今天一早,
“杭州姑娘清理发霉衣柜肺部长霉菌”
的话题冲上微博热搜第一
引发网友热议
事情是这样的
家住杭州的王女士(化名)
怎么也没想到
自己只不过在家打扫了卫生
居然住进了医院
一查肺部竟然“发霉”了
反复高烧,硬扛3天
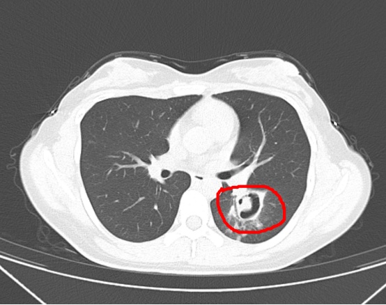
肺部长出一个个“小树芽”
一周前,家住杭州的王女士(化名)出现咳嗽、乏力,还发热。
刚开始,她以为是普通的感冒,自己在家吃点退烧药就行,没想到扛了三天却仍然反复高热,最高到了40℃。
朋友一看不妙,赶紧将她送往附近的杭州师范大学附属医院。
接诊的感染性疾病科(肝病科)周翔主任医师从肺部CT上发现,王女士的肺部长出了一个个“小树芽”,怀疑是霉菌性肺炎。
霉菌为何会长进肺里?
她想起来一个细节
一个月前,王女士发现家中衣柜出现霉斑,便对发霉的部位作了清扫,但没有做好防护。
清扫之后,她就出现阵发性咳嗽,但是程度比较轻微,所以未引起重视。
为了进一步确诊病情,周翔为王女士做了纤维支气管镜检查,果然发现气道壁上缀着大量白色菌斑,化验后确认是曲霉菌。
周翔判断,这些灰尘中很有可能混入了各种霉菌。王女士平时喜欢昼夜开窗通风,正值南方5月份天气回暖,阴雨不断,空气潮湿是利于霉菌生长的天然条件。霉菌在人体内可引发肺部、口腔、皮肤甚至全身感染。过敏体质的人群,吸入体内后还会引发过敏反应。
霉菌究竟有哪些危害?
如何远离霉菌?
霉菌,是能够引起霉变反应的一种特殊真菌,被世界卫生组织列入I类致癌物。霉菌是一种在温暖潮湿环境中迅速繁殖的微生物,顶层住房吊顶的角落、空调附近墙面、水池下面、马桶周围等处都易滋生。
国际公认的致癌物
出现胸背疼痛、反复咳嗽症状,可能吸入了大量霉菌而引起“肺部真菌感染”。这个时候,家里往往会出现大量霉菌。
北京协和医院变态反应科副主任医师王良录在一档节目中表示,霉菌是一种很强的致癌物,被世界卫生组织列入一等致癌物,毒性是砒霜的68倍。霉菌有致畸的能力,致畸主要是针对孕妇,如果孕妇比较多接触这种毒素,有可能引起胎儿的畸形甚至导致流产,在动物实验中发现这种物质能够引起小鼠的畸形和流产。此外,霉菌还会致过敏,它引起的严重过敏反应可以导致死亡。
王良录介绍,常见的霉菌有:链格孢、枝孢,在北京空气中最常见,可引起过敏、过敏性鼻炎,甚至哮喘;青霉,在发霉的食物上常见,可以引起呼吸道过敏;黄曲霉,在发霉的粮食中常见,例如粮食里的黄色的米粒、有哈喇味发苦的花生米当中都含黄曲霉,可引起肝癌;烟曲霉,可引起过敏、感染、真菌性肺炎。
一项发表在《协和医学杂志》上的我国霉菌感染流行病学分析的多中心回顾性研究显示,以曲霉属引起的感染占比最高为84.8%,其次是镰刀菌属、毛霉目和赛多孢霉等霉菌造成的感染,在霉菌引起的常见感染性疾病中以下呼吸道、耳部、眼部和皮肤感染较多见。
图片来源:协和医学杂志微信公众号
藏匿霉菌
主要有三个意想不到的区域
南方城市由于气候潮湿,容易滋生霉菌。但事实上,作为自然环境的一部分,霉菌无处不在。在温暖干燥的情况下,霉菌只在空气中飘着。一旦它遇到了水,就会瞬间活过来,并不断繁殖。
“全球变暖,再加上碳排放导致的二氧化碳浓度高的环境,对霉菌生长也是有利的。“北京大学人民医院呼吸内科主任医师马艳良曾在接受媒体采访时说。
据了解,日常许多家居用品都能给霉菌提供养分,帮助霉菌安家落户,例如木料、墙纸、石膏板、地毯、织物等。当湿度>75%,温度在20摄氏度至35摄氏度之间,并且有有机质作为生长的营养基础,霉菌孢子会长出菌丝或分支。霉菌一边生长,一边还散发出挥发性的有机化合物,也就是我们能够闻到的霉味。
王良录提示,藏匿霉菌主要有三个意想不到的区域,第一个就是调料,第二个就是冰箱的密封条,第三个就是洗衣机。
老年患者等人群
要尽量减少霉菌暴露
相关研究显示,血液恶性肿瘤患者、器官移植患者、肿瘤化疗患者、长期使用免疫抑制剂者、长期使用广谱抗菌药物患者、重症监护病房患者、老年患者以及重症病毒或细菌感染者等,这类人群患病风险高,因此要尽量减少霉菌暴露。
霉菌感染导致的临床症状往往并不典型,仅仅依靠症状并不能确定是否感染了霉菌。专家介绍,对付霉菌首选培养,如果有肺部感染症状,最好的送检标本是肺泡灌洗液、纤支镜痰标本的培养,能较快真实地培养出致病菌。此外,还包括血清抗体检测、呼吸道病原体靶向测序和质谱鉴定和影像学检查。
有哪些措施可以预防感染霉菌?专家建议,大家在打扫卫生的过程中尽量戴上口罩,穿好长衣长裤,打扫卫生完毕,尽快更换衣物,避免与霉菌或者患者直接接触,降低空气传播的风险。注意个人和环境的清洁卫生,避免或少接触霉变的食物或物品。在衣橱、鞋柜、书柜、洗手间放一些防虫防霉制品,例如樟脑丸、活性炭等。
饮食方面也要注意,除了把食物烧熟煮透外还需在适当的温度下保存,当食物霉变时,应果断丢弃。同时多运动,提高自身免疫力,保持良好的生活习惯,积极治疗慢性疾病。
综合 | 健康杭州、杭州电视台综合频道、杭州日报、中国新闻网、环球时报
话题主持 | 羊城晚报记者 艾渝
来源: 羊城晚报



