图片来源:mibellebiochemistry
在推理小说中,有一种经典的“暴风雪山庄”模式:一群人被困在一个与世隔绝的环境中,随后众人中会发生一些奇怪的事情。这虽然只是推理小说的一种手法,但对于驻扎在南极沃纳德斯基站的乌克兰科学家们,他们却亲身经历过一次这样奇怪的“暴风雪山庄事件”:
2020年2月6日,当科学家们一觉醒来,就发现窗外似乎不太一样。在科考站的不远处,原本皎洁的雪地染成大片腥红色,就仿佛在他们入睡之后,这里曾经发生过“大屠杀”般的血流遍地。
沃纳德斯基站突然出现的红雪|yourweather
在这个身处南极,与世隔绝的岛屿,不可能有外人进入。
科学家们开始怀疑是不是海豹曾在这里捕杀过企鹅,但很快就排除了这个可能:他们并没有听到喧嚣的声音,在极昼的情况下也不可能忽略企鹅或者海豹的身影。他们又怀疑是不是哪位粗心的队员在外面打翻了覆盆子果酱,但大家都表示没做过这种事。
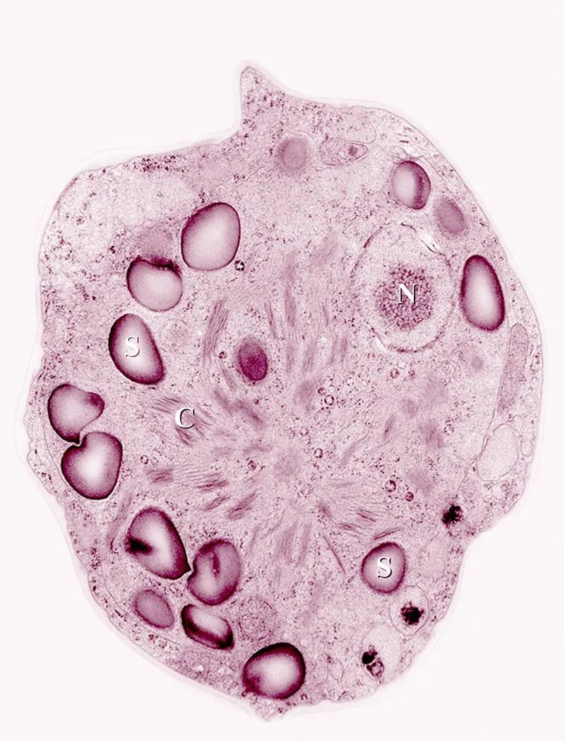
有好奇的科学家提取这些“血迹”的样本,这些红色的雪闻起来“散发着西瓜的气味”。在显微镜下,真相就水落石出了:红色来自一种耐寒的生物,极地雪藻(Chlamydomonas nivalis)。
显微镜下的极地雪藻|wiki
早在公元前三世纪,亚里士多德就曾经记录过红雪现象,此后全球各地很多寒冷的地区也都出现过类似的现象。但在相当长的时间里,人们总是把雪地里突然出现的红色当作矿物沉积物或者花粉。1819年,随着英国极探险队从北极返回,带回了红雪的样本,人们才意识到红雪其实是一种生物。直到20世纪初,科学界才搞清楚这是一种藻类的孢子。
极地雪藻有可能在全世界各地的雪原或者山顶上出现。在大多数时候,它常年在冰天雪地中休眠,只有到温暖的季节,随着冰雪的融化,极地雪藻开始变得活跃,在低温的水体中快速生长,并且产生红色的孢子,就仿佛白色的调色盘中挤出了红色的颜料。
不仅是雪地上,连冰川上也出现了极地雪藻|weather
沃纳德斯基站发生的故事也是一样,当时恰好处于南极的夏季,科考站内记录下了18.3°C的历史高温。这些已经不知道沉睡了多久的极地雪藻被温暖唤醒,形成了罕见的“西瓜雪”现象。
研究环境和气候的科学家们非常关注极地雪藻的踪影,因为它很像“多米诺骨牌”:藻类在开始出现之后,由于自身的红色,会在雪地中吸收更多的热量,导致周围的雪融化得更快,从而进一步加速周围的藻类开始繁殖。
在南极不仅出现过红雪,还曾经出现过绿雪|aeif.asia
不过对于生物学家们来说,他们更关心的是极地雪藻耐寒的独特属性。极地雪藻几乎不会被冻死,当气温只要在5℃以上,它就可以正常地繁殖。当环境开始结冰,它就开始休眠,此时外界的寒冷对它几乎不会有影响。这也是它为何会出现在北极和南极的原因。
通过对极地雪藻进行基因测序,科学家们发现它与另外一种绿藻,莱氏衣藻(Chlamydomonas reinhardtii)的亲缘关系非常密切,二者有非常多的相似之处。但是它们最大的不同,就是莱氏衣藻像大多数藻类一样,喜欢温暖的环境,而极地雪藻却只喜欢低温。也正是对环境选择的不同,最终导致了二者的分化。那么,极地雪藻为什么不怕冷?
在阿尔卑斯山出现的红雪|mikrobalpina
要知道,在极地雪藻“泛滥”的南极,并不是只有低温那么简单,这里虽然是冰雪的世界,但是年降水量仅有30-50毫米,空气干燥的程度一点不亚于撒哈拉沙漠。不止如此,在极夜的时候,这里将近半年见不到阳光,但是到了极昼,由于南极上空臭氧层非常稀薄,所以这里太阳辐射强度又非常高,强烈的紫外线会对生物的细胞造成损伤。可是偏偏极地雪藻可以完美地适应南极的生活,广泛分布在南极大陆很多区域。
为了适应极地生活,极地雪藻相比其他藻类确实产生了很多改变:它的细胞壁变得更厚,并且上面会有更多的凸起增加表面积,这样能保护细胞内部的液泡免受干旱或者辐射的侵袭。不过最重要的变化,还是极地雪藻能够分泌胡萝卜素和虾红素,这是它不怕冷的关键,也是红雪现象的由来。
极地雪藻的孢子可以在黑暗寒冷的过程中保持长时间的休眠,当进入水中重新悬浮后很快就会恢复活力|mikrobalpina
这些类胡萝卜素能够传递极地雪藻进行光合作用时的能量,吸收多余的自由基,不仅提高了光合作用的效率,也起到保护的作用。这些深色的色素还能使雪藻细胞周围的冰和雪晶体融化,以获取在其他情况下无法获得的有限营养物质和水分。它合成的其他二次代谢物,如生物聚合物(gallerten)、抗冻糖蛋白(AFGPs)、应激调节剂及具渗透性的氨基酸和糖类,也帮助雪藻更加适应低温的环境。
对于极地雪藻的深入研究,可以启示我们生物如何在低端环境下生存,它也很有可能成为未来第一批派遣到月球或者火星基地的生物。作为一种适应性极强的植物,它可以源源不断的产生星际移民者必须的氧气。不过在今天,它在另外一个领域成为热门的研究对象,那就是皮肤护理与健康。
极地雪藻提取物制取的化妆品|мыло-опт
如今有不少的化妆品厂商对极地雪藻进行了更深入的研究,特别是针对其抗氧化和延缓衰老作用的研究。在细胞层面上,极地雪藻产生了热量限制(Calorie Restriction)的机理,也就是控制能量的转化。而热量限制也是目前已经被验证,是可以延长个体寿命,延缓与衰老相关疾病出现概率的方法。
在目前的试验中,极地雪藻提取物通过模拟热量限制,产生了优化皮肤新陈代谢,从而延长皮肤细胞的寿命的作用。加强了皮肤细胞的防御力、提升抗氧化的应激能力,还刺激了更多胶原蛋白的生成。
其实如今很多的面膜和精华油中,已经使用了极地雪藻提取物作为原料。这也算科学家们在破解“红雪之谜”过程中的一个意外惊喜吧!
参考资料:
[1] Meteored. »Blood snow invades an Antarctic island«. https://www.yourweather.co.uk/news/science/blood-snow-invades-an-antarctic-island-world-weather-news-global-latest-science-environment-antarctica.html
[2] Gorton HL, Vogelmann TC. Ultraviolet radiation and the snow alga Chlamydomonas nivalis (Bauer) Wille. Photochem Photobiol. 2003 Jun;77(6):608-15. doi: 10.1562/0031-8655(2003)077<0608:uratsa>2.0.co;2. PMID: 12870846.
[3] Cvetkovska, M., Hüner, N.P.A. & Smith, D.R. Chilling out: the evolution and diversification of psychrophilic algae with a focus on Chlamydomonadales. Polar Biol 40, 1169–1184 (2017). https://doi.org/10.1007/s00300-016-2045-4
[4] Zhongguo Fei Ai Za Zhi. 2023 Jun 20;26(6):473–478. [Article in Chinese] doi: 10.3779/j.issn.1009-3419.2023.101.19
转自:把科学带回家
来源: 蝌蚪五线谱








