作为一名广东靓仔
深圳的王先生对拖鞋爱得深沉
可就在去年年底
穿起人字拖来开始不得劲了
人走了,人字拖不在
每走几步右脚就夹不住拖鞋了
脚底还有麻木感
几个月后,王先生的症状越来越严重,整条右腿都使不上劲儿了,这才来到医院就诊。
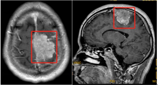
磁共振下的巨大肿瘤
经过详细检查,发现他的颅内矢状窦旁有一个巨大的脑膜瘤,尺寸竟达到了5.6厘米。这个肿瘤对神经系统造成了压迫,是导致他出现肢体无力和感觉障碍的根源。
与家属商议后,王先生决定接受手术。3周后,王先生顺利出院回归正常生活。
知多D:“脑膜瘤”的症状
脑膜瘤是一种常见的中枢神经系统原发性肿瘤,占颅内肿瘤的15%~20%,好发于中年女性,平均高发年龄为45岁。它们起源于脑膜,即大脑和脊髓表面的覆膜。
脑膜瘤通常为良性肿瘤,可以发生在任何有硬脑膜的地方,最常见的部位包括矢状窦旁、大脑凸面、蝶骨嵴、鞍结节等。
脑膜瘤的症状主要取决于肿瘤的位置。多数脑膜瘤生长缓慢,患病程长,者往往无明显症状,很多是在颅脑影像学检查中偶然发现的。当瘤体增大压迫周围脑组织时,才引起相应的症状和体征。
常以头痛和癫痫为首发症状。
颅内压升高的表现:头痛、恶心、呕吐等,任何部位的脑膜瘤都可能引起头痛,这是由于肿瘤增大压迫或侵蚀周围脑组织或引起颅内压增高导致。
癫痫:运动皮层等功能区的脑膜瘤可刺激周围神经细胞导致全身性和部分性癫痫发作。
脑功能障碍:表现为头晕、记忆力减退、神态呆钝、反应迟缓、行走不稳、手足震颤等,这是当肿瘤体积巨大时可能出现的临床表现。
颅神经功能障碍:表现为复视、面部麻木、饮水或进食呛咳、吞咽困难,这也是颅底脑膜瘤的典型表现。
运动、感觉异常及失语症:可能由运动区、感觉皮层区或语言功能区的脑膜瘤引起。
听力下降、记忆力丧失、嗅觉丧失:可能是由于肿瘤生长压迫听神经、嗅神经。
转自:深圳市龙华区人民医院
来源: 小强热线

