很多人喜欢通过扳手腕
互相较量彼此手腕和胳膊的力量
但因此发生的意外事件
并不在少数!
小伙猛地发力后"咔嚓"一声
这部位当场报废
20岁大学生小李,喜爱健身,尤其热衷于锻炼手臂。前不久,他参加了一场同学聚会,期间几人起哄比拼扳手腕,平时爱运动的小李不愿认输,和校篮球队的同学较上了劲。
就在两人的僵持中
小李猛地发力
只听“咔嚓”一声
右上臂传来撕裂般的剧痛
手臂瞬间耷拉下来无法动弹
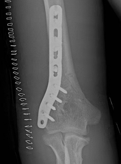
随后,小李来到浙大二院骨科,经检查发现,他的肱骨干中下1/3处螺旋形骨折,还伴随桡神经损伤,出现手腕下垂、手指麻木的症状。
幸好最终通过手术复位固定,术后需制动康复3个月,这才让他明白看似简单的游戏藏着大风险。
无独有偶
浙大二院骨科近日接诊了
多例扳手腕导致骨折的病人
有些是学生,有些是青壮年
一般以男性为主
为什么扳手腕会导致骨折?
在扳手腕时出现猝发的上肢剧烈疼痛,多在上臂,活动受限或完全无法活动,局部肿胀甚至畸形,严重的患者还会出现手部麻木、手腕下垂。这类伤情,往往事发突然且伤情严重,远超当事人的预期。
那么
为什么"传统对抗游戏"
会导致骨折呢?
之后的恢复又如何呢?
扳手腕其实是一种
以肘关节为轴
前臂旋转对抗的运动
↓↓↓
在比赛中,弯曲的肘部置于桌上,两位对手面对面,双手紧握,每位参与者都试图将对方的手压向桌面。此时,肩部的内旋肌(胸大肌、肩胛下肌、大圆肌、背阔肌等)会对肱骨近端施加一种内旋的扭力,而对手施加在手部的力则通过前臂作用于肱骨远端,形成外旋的扭力。
上述内旋扭力和外旋扭力共同作用于肱骨,形成强大的旋转力矩。特别当参与者突然爆发力量或者躯体扭转不协调时,造成应力集中,进而导致骨折。
扳手腕最常见的损伤
和骨折类型
1
单纯软组织损伤
在国外一项调查研究中,因扳手腕就诊的患者,约50%是单纯软组织损伤导致的腕关节痛、肩关节痛、肘关节痛、前臂疼痛,其余则是猝发的骨折。
2
肱骨干骨折
肱骨在近端为长圆管状的坚质骨,在中下1/3处逐渐变形为扁平状,在移行的交界区域,是肱骨骨骼结构的薄弱区域。同时叠加扳手腕时扭转力量的作用特点,所以绝大多数扳手腕导致的骨折类型是肱骨干中下1/3的螺旋型或斜型骨折;
3
肱骨干骨折伴桡神经损伤
由于桡神经绕行于肱骨后侧骨沟,肱骨干骨折时,约26.3%的患者出现手部麻木、手腕下垂等桡神经损伤的表现;
4
其余少见的骨折类型
除肱骨干骨折外,较常见的还有肱骨内上髁撕脱骨折,另外还有关于肩胛骨颈骨折、肩胛下肌断裂、肘关节内侧副韧带断裂、肘关节前脱位伴或不伴鹰嘴骨折、鹰嘴骨折、桡骨头前脱位或骨折脱位、桡骨干骨折、复发性半脱位的罕见报道。
紧急处理及治疗方案
在受伤当时
应对伤者患肢制动
取夹板和绑带临时捆扎固定
同时患处冷敷
送医院急诊就诊
最终治疗方案视情况而定
01
保守治疗
对于单纯的软组织损伤,应予以48~72小时内冷敷,制动休息;对于骨折对位对线良好的患者,可考虑石膏固定,严格制动,保守治疗,定期复查。
02
手术治疗
对骨折移位明显、粉碎或合并神经损伤的患者,往往需要考虑手术治疗,多复位后用钢板或髓内钉固定骨折部位。目前的研究及临床治疗来看,该类骨折的恢复情况尚好,即使有神经损伤极少留下后遗症。
避免硬拼,切莫逞强
难道这种游戏就不能再做了?
对此,医生也有建议
对于普通人群
特别是骨折未发育成熟的青少年
要注意以下几点
1. 不要参与高强度对抗的扳手腕游戏;
2. 特别不要在饮酒状态下扳手腕,这种状态下扳手腕骨折的概率明显升高;
3. 参与前充分热身,姿势正确规范;
4. 如对方体型或力量明显占优,避免硬拼,切莫逞强。
无论是掰手腕
还是其他竞技性运动
人身安全是前提
友谊第一,比赛第二
新闻坊综合浙大二院、健康杭州
来源: 新闻坊




