在云南部分地区,
有食用生食的饮食习惯,
不少人喜欢吃生腌、鱼生等食物。
医生提醒,这些食物虽鲜嫩、开胃,
但有感染寄生虫的隐患!
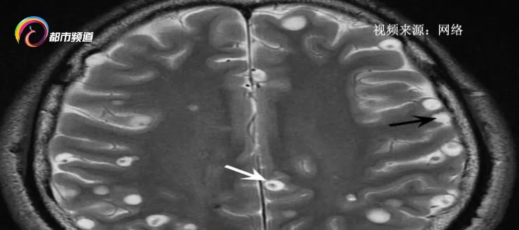
昆明市第三人民医院感染性疾病首席专家 黄瑛:“有一个病人,他是头痛来医院,检查时看到脑子里有一圈一圈的东西。一开始,我们说是不是结核性脑膜炎,再进一步看就是脑囊虫病。”
患者是否是寄生虫感染?医生又进一步检查,结果把见多识广的医生都吓了一跳。
昆明市第三人民医院感染性疾病首席专家 黄瑛:“做X光片的时候,就发现他的肌肉里有很多梭形的东西。再做CT的时候,一个切面就吓着人了,里面是密密麻麻的,在肌肉里可以看到囊尾蚴梭状的样子,非常吓人。”
经过检查,这位患者最终确诊感染了绦虫,医生为他进行了驱虫治疗。医生介绍,绦虫是一种人兽共患的疾病,人食用生的或未熟透的含绦虫的猪肉、牛肉就可能被感染。
昆明市第三人民医院感染性疾病首席专家 黄瑛:“绦虫主要寄生在肠腔,比如十二指肠、空肠里。绦虫的头,是摄取营养物质的部位,会造成人体消化道粘膜被损害,造成营养不良。”
囊尾蚴是绦虫的幼虫,它的危害比绦虫更大,可寄生在人体各组织,如脑、眼、皮下组织及肌肉等,其中以侵犯脑部最为严重。
昆明市第三人民医院感染性疾病首席专家 黄瑛:“猪带绦虫的囊尾蚴可能会跑到脑子里,形成脑囊虫病。脑囊虫病就很厉害了,特别是囊虫在脑里死掉后,会释放炎症因子,和身体免疫发生反应,引起局部的脑水肿。水肿后,改变大脑的生理结构,非常危险,像癫痫的发作,有的人可能会有生命危险。”
医生提醒,预防绦虫感染,最简单有效的方法就是避免食用生的猪肉和牛肉。另一种在临床上较为典型的寄生虫感染是肝吸虫病。
昆明市第三人民医院感染性疾病首席专家 黄瑛:“在临床上有病人发热,做CT做到肝的时候,一下发现里面怎么有脓肿,进一步对脓液分析、化验,最后诊断为肝吸虫病。”
肝吸虫是一种在淡水鱼中最常见的致病寄生虫,人主要通过生食或半生食含肝吸虫幼虫的淡水鱼或虾而感染,如食用"鱼生"、"鱼生粥"、"烫鱼片"等。
昆明市第三人民医院感染性疾病首席专家 黄瑛:“肝吸虫在肝脏里形成肝脓肿,如果感染严重的话,就会导致感染性休克,最后可能有生命危险。”
医生提醒,吃淡水鱼虾一定要煮熟,切过鱼虾的砧板也要洗干净。此外,医院还收治过因食用了生或不熟的淡水虾、蟹,而导致的肺吸虫感染。
昆明市第三人民医院感染性疾病首席专家 黄瑛:“肺吸虫会到内脏,比如到肺上,形成的病灶和肺结核的空洞非常相似,还要进行鉴别。还有到胸膜里引起胸膜炎症,还会到大脑里,它的危害非常大。”
除了生肉、淡水鱼虾,医生表示,生食海产品也有感染寄生虫的风险。最常见的就是异尖线虫,主要寄生在鳕鱼、鲱鱼、大马哈鱼等鱼种,感染后会引起恶心、呕吐、腹泻等症状。大家常用的生腌方式,如加入白酒、芥末、醋等调料,不能杀死异尖线虫。医生建议,大家尽量避免生食海产品。
记者:方圆 马炽韬
来源: YNTV2都市条形码



