李女士78岁的父亲半年前逐渐出现走路不稳、反应变慢的情况,起初,鉴于老人年龄较大,家人并没有给予重视,但老人的症状逐渐加重,出现行走困难、记忆力下降、反应变慢和尿失禁。最近,老人到医院就诊,CT检查提示脑积水。日常生活中,人们可能会听到过“脑积水”这个词,但真正了解它的人并不多,特别是正压性脑积水这种老年人较为常见的疾病,往往会被忽视。在门诊中,医生遇到的老年人脑积水,多是正压性脑积水。
问题1:什么是正压性脑积水?
正压性脑积水在医学上被称为正常压力脑积水,是一种逐渐进展的慢性神经系统疾病,可出现于任何年龄阶段,好发于老年人群。该病的特征是脑脊液在脑室系统异常积聚增多,尽管脑室压力保持在正常范围内,但脑脊液的积聚导致脑室扩张。
人的大脑就像一座城市,而脑脊液就是这座城市里的车辆。正常情况下,车辆交通是顺畅无阻的,但当某些原因导致“交通堵塞”时,车辆(脑脊液)就会在某些地方积聚起来,形成脑积水。而正压性脑积水,就是在没有明显脑室压力增高情况下发生的“交通堵塞”。积聚的脑脊液压迫周围正常脑组织,导致大脑功能受影响,如治疗不及时,会导致痴呆、重度肢体运动障碍等后果,严重威胁老年人健康。
问题2:为什么会出现正压性脑积水?
脑脊液是大脑和脊髓周围的液体,于脑室中产生,并通过特定的通道循环流动,最终被脑内的特殊结构——蛛网膜颗粒吸收。随着年龄的增长,人们的身体会发生很多变化,大脑也不例外。老年人的大脑可能会因为各种原因出现萎缩,脑室系统会因此而扩大。此外,头部外伤、脑梗或手术等因素都可能导致老年人出现脑积水吸收功能障碍,影响脑脊液的正常流动。
目前正压性脑积水确切病因尚不完全清楚,可能是脑梗死、脑膜炎、脑出血、脑外伤等疾病的并发症,导致脑脊液吸收受阻,从而在脑室中积聚。然而,更多的正压性脑积水没有明确病因和诱因,被称为特发性正压脑积水。
问题3:正压性脑积水有哪些典型表现?
正压性脑积水典型表现包括:步态异常,表现为动作迟缓,患者出现行走困难,如起步时感觉迈不开腿,步态僵硬、缓慢或不协调,严重者不能行走;认知功能下降,表现为记忆力减退,反应变慢,注意力下降,严重者可能导致痴呆;尿失禁,表现为小便控制能力下降,如小便频繁或尿失禁。以上症状被称为正压性脑积水“三联征”,但并非所有患者都会出现以上三个症状。另有部分患者会出现眩晕、间断发生一过性意识障碍、眼球震颤、便秘、视物模糊、癫痫等。出现以上任何症状都应及时到医院就诊。
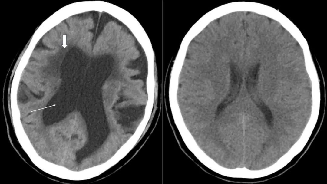
上图为正压性脑积水患者CT表现,可见脑室明显扩大(细箭头为脑室),脑室周围脑组织可见显著水肿(粗箭头为脑室旁水肿);右图为正常成人头部CT,脑室无扩张。
问题4:正压性脑积水需要做哪些常见检查?
医生在门诊中遇到此类患者时,首先会详细询问症状开始时间、进展情况以及可能的诱因等。针对脑积水,头部CT或磁共振检查尤为重要,可以直观观察脑室的大小和形态,以及周围脑组织受压情况,严重者可见脑室旁组织水肿,医生可根据影像学表现评估患者脑积水严重程度。治疗前还需要评估患者的运动功能,并进行神经心理测试(包括认知功能、记忆力、注意力、执行功能等)。
另外,对正压性脑积水患者,腰椎穿刺试验也很有必要。腰椎穿刺是一种医学诊断手段,通过在下背部插入细针至椎管抽取脑脊液来检查,能帮助医生诊断和治疗多种中枢神经系统疾病。一方面,可以通过腰椎穿刺来测量患者的颅压,判定颅内压是否升高;另一方面,腰穿后可以释放脑脊液,通过比较放液前和放液后患者临床症状的改善情况,为后续治疗提供重要依据。
问题5:脑积水有哪些治疗方法?
脑积水的治疗包括药物治疗和手术治疗。手术治疗见效快,但部分手术不耐受老年人,或早期轻度脑积水患者,可尝试药物治疗,常用药物包括,乙酰唑胺片、醋甲唑胺片等减少脑脊液分泌的药物,可通过抑制碳酸酐酶活性减少脉络丛组织分泌脑脊液;甘露醇和甘油果糖等脱水剂,可通过增加血浆渗透压,促使脑脊液向血浆转移,减少脑脊液的积聚;呋塞米、氢氯噻嗪等利尿剂,可通过增多尿液生成,间接增加血浆渗透压,促进脑脊液排出。以上药物通过直接或间接作用减少颅内脑脊液,从而起到降低颅内压的作用,均需在神经内外科医生指导下应用。
针对脑积水有多种手术方式,包括脑室和脑池造瘘术、脑室分流术、脉络丛切除/电灼术、导水管成形扩张术等,脑室分流术较适用于正压性脑积水患者。脑室分流术又包括脑室腹腔分流术、脑室心房分流术、脑室静脉窦分流术等多种术式,其中脑室腹腔分流术对多数患者尤其是老年人来说最安全可靠。
脑室腹腔分流术大致原理是应用手术手段减轻脑脊液在脑室内的积聚,通过分流装置将脑脊液从脑室引流到腹腔中,由腹膜吸收多余的脑脊液。这种手术方式应用广泛,技术成熟,操作简单,手术时间短,安全性比较高。随着科学技术的进步,目前可调压分流管在临床中被广泛应用,术后可以针对每位患者术前压力和症状改善情况,进行个体化压力设置,保障了手术治疗的有效性和安全性。
问题6:正压性脑积水患者日常如何护理?
治疗过程中及治疗后,患者需要进行日常护理包括医疗护理,定期到医院进行影像学复查、分流系统功能评测,症状较重的患者需在专业的医疗机构或请医疗护理人员进行专科护理;康复治疗,专业医疗康复及日常康复护理对改善步态和恢复日常生活质量尤为重要。
正压性脑积水患者的预后取决于多种因素,包括病情的严重程度,治疗的时机和患者的整体健康状态。对于早期症状较轻度的患者,如诊断和治疗比较及时,可以显著改善症状,提高生活质量。然而,如果患者病情已经严重进展,影像学检查出现严重脑水肿,甚至出现痴呆,这时患者脑组织损害已不可逆,即使再行分流手术治疗,患者的认知和运动等功能也很难恢复。
正压性脑积水的研究正在不断进展,科研工作者正在探索更有效的治疗方法和更精确的诊疗手段。已有科研团队通过研究脑脊液在中枢神经系统循环的生物物理学特性,对分流装置进行优化,以期待进一步提高个体化治疗效果,降低并发症发生率;另有研究探索如何通过药物或其他非手术手段更有效地改善脑脊液的吸收。
正压性脑积水是可以治疗的,但需要及时诊断和适当治疗,老年人出现走路不稳、认知功能下降和小便控制差的情况时要及时到医院就诊。通过及时的药物或手术室治疗,综合的医疗护理、康复治疗及心理支持,使很多患者的生活质量得到改善。随着医学研究的进展,未来可能会出现更多有效的治疗方法,为患者带来更多希望。
文:首都医科大学附属北京天坛医院神经外科副主任医师 田凯兵
来源: 健康报
