这个春节假期,某明星瘦身50公斤出演的电影深受大家喜爱,网友直呼“太励志”。
不少网友在观影后下定决心,新的一年“瘦成闪电”,身边也掀起了一股减肥健身热潮。对于健身达人小周(化名)来说,这样的氛围更是少不了去健身房出身汗。
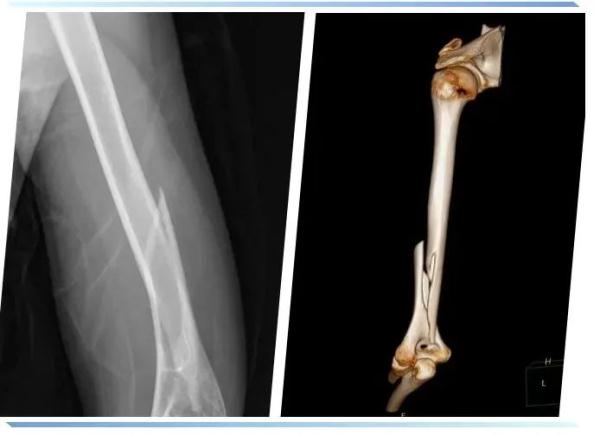
虽然是健身房的“老手”,也架不住意外来袭,一次“撸铁”过后,小周的手臂肱骨竟意外折了,就连自己都难以想到,撸个铁竟然把自己撸进了医院,还要做手术。
事发当天,小周的健身教练休息了,为了健身她就近找了一家24小时自助健身房,准备自己健身。在举杠铃做深蹲时,杠铃不慎滑落,啪嗒一声,左臂上侧一阵剧烈的疼痛袭来。
“当时举的杠铃重量在40公斤,平时这样的动作能做好几组,想着给自己加点难度多做了几个,结果就出意外了。当时预感就不是很好,手臂骨头感觉在动。”
小周忍着疼痛打了120,急救医生发现她的肱骨远端骨折,立马把她送到了医院。“健身这么久,平时也挺注意,真是想不到会这么严重。”回想这次的遭遇,小周心有余悸。
来到医院,骨科朱医生检查发现小周的情况属于左侧肱骨远端骨折,骨折线较长,需要通过手术治疗。不过一般这样的情况手术恢复效果不错,但是想要再次举起杠铃估计也要在半年后才可以。
随着全民健身时代的来临,因为运动导致损伤的患者数量也跟着不断上升。
在日常诊疗过程中,朱医生也接诊多起运动损伤病例,他说:“年后至今两周多的时间,我们就陆续接诊了近200例运动损伤患者,其中年轻人和中老年人群各占一半。”
在运动损伤中肩部损伤较为多见,像“肱二头肌长头肌腱炎”的毛病就比较多。朱医生说:“过去较多为中老年患者,现在年轻化趋势明显,并且高发于‘撸铁’一族,还有一些经常做过肩运动的,比如羽毛球、网球这种运动的人群。”
对此,朱医生提醒广大健身爱好者,运动前要一定要做好热身,来提高身体的协调性,提升韧带张力,减少运动过程受伤的概率。日常运动还是要量力而行,切莫因为追求大重量而损伤身体。运动过程中,如果要做一些剧烈运动或是大重量运动时身边最好有人陪同保护,运动过程中要选择合适的衣服鞋子。更为要紧的是,运动后要进行拉伸,必要时可以用局部冰敷的方式,减少运动后产生的炎症反应,延长运动寿命。
转自:萧山日报
来源: 人民网科普

