江都人民医院重症医学科主任
陈齐红介绍

原来
陈女士因患有糖尿病多年
免疫力偏低,得了流感后硬扛
大大增加了致病真菌的感染风险
最终导致“白肺”
通常来说
“白肺”是指急性呼吸窘迫综合征
主要发生在重症感染时
双肺弥漫性病变进展迅速
其症状和严重程度
都与支原体肺炎不同

医生表示
无论是甲流还是乙流
严重的病人都可能出现
比如肺炎、心肌炎
或神经系统并发症的表现
由于大多数病人就诊较早
因此发生合并肺炎的病人并不多
比例在10%以下
近期
乙流引发公众关注
医生表示
确实遇到过同时感染甲流和乙流的病人
以及感染甲流后又感染乙流的病人
这是因为
甲流和乙流是流感的两种亚型
二者存在一定差异
因此感染甲流
并不能对乙流产生完全的交叉免疫
感染甲流或乙流后
如果患者体质相对弱
依然有可能感染
另一种亚型的流感病毒

乙流和甲流在临床症状上
没有太大的区别
均表现为发热、头痛、关节肌肉痛等
有的病人可能出现
咽痛、咳嗽、胸闷等
乙流通常以小规模或散发为主
因此,乙流占比上升不必过于担忧

如果感冒了
有这些症状,千万别拖!
北京大学第一医院感染科主任王贵强2023年解答传染病防治问题时表示,从流感治疗来看,一般是以对症支持治疗为主,如果出现持续高热不退、气短、基础病加重等情形,应及时到医院就医。
特别是有基础病的老年人,建议当出现发热、咳嗽、头痛、乏力症状时应及时到医院就医,如被诊断为流感,及早用抗病毒药避免病情进一步恶化,导致基础病的加重。
广州医科大学附属市八医院门诊部主任医师胡荣欣曾提醒,出现以下情况请赶紧就医:
感冒三天以上,吃了家常抗感冒药物症状不缓解反而加重,包括咳嗽、咳痰、痰中带血等;
老人和孩子,出现高热、意识淡漠等;
青壮年出现胸闷心慌气急、乏力尿少伴脸肿,需要警惕病毒性心肌炎等。
请注意防护
如有不适,及时就医!
综合:健康时报、扬州电视台关注公众号、荔枝新闻、央视新闻客户端、健康中国等
点击右上角
微信好友
朋友圈

点击浏览器下方“
”分享微信好友Safari浏览器请点击“
”按钮

点击右上角
QQ

点击浏览器下方“
”分享QQ好友Safari浏览器请点击“
”按钮
