每天一杯咖啡“续命”,
是许多打工人的真实写照。
但作为咖啡
“骨灰级爱好者”的吴小姐,
最近却喝不下了,
就连最快乐的“干饭”,
对她来说都是一种折磨——
稍微吃一点就腹痛,
饭后还总是会反酸水。
医院检查后,
吴小姐大吃一惊
↓↓↓
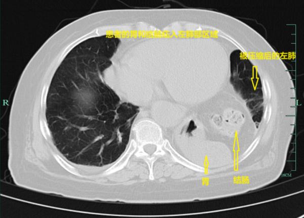
本应待在腹腔的胃,
竟意外“跑”到了肺里,
把左肺压得只剩一点点......
这事也一下冲上了热搜。
到底咋回事呢?

吃两口就感觉被噎住
胃和肠都“跑”进肺里
吴小姐约从一年前觉得不对劲,
吃点喝点就感觉会被噎住,
还伴有腹痛。
起初她没当回事,但渐渐地,这种胀痛感越来越强,到药店买胃药吃,也不管用。
自此,吴小姐对吃饭“充满阴影”,吃两口就放下筷子,一顿饭往往得“折腾”一个小时才下肚。时间一长,身边人都不理解,有人说她为了减肥太拼命,但这种难以名状的苦只有她自己清楚。
从今年开始,吴小姐的症状愈发严重,吃啥吐啥,实在忍不住的她才到杭州市第一人民医院就诊。

图片由市一医院提供
在疝和腹壁外科,黄永刚副主任经过CT检查,吴小姐简直不敢相信——她的胃和结肠竟齐刷刷“跑”到了肺里,左肺被挤成一点点。
最终,她被确诊患上了食道裂孔疝。
由于吴小姐的情况已较为严重,黄医生团队为吴小姐做了手术,折磨她一年多的痛苦终于解除。
食管裂孔疝,通俗点理解,是指腹腔脏器通过扩大的食管裂孔进入胸腔所引起的疾病,通常是胃进入胸腔,也可能是结肠、网膜组织等腹腔脏器。
人的食管从胸腔下到腹腔间有一个通道,通道交界点就是食管裂孔,在某些因素作用下,食管裂孔被扩大,不仅能够通过食管,也能通过更大的器官,如胃,就形成了食管裂孔疝。
正常人进食后,食物应是一路向下走,但吴小姐吃下去的食物,在进入胃时需在胸腔滞留后再回到腹腔,这才导致了她进食后出现腹痛及反酸。
食管裂孔疝是常见的
消化系统疾病之一,
70岁以上患者占70%,
可年纪轻轻的吴小姐怎会中招?
原因出在天天喝咖啡
在仔细了解吴小姐的生活习惯后,
黄医生找到了答案
——可能与她天天喝咖啡的习惯有关。
原来,吴小姐几乎每天都要喝上两三杯,还特别喜欢喝热咖啡。
医生介绍,长期喝咖啡,特别是过热的咖啡,会对胃和食管黏膜产生慢性刺激,导致胃酸明显增加并使其反流至食管、气管甚至口咽部,加重食道裂孔疝的症状。
黄医生指出,胃食管反流是食管裂孔疝患者最常出现的症状,如出现食物、胃酸的倒流,甚至无法平卧,平卧就反流,导致腹痛腹胀、烧心、嗳气、反酸、食管炎、咽喉炎、慢性咳嗽、贫血等情况,重度反流性食管炎常与食管裂孔疝和食管抗反流机制受损有关。
部分食管裂孔疝是因不当的生活方式所致,过量饮酒、喝咖啡、吃油腻食物、饱餐及吃饱饭后立即躺下等不健康习惯都可能成为诱发因素。
若发生这种情况,症状轻微的患者可通过服药改善,但食管裂孔的结构改变不能得到恢复,较小的食管裂孔疝可观察,较大的食管裂孔疝则需进行外科手术治疗,通过手术恢复食管裂孔的结构和抗反流功能。
转自:潮新闻(记者:何丽娜 通讯员:李煦)
点击右上角
微信好友
朋友圈

点击浏览器下方“
”分享微信好友Safari浏览器请点击“
”按钮

点击右上角
QQ

点击浏览器下方“
”分享QQ好友Safari浏览器请点击“
”按钮
