说到头痛
相信很多人都有切身体会
说轻不轻,说重不重,忍忍就算
但它一会突然出现
一会又突然消失
这种折腾实在难缠!
很多人认为
头痛是脑袋里出问题了
但其实
问题还有可能出在
颈椎上
↓↓↓
林先生是一名软件工程师,也是一名不折不扣的“低头族”——他经常在电脑前面连续工作4-6小时,每周多次加班至深夜。
由于长时间使用电脑和紧张的工作节奏,林先生经常出现颈痛、头痛和失眠等症状,严重时要通过口服止痛药或到医院进行物理治疗才能缓解。
近期,半夜出差回到家里的林先生倒头就睡,一觉醒来却发现左侧枕部、上颈部剧烈疼痛,转头困难,口服止痛药也无法缓解,于是他赶紧到医院就诊。
接诊医生为林先生查体后发现,林先生左侧枕部有一个明显压痛点,按压时疼痛会向同侧后枕、头顶部放射,颈部肌肉紧张痉挛,无同侧上肢放射性疼痛。
结合工作性质、反复慢性疼痛特点及之前的颈椎正侧位X片,医生诊断林先生是颈源性头痛。
考虑到林先生这次头痛和颈痛发作疼痛剧烈,口服药物效果不显著,医生给予超声介入第2颈神经后支阻滞。
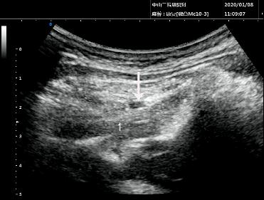
超声介入第2颈神经后支阻滞声像图(数字“1”为头下斜肌,白色箭头显示药液弥散)
注射后约30分钟,林先生感觉疼痛缓解,医生叮嘱他这段时间需要注意休息,格外留意工作的姿势,每使用电脑约1小时就适当地做颈部后伸活动,每天坚持2节颈部活动度和肌群抗阻练习等。
回家休息了大半天后,林先生晚上安稳地睡了一觉,第二天便精神抖擞地上班了,一周后,林先生在复诊时表示头痛没有再发作,坚持自我练习后,颈部不适明显改善。
医生介绍,随着智能手机及电脑的普及,像林先生这样的“低头族”很常见,颈源性头痛的发生率也明显增高。
颈源性头痛是指由颈椎或颈部软组织的器质性或功能性病损所引起的,以慢性、单侧头部疼痛为主要表现的综合征。
由于颈部长时间不良姿势,及日常活动频繁,容易出现颈部肌肉痉挛和/或韧带筋膜慢性劳损伴炎性刺激、颈椎小关节紊乱、颈椎间盘退变或突出等刺激或机械性卡压 C1-C3神经根分支从而出现颈源性头痛。
导致林先生头痛的第2颈神经后支是颈神经后支中最大的一支。由于长时间低头/头部前倾工作,头下斜肌等枕下肌群容易劳损,局部肌肉和筋膜紧张、肿胀,发生无菌性炎症,使第2颈神经后支受压,产生枕部向颅顶部的放射性胀痛。
头下斜肌与第2颈神经后支的毗邻解剖(绿色标识为头下斜肌,第2颈神经后支在头下斜肌表面)
超声介入第2颈神经后支阻滞是在超声介入下在头下斜肌浅层注入镇痛液,可快速、有效减轻局部炎症反应,减轻对神经卡压,从而缓解疼痛。
急性疼痛缓解后,加强颈部、特别是颈后肌群的抗阻自我练习,可增强颈肌肌力,保持颈椎稳定性,预防颈椎病,减少颈源性头痛发生或复发。
医生指出,保守治疗是颈源性头痛的首选治疗方式,主要包括:口服药物(包括:非甾体类抗炎药和肌松药)、物理因子治疗(低频电刺激、磁疗等)和手法治疗。
对于保守治疗效果不明显的患者,明确诊断后,可在超声介入下行颈神经后支阻滞治疗。与口服药物相比,超声介入神经阻滞具有高度的选择性,可精确地阻断与疼痛相关神经,用最少的药量达到最佳治疗效果。
1. 保持良好的睡眠体位和工作姿势
● 选择合适的枕头,睡眠中将头颈部放在适当的位置,对于预防颈椎和颈部肌肉劳损性疾病具有重要意义。
● 选择符合人体工效学设计的电脑桌椅,电脑桌椅可以调整高度,座椅最好有支持性椅背及扶手。
坐上去后,坐姿能保持三个90度:上半身应保持颈部竖直,两肩自然下垂,上臂贴近身体,肘部屈曲90度操作键盘或鼠标;下半身腰部可靠在椅背,保持挺直,腰部和大腿成90度;膝部自然弯曲90度,双脚平放着地或一小板凳上,不要交叉双脚,以免影响血液循环。
使用电脑的正确姿势
● 工作中要经常变换姿势。坚持做工间操,颈部的后伸练习、颈后肌群的抗阻自我练习都是简单有效的方法。
2. 自我保护和预防头颈部外伤
● 在生活、工作中,特别是乘车和乘飞机时,使用安全带可减少头颈部创伤的发生,降低损伤的程度。
● 及时治疗头颈部急性损伤。在急性损伤期,应注意保持卧床休息,采用颈托等用具进行颈部制动保护1-3天,及时就医,尽量使受伤的颈椎和肌肉创伤反应减至最低程度。
3. 避免过度脑力劳动和长期精神紧张
过度脑力劳动和长期精神紧张是颈源性头痛患者的共同特征,也是颈源性头痛发作的重要诱因。因此,注意劳逸结合和经常调整心理状态对控制颈源性头痛很有意义。
如果发现疼痛
记得要及时就医
避免小痛拖成大痛
大痛拖成慢痛
甚至引发其他问题
通讯员:黄睿 刘文琴 林泽锋
医学指导:中山大学孙逸仙纪念医院康复医学科副主任 伍少玲
转自:广东省卫生健康宣传教育中心
来源: 经视健康家










