当前,长江下游地区史前新石器人类历史只有7000余年的考古记录,与周边钱塘江、长江中游及淮河流域距今10000—8000年的众多史前文化形成鲜明反差。这段空白或将被填补——近日,中国科学院南京地质古生物研究所科研人员舒军武、毛礼米和博士生葛井莲最新研究发现,至少在距今8200年前,南京紫金山山麓就已有早期人类活动。这批早期“南京人”基于依山傍水的有利地势,过着采集和渔猎的生活,并且很可能吃上了“稻米饭”,从而将长江下游地区新石器人类活动向前推进了至少1200年。
记者了解到,大约7年前,舒军武在经过南京地铁6号线后宰门一处施工围挡时,看到工人正忙着进行地质勘探打钻,钻出来的土壤看起来相对南京地区陆上土壤要偏黑细腻得多、且分层明显,肉眼还能看见少量的植物残体。“这泥土不简单,可能是湖体的泥巴。”出于职业敏感性和好奇心,舒军武如获至宝,征得施工方同意,取得部分泥土带回研究所,先进行碳-14年代测年。“一测果然不简单,钻孔最深处的泥显示有距今1万年‘高龄’了。结合史书记载和地理位置,我们推断这些泥巴可能出自古燕雀湖,藏有大量古环境信息。长江下游一万年前的古湖十分少见,我立马就和施工方说明了泥土的研究价值,把剩余的泥巴都用拖车拉了回来。”
最终,研究团队借助这些泥巴,经过实验提取分析,获取了一份距今10100至7230年前的“花粉档案”。再结合精确的碳-14年代数据和详细的花粉研究,团队发现“档案”中的花粉种类和含量随着时间发展呈现明显的阶段性变化特点,从而推导出约1万年前至7000年前紫金山植被、环境演变规律;“花粉档案”中发现的水稻型花粉,更是揭示了早期人类经济活动的重要信息。
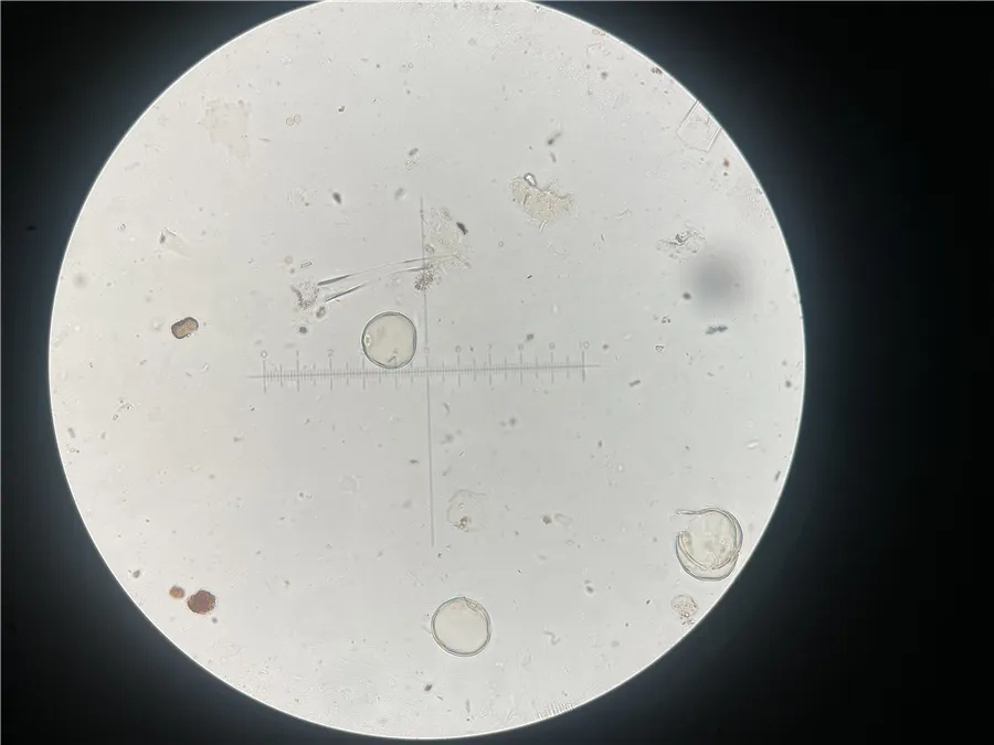
显微镜下的水稻型花粉
“从1万年前到8800年前,花粉中落叶栎(橡子树)占绝大多数,这与现今北方落叶林南部相似,说明当时紫金山气候较现在偏干凉。从距今8200年起,喜暖湿的标志性树种—常绿栎属开始明显扩张,指示当时夏季风明显转强,环境变得温暖湿润了。这一阶段,花粉中跟人类活动相关的花粉信号露出了蛛丝马迹,如原生森林受到了人类活动等干扰,草本植物花粉也多了,尤其是直径大于38微米的水稻型花粉,从之前的几乎没有变为了明显持续增多。”
“在南方,非水稻类的禾草花粉即使偶有大个,但总体仍体积偏小,直径一般都小于38微米。而经人类驯化的水稻,花粉体积偏大,水稻花粉直径一般在38微米以上。”结合此前发现的同时期六合水稻叶子“结石”(植硅体)发现,舒军武和团队推测,距今8200年起,紫金山气候转变为相对稳定的暖湿优越气候和丰富的丘陵森林资源,吸引着古代先民进驻秦淮河流域、紫金山山麓从事采集和稻作等生产活动。这一结论,将长江下游地区新石器人类活动向前推进了至少1200年(甚至更早),填补了长江下游早期新石器文化时间段(距今10000年至8000年)的空白。
这一推测,不仅有研究团队发现的花粉证据,还有其他潜在的逻辑论证。舒军武笑道,团队论文发表后,不少同仁打电话来进一步询问情况,因此他最近没少“复盘”整个逻辑链:水稻是我国第一大粮食作物,大量考古证据表明,长江中下游地区是我国稻作农业起源中心和摇篮地,在距今1万年至9000年前,长江中下游的人类就开始驯化水稻,此后相关驯化技术呈现由南向北传播扩散态势。再细看南京的史前“朋友圈”,南边的浙江中部上山文化遗址群,西边长江中游的湖南彭头山和八十垱遗址,苏北宿迁顺山集和韩井遗址等,都直接发现了水稻踪迹,时间上都落在距今约为1万年至8000年。“那么,地理位置位于中间的南京,怎么可能没有呢?8200年前,气候学上还正好是全球性气候变暖的关键节点,业内一般称为‘中全新世气候适宜期’,考古学上也是中华文明起源和发展的加速阶段。”
不过,舒军武也坦言,团队的工作虽具有一定的前瞻性,但目前尚缺少考古意义上如陶器、古墓和房址等直接的人类活动证据。“这次研究的花粉,出自深埋地下约30米的古燕雀湖泥土中。由于湖体被深埋,8200年前的地层如今在我们脚下16米多的地方,我们只能大量钻孔取泥慢慢研究,而要在城区大规模开挖去寻找陶片等直接证据是不现实的。不过,没有看到并不代表不存在。后续,我们和考古人员会持续关注这个地下‘盲盒’,期待来日打开证实,为深入认识人类与环境关系、稻作农业演变和江苏地域文明探源作出新贡献。”舒军武充满信心地说。
来源: 江苏新闻广播
