综合:姚界 余姚日报
在只有鸡蛋般大小的胆囊内,居然塞满了上百颗大大小小的结石!日前,余姚市中医医院外科主任金水泉将手术取出的满满一袋胆结石拿给患者及家属时,在场的所有人都惊呆了。
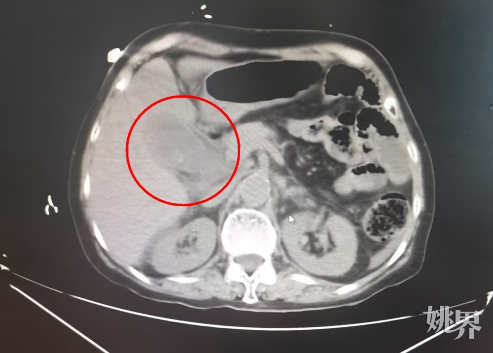
CT显示李奶奶(化姓)胆囊内被密密麻麻的结石塞满
手术当天,77岁的李奶奶(化姓)因腹痛、恶心、呕吐、发热等症状,被家人紧急送往余姚市中医医院急诊救治。经过初步检查,李奶奶被诊断为胆囊结石伴急性胆囊炎。剧烈疼痛让李奶奶脸色苍白、大汗淋漓,甚至一度出现了休克症状。
时间就是生命!考虑到患者已有发热及休克症状,金水泉主任当机立断对李奶奶开展急诊手术治疗。在进行完善的各项术前检查和与家属沟通确认后,李奶奶立刻被推入手术室进行腹腔镜下胆囊切除术。手术过程中,外科团队将切除的胆囊打开一看,只见里面密密麻麻,满是不规则形状的结石,足足有上百颗。
“临床上患者胆结石几颗甚至几十颗的都比较常见,像该患者有上百颗的,确实比较少见。”金水泉主任告诉记者,像李奶奶这类结石体积小、数量多的患者,结石很容易掉入胆管内,继而诱发急性胆管炎、急性胰腺炎,所幸及时手术,将该风险降到了最低。
金水泉主任正在开展腹腔镜下胆囊切除术
术后,李奶奶被迅速转入重症医学科(ICU)开展进一步治疗。经过一周的住院治疗,目前李奶奶已康复出院。
据金水泉主任介绍,胆结石的形成与人体内胆固醇代谢的失衡有关。人体摄入的胆固醇只能通过肝脏代谢形成胆汁,经胆道系统排泄。当胆固醇在胆汁中浓度过高时,便会形成结晶,逐渐聚集形成结石。胆结石多发于女性、肥胖、妊娠、高脂肪饮食、糖尿病、高脂血症等人群,同时,不吃早餐、不爱运动、长期肠外营养、胃肠手术,以及年龄增大、胆道运动功能降低等,浓缩的胆汁长时间得不到排空,也是形成结石的重要因素。
金水泉主任表示,胆结石大多数没有症状,只有当结石堵塞了胆囊管道或者胆总管时,才会出现胆绞痛、恶心、呕吐、上腹部不适、黄疸等症状。
如何预防胆结石
1、养成健康的生活方式:按时吃饭,避免两餐间歇过长导致胆囊中胆汁淤积。
2、均衡饮食:多吃粗粮、新鲜蔬菜,摄入优质蛋白,适量摄入脂肪。
3、加强运动:运动可以提高胆囊肌的收缩力加快胆汁的排空。
4、每天喝够水,促进身体代谢。
5、保持良好心态,养成健康的作息习惯。
6、根据年龄和实际情况,定期开展体检,做到早发现早治疗。
来源: FM93交通之声

