我国柿子种类繁多,种植范围广
广东广州、茂名、梅州等地均有种植柿子

但让人意想不到的是
香甜软糯的柿子
竟让广东阿叔胃里长了“石头”
日前,50岁的伍先生因腹部长期反复胀痛到医院就诊,经胃镜检查后发现胃里竟长了块拳头般大小的“石头”,且胃壁遍布大大小小的溃疡。
经过中山大学附属第六医院胃外科主任医师练磊及团队的诊疗,伍先生胃里的石头被取出,终于不用再受胃胀和溃疡之苦。练磊认为,这块石头正是被柿子“养大”的。
微创手术解决拳头般大胃石
接诊并仔细询问伍先生的病情后,练磊判断,正是因为这块直径有10厘米的“拦路石”把胃通向肠子的通道堵塞住了,导致食物长期淤积在胃里,让伍先生感觉反复腹胀。而他的胃溃疡也是因此而起。

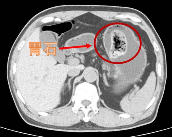
△伍先生胃里的胃石
经过详细检查,医生发现这块石头太大了,无法从食道直接取出。如果放任不管,胃石会一直磨损胃黏膜,加重溃疡,甚至会引发癌变。因此,医生用“微创胃取石术”的方案成功并完整地取出胃石。
避免空腹食用杮子、山楂、黑枣
拳头大的胃石是如何“养成”的?可能是伍先生钟爱的食物——柿子惹的祸。
练磊介绍,杮子、山楂、黑枣这些食物内含大量鞣酸,在胃酸的作用下,会和蛋白质发生化学反应,与果胶、树胶等凝结成硬块,最终形成质地坚硬的胃石。

我们是不是不能吃柿子了?喜爱柿子的人群应该如何预防胃石症?练磊提醒,大众要避免空腹食用杮子、山楂、黑枣等含有高鞣酸的食物,也要避免与虾蟹等高蛋白食物同时进食。如果发现有上腹不适的症状,请提高警惕并及时就医,及早进行胃镜检查,尽快查明病因并治疗。
转自:南方+
点击右上角
微信好友
朋友圈

点击浏览器下方“
”分享微信好友Safari浏览器请点击“
”按钮

点击右上角
QQ

点击浏览器下方“
”分享QQ好友Safari浏览器请点击“
”按钮
