今天,
“姑娘清理发霉衣柜肺部长霉菌”
的话题冲上热搜第一
引发网友热议
反复高烧,硬抗3天
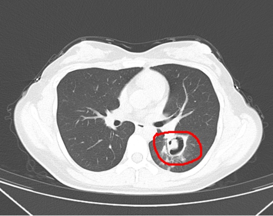
肺部长出一个个“小树芽”
一周前,家住杭州的王女士(化名)出现咳嗽、乏力,还发热。刚开始,她以为是普通的感冒,自己在家吃点退烧药就行,没想到扛了三天却仍然反复高热,最高到了40℃。
接诊医生从肺部CT上发现,王女士的肺部长出了一个个“小树芽”,怀疑是霉菌性肺炎。
霉菌为何会长进肺里?
她想起来一个细节
一个月前,王女士发现家中衣柜出现霉斑,便对发霉的部位做了清扫,但没有做好防护。
清扫之后,她就出现阵发性咳嗽,但是程度比较轻微,所以未引起重视。
为了进一步确诊病情,周翔为王女士做了纤维支气管镜检查,果然发现气道壁上缀着大量白色菌斑,化验后确认是曲霉菌。
医生判断,这些灰尘中很有可能混入了各种霉菌。王女士平时喜欢昼夜开窗通风,正值南方五月份气候回暖,阴雨不断,空气潮湿是利于霉菌生长的天然条件。霉菌在人体内可引发肺部、口腔、皮肤甚至全身感染。
霉菌性肺炎离我们有多远?
其实,随手一搜,
可以发现真实案例并不少,比如:
大扫除后,中招了——
打扫储藏间后,中招了——
整理长霉衣物后,中招了——
上述场景,我们都再熟悉不过,
尤其是地处潮湿的南方,
特别容易滋生霉菌。
但其实不用太焦虑,
免疫正常人群在免疫屏障保护下,
一般不会感染曲霉菌。
不过,在受凉、疲劳、感冒等情况下
患上肺真菌病的风险也会增加。
致敏、致感染、致癌……
霉菌的危害超出你想象
霉菌感染导致的肺炎,
临床症状往往并不典型,
常见如咳嗽、发热、胸闷等,
很容易和流感、感冒等混淆。
除了导致霉菌性感染等疾病,
霉菌通过皮肤接触、呼吸道吸入、
食物摄入等途径进入人体,
破坏免疫系统,
还会使人出现皮肤过敏、哮喘等疾病,
严重的甚至可能导致癌症。
霉菌“家族”中,
大约有200多种霉菌可致癌,
比如黄曲霉菌产生的黄曲霉毒素B1,
其毒性是砒霜68倍!
而孕妇如果长期生活在
霉菌数量较多的环境里,
胎儿畸形或流产的风险大大增加。
作为一种常见过敏原,
霉菌在南方地区尤为常见。
有过敏史的人群,
吸入一定量霉菌孢子或菌丝,
随着霉菌浓度升高、吸入量增多,
病症会逐渐加重;
而没有过敏史的人群也应警惕,
逐步吸入大量霉菌,
也可导致霉菌过敏性哮喘突然发作。
专家介绍,
从诱因来看,
霉菌成为儿童过敏性哮喘的重要诱因,
甚至超过了尘螨。
家中这些发霉“重灾区”
最容易被忽略
有生活经验人都知道
在什么位置最容易发现霉菌:
马桶、洗手池、浴帘、毛巾……
除此之外,
霉菌还活跃在一些
让人意想不到的地方……
1
卫生间
卫生间满足了霉菌对于“美好家园”的所有“幻想”——潮湿、温暖、阴暗。
除了瓷砖缝隙、马桶、洗手池、浴缸等卫生死角,还要特别关注牙刷、毛巾、花洒、排气扇等容易被忽略的位置。
这样应对:
清洁卫生间,从相对干净的地方清洁起,如先整理洗脸池、台面,再清洁浴缸,然后清洁马桶,最后再做地面清扫,避免“污染交叉感染”。
清除室内霉菌,可以使用经稀释的消毒水,或3%的过氧化氢,或水与白醋按照1:1调配,或专业的溶菌酶、除霉剂进行清洁。
另外,建议牙刷、毛巾使用三个月应更换;定期清洁消毒花洒;清洁马桶也要关注其周围、边缘处、马桶盖以及水箱等,都应该消毒到位。
2
冰箱
冰箱温度低,还不得把霉菌冻死?
没想到吧,霉菌的孢子生命力极其顽强,即使在零下10°C的换季,孢子也不会死亡,等到温度上升,它就立马恢复繁殖活力。
冰箱最容易被忽略的藏污点就是冰箱门,尤其是门上的密封橡胶条处,容易藏大量细菌如链格孢、青霉、黄曲霉、烟曲霉等。
这样应对:
用吸水性强的纱布或纸绕在叉子上,蘸一蘸酒精或专门的除霉剂,沿着冰箱门缝隙擦拭清除霉菌。另外,冰箱里坏了的食物也要及时清理。
3
洗衣机
洗衣机的桶身也是霉菌的“温床”——恒温、潮湿且卫生死角多,尤其容易聚集在滚筒洗衣机的门圈胶皮层、内筒、洗涤剂盒、排水管等位置。
这样应对:
建议定期使用桶自洁功能,并请专人拆洗内筒。
4
空调、加湿器
长期未拆洗的空调散热片,霉菌总数不容忽视,空调吹出的风携带病菌进入人体呼吸道,便有可能引发感冒、肺炎等呼吸系统疾病。
加湿器内的水如果不定期更换,也容易滋生霉菌。此外,如果室内空气湿度过高,更能促进霉菌的繁殖。
这样应对:
在换季开空调之前,清洁一下空调滤网。另外,不建议整天开着加湿器,要定期更换干净的水。
5
绿植
水培植物的保鲜离不开水,再加上其根茎大多有切口,一旦腐烂就极易成为霉菌的栖身地。
而盆栽植物如果长期放在不通风的地方,土壤潮湿,加上人工定期施肥,都是在给霉菌创造生长环境。
这样应对:
尽量别在封闭阳台养绿植,如要在室内放置绿植,需保证室内通风。霉菌过敏人群尽量少养绿植。
此外,
如果肉眼没有发现小霉点,
也可以从几个方面来揪出霉菌的“踪迹”:
①屋内闻到霉味,说明霉菌孢子在漂浮;
②毛巾有馊味、变得黏腻;
③家里的油炸、油脂食物,暴露在空气中一会就颜色变深、闻起来一股“口水味”,也可能是空气中霉菌多的表现;
④出现不敏原因的鼻塞、流泪、打喷嚏,可能是霉菌孢子诱发呼吸道过敏。
最后,
平时注意锻炼身体,
养成良好生活习惯,以增强免疫力,
要注意个人卫生和环境卫生,
保持室内通风干燥,
避免接触可能污染的物品,
清除霉菌的时候注意戴口罩,戴手套,
不要给有害的霉菌“可乘之机”。
综合:健康杭州、广州日报
来源: 广东台今日关注





