“医生,我娃娃最近一直嗜睡、不爱动,还爱哭闹,不爱吃东西,一天天越来越严重,请帮忙找找原因。 ”2024年5月,一位焦急的母亲带着2岁的儿子小明(化名)来到重医附属儿童医院就诊,当时,孩子出现“精神萎靡、乏力”等症状已经10天,且出现间断发热2天。
儿童医院神经内科收治小明后对他做了系列检查,赫然在其脑内发现了寄生虫!
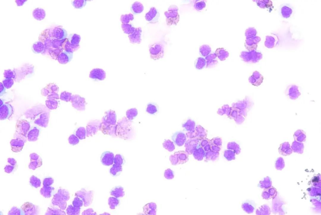
“孩子血常规中的嗜酸性粒细胞百分比高达22%,明显高于正常水平9%。”该院神经内科副主任李秀娟介绍,结合孩子神萎、嗜睡、发热等表现,团队进一步为其做了脑脊液及头颅磁共振、胸腹部CT等检查,并检测了血液及脑脊液的寄生虫抗体,检查结果高度提示一种疾病——脑囊虫病。
刚就诊时患儿脑脊液里增多的细胞仍然主要为嗜酸性粒细胞
李秀娟主任介绍,囊虫病又称囊尾蚴病,是由猪带绦虫的幼虫寄生于人体组织内引起的疾病,脑是最容易受累的部位之一,占囊虫病的60%~80%。
脑囊虫病是中枢神经系统最常见、最严重的寄生虫病,可造成严重的临床损害,是引起继发性癫痫的最常见的原因之一。“进食含猪绦虫幼虫的生水或未煮熟食物后,幼虫就可能通过血液循环进入大脑。”
专家团队为小明制定了精细化的诊治方案,经过一段时间的对症治疗,孩子血嗜酸性粒细胞、颅内病变、脑脊液、肺部病变均基本恢复正常,脑脊液里嗜酸细胞也基本消失,血和脑脊液的脑囊虫抗体也完全转阴,孩子目前逐步康复。
小明究竟是如何感染脑囊虫的呢?医生详细询问后发现,孩子家虽然居住在城镇,父母老人也十分注意孩子的卫生,但孩子家周围有一片菜地,菜地里的蔬菜都是以农家肥浇灌的,孩子常常去菜地玩耍,有喜欢咬手、吃手指的习惯,专家推测,这可能是导致孩子感染脑囊虫的原因。
专家提醒,家长要帮助儿童养成良好的卫生习惯,不要生食未洗干净的瓜果、蔬菜,不要喝生水,进食前后一定要洗手,避免“病从口入”。
重庆之声记者 向含笑
来源: 重庆之声

