智齿,是我们的第三颗大牙,一般在十八岁左右往外长。这个年龄期的人正在长智慧、学本领,所以将这个时期长出的牙齿称为“智齿”。
智齿,一定要拔吗?
如果,智齿能完全正常长出来,且能够正常行使咀嚼功能,是可以保留的。
但是,绝大多数情况,智齿都是要拔的。
随着人类的进化,吃的食物越来越精细,咀嚼能力越来越下降,所以现代人的颌骨逐渐退化导致没有足够的空间容纳这么多牙齿。
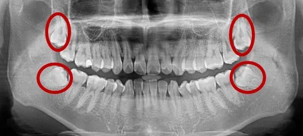
而智齿长出来最晚,先长出来的哥哥姐姐们,先到先得,把本来就位置不富裕的上下颌骨占得差不多了,这就导致最小的智齿兄弟没有足够的容身之所,故经常东倒西歪,倒着挤着前面的大牙,成为了“阻生智齿”。
东倒西歪的智齿是个隐患
一方面由于它没有足够的空间长出来,靠里侧会有部分牙龈覆盖包裹,这容易积存食物残渣导致周围软组织发炎,引起面部肿痛,开口受限,发热等不适。
另一方面,由于位置太靠后,不易清洁,容易龋坏,就是我们俗称的“虫牙”,引起冷热刺激不适。
还有一些倒着的智齿,顶着前面的大牙,不仅长期塞牙,滋生细菌,甚至还把前面的大牙顶坏,导致前面的大牙也无法保留。
微创手术,不用怕
很多人可能饱受智齿的困扰,但由于或多或少听说过身边朋友拔智齿时,“又敲又凿、拔了一两个小时、术后肿成大饼脸”的悲惨经历,进而心生恐惧,不敢看医生、拔智齿。
其实大家不用这么害怕,现在我们拔智齿都是在效果非常好的局部麻药下微创进行的。微创技术和理念贯穿整个手术,会尽量减少术中的损伤,这样术后的肿痛反应就会相对较轻。
我们常说,手术最疼的时候,就是打麻药扎针那两下,术中仅有少量的不适,术后也可以吃消炎止疼药来减轻术后的不适。
作者简介
黎凯歌 主治医师
北京口腔医院王府井院区口腔综合科
长智齿不用害怕,几乎每个人都会长的。
一定要请医生检查,拍片来判断是否可以正常萌出。如果不能在正常位置萌出,绝大多数的智齿建议尽早拔掉,防患于未然。
来源: 北京口腔医院


