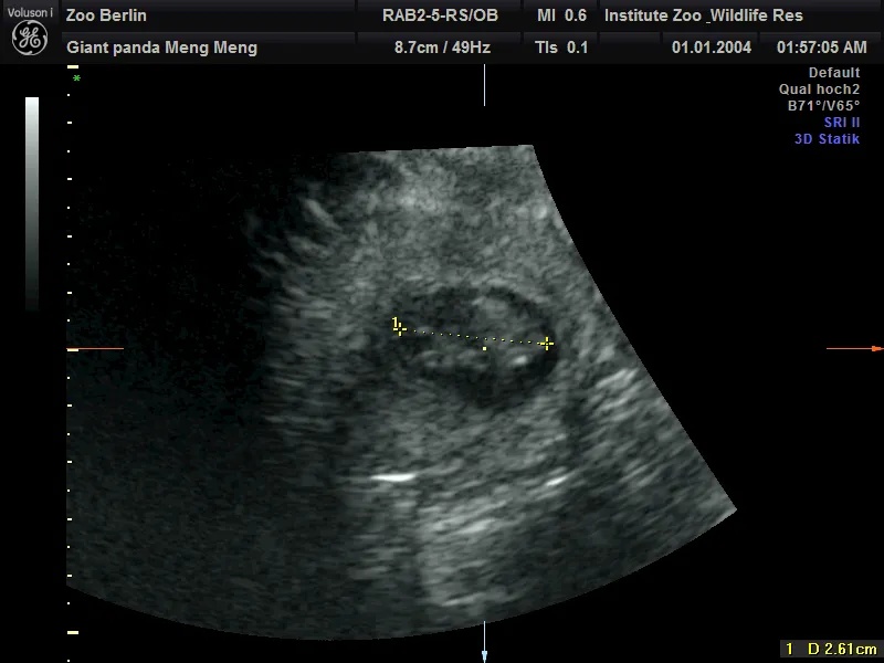
据央视新闻报道,记者获悉,德国柏林动物园当地时间13日宣布,11岁的旅德大熊猫“梦梦”再次怀上双胞胎。
在园方11日上午进行的超声检查中,工作人员清楚地检测到两个熊猫胎儿的心跳。目前两个胎儿身长约2.5厘米。
柏林动物园介绍,根据目前胚胎的大小,如果一切顺利的话,大熊猫双胞胎预计将于8月底出生。
柏林动物园在声明中强调,目前仍然是妊娠的早期阶段,园方将通过超声检查和激素分析密切追踪胚胎的发育情况、精准确定出生时间。
大熊猫“梦梦”于2017年抵达德国,并在2019年成功诞下双胞胎“梦想”“梦圆”。
转自丨央视新闻客户端
来源: 文汇报
