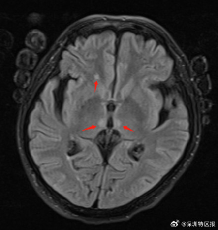
5个多月前,因酗酒厉害突发瘫痪,一名50岁男子被送进急诊,被诊断为“韦尼克脑病及周围神经病”,一度生命垂危。幸运的是,在南山医院多学科团队和外聘专家的协作下,他连闯免疫关、感染关、呼吸关、肌无力关等四大难“关”,在ICU救治130天后成功脱险,创造了生命奇迹。


点击右上角
微信好友
朋友圈

点击浏览器下方“
”分享微信好友Safari浏览器请点击“
”按钮

点击右上角
QQ

点击浏览器下方“
”分享QQ好友Safari浏览器请点击“
”按钮
