10月19日凌晨
14岁的男孩俊俊在睡眠中
突发四肢抽搐、神志不清
家人紧急将他送往医院
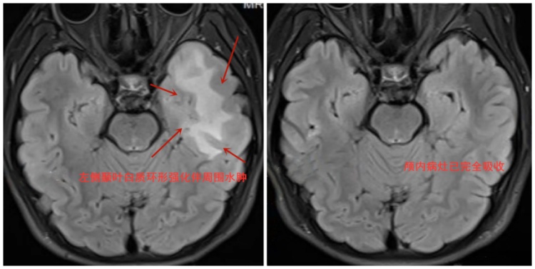
根据检验结果,医生高度怀疑俊俊可能是寄生虫感染侵及颅脑,导致脑部异常放电引起癫痫发作。经完善病原学检查,俊俊确诊为弓形虫感染引发颅内病变。
那么,俊俊究竟是怎样感染弓形虫的?
原来,俊俊家四年前养了一只宠物猫。起初,喂食、清洁等一应琐事俊俊都亲力亲为,后来升入初中学业压力增大,俊俊经常逗猫甚至同寝而眠,做清洁就变得敷衍,猫咪排泄物常常囤积一周,臭味刺鼻了才清理,猫咪很脏了才送去宠物店洗澡。想着家养猫“问题不大”,一家人也没太在意。
医生表示,俊俊感染弓形虫的原因,与其家中长期不及时处置猫的排泄物等行为有关。经一个月的对症驱虫治疗,11月19日,俊俊颅内的病灶已完全吸收,再未发作癫痫。
患者检查影像图片。图源:武汉晚报
猫是弓形虫感染的
主要传染源
弓形虫,是一种肉眼不可见的寄生虫,因其在显微镜下看起来似“弓”形而得名。弓形虫能感染几乎所有恒温动物,人群普遍易感。
猫和猫科动物是弓形虫感染的主要传染源,其排泄的粪便更是滋生弓形虫排卵囊的高危隐患。
感染途径
1.先天性
妇女在怀孕前或妊娠期感染弓形虫,再通过胎盘感染胎儿。
2.获得性
通过与感染弓形虫的猫科动物接触,食用了被其粪便污染的水或食物而感染;
通过食用生的或未煮熟的动物肉、蛋和奶制品等感染;
经破损的皮肤和黏膜感染;
经输血或器官移植感染。
感染症状
1.健康人群感染弓形虫后,大部分为隐性感染,没有明显的临床表现。部分感染者可出现低热、头痛、癫痫、眩晕、浅表淋巴结肿大等,偶见肺炎、胸膜炎、心肌炎。
2.免疫功能缺陷或低下人群感染后症状较严重,可出现全身性弓形虫病,感染者多因并发弓形虫脑炎而死亡。
3.孕妇在妊娠早中期感染,可导致流产、死胎、畸形等。妊娠晚期感染,可导致早产,也可导致新生儿在出生数月至数年后出现脑积水、脑膜脑炎、视力障碍、癫痫等症状。
如何预防弓形虫感染?
注意饮食卫生
生熟食物分开处理,不要使用同一案板;肉类食物充分煮熟后食用。
做好宠物管理
要注意定期驱虫,接触动物排泄物后要用肥皂或洗手液和流动的清水洗手,不少于20秒。
孕妇注意预防
孕妇或备孕妇女家中有宠物猫的,应避免接触家猫粪便,也不要接触外界流浪猫,实施孕前、孕早期弓形虫特异性抗体检测。
国家应急广播提醒
“铲屎官”们
应及时清理宠物排泄物
注意个人卫生
避免弓形虫感染
综合武汉晚报、广东疾控、中国疾控中心、健康安徽
来源: 国家应急广播
