干饭都不香的痛苦
谁懂?
镇江患者高宇(化名)吃饭如“受刑”
稍微大块点的食物
吞下去就“如鲠在喉”
要么噎住,要么很快就呕吐出来
米饭几乎只能几粒几粒地入口
这样的“折磨”,他熬过了4年
近期,终于找到了病因
食难下咽,竟是胃被“上锁”
身高180cm,体重只有60kg,33岁的高宇因为过于瘦弱经常被朋友调侃像根竹竿,为此他也很是懊恼:“不是自己不想吃,而是实在吃不下去啊。”
据高宇回忆,四年前自己莫名开始出现进食困难,刚开始只是容易噎住,后来症状逐渐加重,有时刚吃下去的东西就吐了出来,胸骨后疼痛不止,吃饭成了他的心头大患。高宇原以为是胃病,但吃了不少药,也看了不少医生,但问题没有得到解决,症状也越来越重。
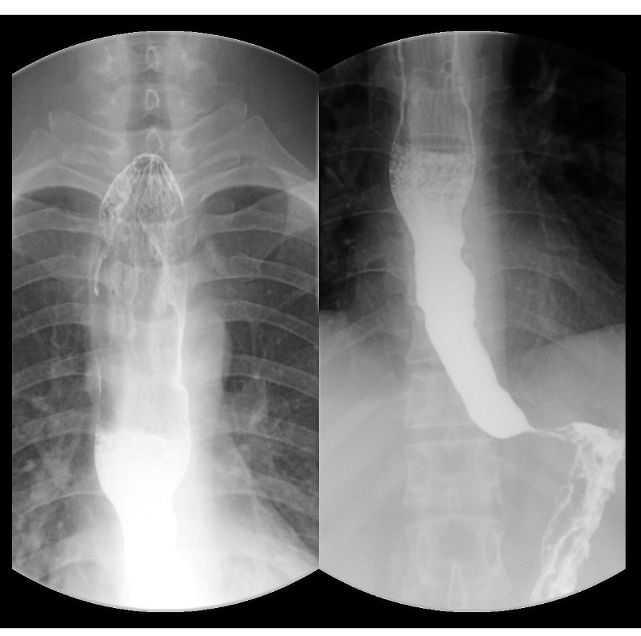
近日,高宇来到江苏大学附属医院江滨医院消化内科就诊,经胃镜及上消化道造影检查,提示食道扩张明显,贲门狭窄呈鸟嘴样改变,而这些正是贲门失弛缓症的典型表现。
上消化道造影提示食管明显扩张,贲门鸟嘴样狭窄
贲门,是食管与胃相接的地方,相当于进入胃的“大门”,食物从食管进入胃时,贲门处的肌肉会舒张收缩,此举可防止进入胃的食物和胃酸反流进食管。贲门失弛缓症,是贲门处的肌肉失去了收缩功能,好比进入胃的大门上了一把锁,食物难以进入胃部,引发吞咽困难、反流、呕吐等症状,有些患者还因食物反流误吸入气管发生咳嗽、反复肺部感染等。该病高发年龄为20-50 岁,女性多于男性。
妙手“解锁”,圆小伙吃货梦
通往胃的“大门”被“上了锁”,如何“开锁”就是眼下的症结所在。为了尽快帮助高宇摆脱痛苦,该院医疗团队经讨论后决定,以一种通过隧道内镜技术进行肌切开的内镜微创新技术——经口内镜下食管括约肌切开术(以下简称POEM)展现出创伤小、恢复快、成功率高的突出优势,现已成为贲门失弛缓症的首选治疗方案。
“打隧道”并非易事,极其考验医生“功力”,需要在粘膜内层完成许多精细动作,同时还要极其严谨地规避出血隐患。在该院医疗团队的配合努力下,成功为高宇实施了POEM手术。高宇术后恢复非常顺利,现在终于如愿当上一名快乐的“吃货”了。
术后的高宇
贲门失弛缓症发病率低,而且起病隐匿。有些患者出现症状时去做胃镜检查,排除了食管肿瘤后,就没有再做其他相应的检查,进而出现漏诊现象。
江苏大学附属医院江滨医院徐岷医生解释,贲门失弛缓症在早期可以没有任何表现,随着病情的进展,逐渐会出现吞咽困难、食物反流、胸骨后疼痛不适、体重下降等症状,患者应及时到医院就诊。诊断贲门失弛缓症光靠胃镜还不够,还应完善食管造影、食管分辨率测压等相关检查。
转自:江苏大学附属医院江滨医院
来源: 最镇江

