日常生活中不慎摔跤
很多人觉得这只是"小磕小碰"
但需要注意了
如果伤到一些“极脆弱”的器官
一定要引起重视!
近日,国家儿童医学中心、上海交通大学医学院附属上海儿童医学中心成功为一名因外伤导致脾破裂、介入术后脾坏死合并严重感染的13岁患儿实施综合救治。
13岁少年外伤脾破裂
合并严重感染险象环生
据院方介绍
近日13岁的辰辰(化名)
在骑自行车时不慎摔倒
撞伤腹部
导致脾脏破裂出血
外院紧急行脾动脉栓塞术止血
然而,术后出现了脾脏坏死、液化并继发感染,患儿持续高热超过40℃,炎症指标显著升高 ,虽经抗感染治疗但仍无改善。转入上海儿童医学中心时,患儿已出现持续高热不退、精神萎靡、脾脏积脓、膈下脓肿,情况十分危重。
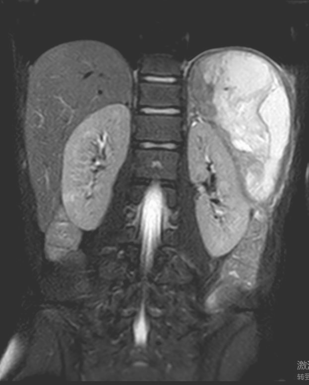
普外科接诊后,副主任医师胡明结合外院CT与本院MRI检查结果,明确诊断为“脾坏死液化伴积气积脓” (范围约152.6mm*102.5mm*58mm)。
考虑到传统开腹手术创伤大、恢复慢,患儿腹腔感染严重需尽快清除病灶,且术后为保证引流通畅会放置多根引流管,综合考虑后, 决定行腹腔镜下全脾切除+膈下脓肿引流术术中,大量脓血被吸出,坏死组织被清除,引流管成功放置 。术后,感染科为孩子量身定制了抗感染方案,并联合中医科共同治疗,预防肠粘连。
术后第4天
患儿体温逐步恢复正常
感染指标明显下降
最终痊愈出院
医生提醒,脾脏作为腹腔内脆弱器官,外伤后即使介入治疗成功,仍需密切观察是否出现发热、腹痛等感染迹象。早期识别介入治疗后并发症和微创手术及早干预可显著改善预后。
脾脏脆弱“如豆腐”
摔跤、撞击都可能引发大出血
左上腹疼痛要及时就诊
关于脾脏这个器官
小坊要重点和大家介绍一下
脾脏被称为人体的血库
是重要的储存血液的器官
但同时
它也是一个十分脆弱的器官
一次不经意的摔跤、跌倒、撞击
都可能使其受损大量出血
继而引发生命危险
类似情况已不止一次发生!
小坊此前报道
2024年11月12日
浙江宁波的胡先生
在跑步时不慎被绳子绊倒
左腹部不偏不倚恰巧撞在石头上
到医院检查发现
突然的撞击 已引起创伤性脾破裂
同时伴有腹腔、
盆腔大量积血、积液
去年5月,浙江温州一位爸爸辅导儿子做作业急了发脾气,随手拿起一个石榴砸向儿子,石榴正好砸中了孩子左侧腹部,孩子当场大叫一声“好痛”。第二天到医院检查发现,孩子的脾脏破裂出血了。而造成这一结果的最大可能,就是爸爸砸出去的那个石榴。
脾脏是一个血供丰富而质地脆弱的实质性器官,如果受到过大的外力撞击,就会像豆腐一样被撞破,是腹腔脏器中最容易受损伤的器官之一。脾脏是一个储血器官,上面有很多血管,一旦发生破裂,就会导致大出血、休克,危及生命。而“豆腐”质地的脾脏破裂之后,是缝不起来的,只能整个切除。
医生提醒,在生活中,如果腹部受到外力导致左上腹部疼痛、不能直立行走等情况,可能是出现了内脏破裂出血,马上就医,以免耽误治疗。
日常怎么保护脾脏?
运动防护:
进行有身体对抗性的运动,如篮球、足球时,一定要佩戴合适的护具,保护好腹部。在进行滑板、自行车等运动时,也要注意安全,避免摔倒撞击到左腹部。运动前充分热身,让身体各部位做好准备,也能降低意外受伤的风险。
交通安全:
乘车时务必系好安全带,它能在关键时刻减少身体的冲击力,减少腹部受伤的可能性。骑摩托车、电动车要佩戴合格的头盔,同时穿戴防护衣,降低事故中脾脏受损的机率。
避免危险行为:
不要在高处攀爬、跳跃,防止不慎跌落导致腹部受到剧烈撞击。在日常生活中,也要注意避免腹部受到尖锐物体的刺伤。
控制基础疾病:
一些血液系统疾病、感染性疾病可能会累及脾脏,导致脾脏肿大,此时脾脏更易受损。所以,积极治疗和控制这些基础疾病非常重要,比如按照医生的嘱咐规律服药,定期复查。
综合上海儿童医学中心、厦门市儿童医院
来源: 新闻坊


