大爷上楼梯或用力时总是出现明显的打嗝、嗳气,竟然不是胃病而是冠心病所致?
家住长沙芙蓉区的77岁欧爷爷近半年来总是打嗝嗳气,以为是患了胃病,没想到最终被确诊为冠心病。12月14日,在经过湖南省人民医院心内科微创手术治疗后,患者顺利出院。
半年前,欧爷爷走步上楼或用力时经常出现明显打嗝嗳气,伴有轻微胸闷,持续2-3分钟,每次打完嗝后胸口就会舒坦不少。欧爷爷看了好几次消化科没查出病因,多次心电图正常,也吃了不少药,但都没什么效果。后经人提醒,欧爷爷来到省人民医院马王堆院区心血管内科五病区就诊。
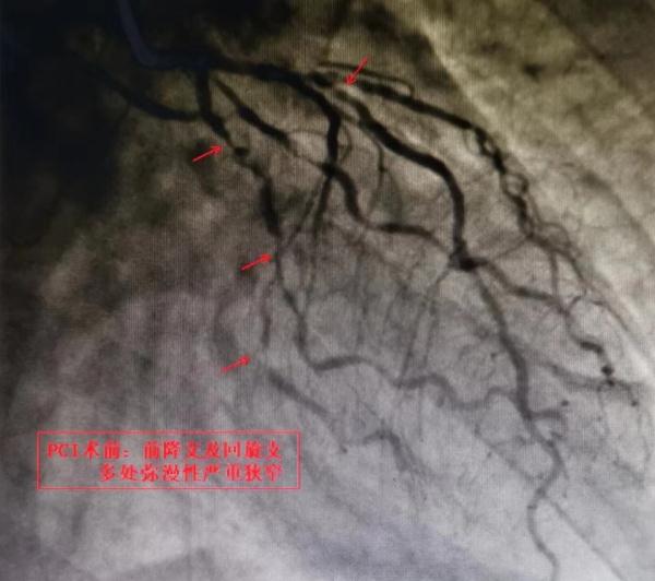
接诊的心内五病区主任容志毅在详细询问病史后,高度怀疑欧爷爷有心脏血管方面的疾病。入院后,经冠状动脉造影结果显示,患者心脏多支主要血管严重病变,左前降支、左回旋支皆有75%以上的弥漫性狭窄,严重狭窄处达95%。原来困扰欧阳爷爷半年之久的“胃病”竟然是“心病”。


△术前术后影像对比
在经过商讨后,容志毅主任医疗团队决定为患者实施介入微创手术。术中,手术团队通过给予心脏支架“搭桥”,开通狭窄血管,多处心脏堵塞血管实现了“再通车”,手术顺利完成。术后,欧爷爷打嗝嗳气的症状完全消失。目前,患者已顺利出院,回家休养。

△医护人员为患者进行体查
容志毅主任介绍,冠心病心绞痛发作时,通常以心前区闷痛不适为最主要最突出的症状。然而,有些患者心肌缺血时并没有明显胸痛胸闷,可能会出现恶心呕吐上腹痛,但像欧爷爷以明显打嗝嗳气为主要心肌缺血症状的,比较少见。这是因为心脏下壁贴近膈肌,发生心绞痛时,膈神经受刺激牵涉到胃肠道,因此疼痛部位经常出现在上腹部或者表现为打嗝、恶心、呕吐等症状。
容主任提醒,冠心病患者无心绞痛发作时,心电图可完全正常,不能以此作为是否有冠心病的依据。目前,长沙冬季气温明显下降,且波动大,容易诱发心绞痛发作。尤其是中老年人心绞痛发作时,症状多不典型,容易漏诊或误诊。因此,如有活动后出现的消化道症状或其他不适,应高度怀疑为非典型心绞痛症状,建议尽早就医,以免耽误最佳治疗时机。
潇湘晨报记者任弯湾 通讯员湛江平
点击右上角
微信好友
朋友圈

点击浏览器下方“
”分享微信好友Safari浏览器请点击“
”按钮

点击右上角
QQ

点击浏览器下方“
”分享QQ好友Safari浏览器请点击“
”按钮
