“我生活作息都很规律,不抽烟不喝酒,平时还喜欢散步运动,怎么就得了急性心肌梗死?”近日,湖南省人民医院心血管内科五病区收治了一位患上较罕见的自发性冠状动脉夹层,导致急性心梗的患者何女士。在通过医护人员的紧急救治后,患者转危为安。
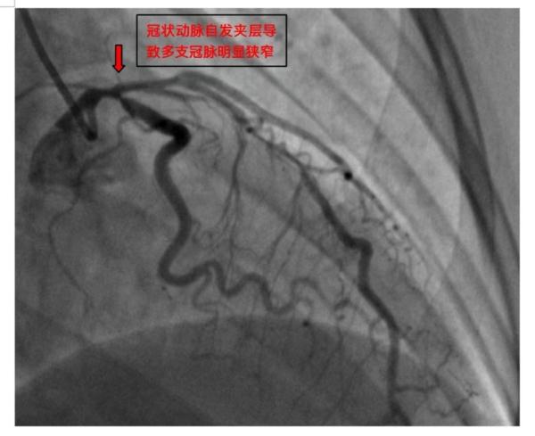
一周前,家住马王堆陶瓷城的40岁何女士晚上10时正在家看书,突然胸痛难忍,大汗淋漓,被家人送往省人民医院马王堆院区紧急就医。入院后,心电图提示,患者为急性前间壁、前壁心肌梗死。经冠脉造影检查和血管内超声检查后发现,患者冠状动脉的左主干+左前降支+回旋支出现一个自发性夹层,形成血肿,造成血管挤压狭窄达90%。如不马上处理,心脏左边将面临大面积缺血坏死,会有生命危险。
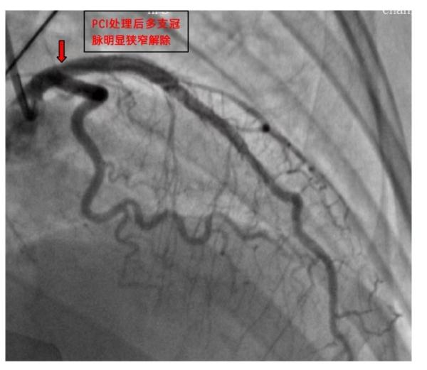
心血管内科五病区主任容志毅及其介入手术团队,迅速拟定最优方案,精准“打击”病变血管,在历时三个小时后,成功为患者植入支架,开通血管,化险为夷。术后,患者被送入CCU进行后续治疗。目前,患者病情好转,已出院回家休养。

△术前

△术后
“大部分心肌梗死都是由于冠状动脉粥样硬化或者斑块破裂导致的,但何女士的心梗原因比较罕见,是由于冠状动脉内出现一个血肿,即自发性冠状动脉夹层。”容主任介绍,自发性冠状动脉夹层是一种罕见的心血管疾病,发病率极低。但其死亡率极高,约为70-75%,其中50%直接猝死,约20%自发性冠脉夹层形成数小时内可能致死。

△医务人员为患者查房
容志毅主任表示,这类患者与冠心病导致的心梗患者区别在于,它的发生常常没有任何心血管危险因素(如高龄、高血压、高脂、吸烟、酗酒等),但症状却与心梗类似,都有胸闷、胸痛、大汗淋漓、恶心呕吐,甚至心率失常、猝死等。
容志毅主任提醒,自发性冠状动脉夹层好发于女性,是中青年女性心肌梗死的重要原因。除了性别,该病还可能与激素分泌、妊娠、遗传、环境 、情绪改变等相关。因此,日常生活中,女性,尤其是中年女性,如果有胸痛伴恶心呕吐等症状,切莫以为年轻或者没有心梗的高危因素而大意,应该提高警惕,及时就医,避免危及生命的事情发生。
通讯员湛江平 潇湘晨报记者任弯湾
点击右上角
微信好友
朋友圈

点击浏览器下方“
”分享微信好友Safari浏览器请点击“
”按钮

点击右上角
QQ

点击浏览器下方“
”分享QQ好友Safari浏览器请点击“
”按钮
