一位25岁的年轻女性小丽(化名)为了调节月经,服用了近一个月的避孕药,不想近日却突然发生了急性肺栓塞……
广州医科大学附属第一医院呼吸科紧急接收了小丽入院,幸好抢救及时,没有生命危险,经过规范的抗凝治疗后,患者已逐渐好转出院。
01
因月经紊乱服用避孕药
不想竟然堵了肺
据小丽描述,因为长期的月经周期紊乱,且暂时没有生育计划,在听说口服避孕药可以调节生理期后,她便自行去药房购买了避孕药,连续吃了28天。
一天,她正在上班时突然感觉到胸部持续性的刺痛,左侧更为严重,尤其是深呼吸或者咳嗽的时候,疼痛会更加剧烈,而且气促症状明显。
同事立即将她就近送往医院检查,考虑是急性肺栓塞、发生肺部感染,药物治疗后效果不佳,仍然有咳嗽,而且在咳嗽、体位改变的时候胸痛症状加剧。再次到医院复查时发现双肺动脉多发肺栓塞,已经发展成为双肺肺炎、胸腔积液。
为了更好地寻求治疗,小丽慕名来到广州医科大学附属第一医院国家呼吸医学中心。
“患者来的时候咳嗽、气促、胸痛症状非常明显,在外院诊断为肺栓塞,已经用了足量的低分子肝素抗凝药物多天,症状没有明显改善,不敢大声说话、深呼吸,翻身、抬手会诱发明显的刺痛感和牵拉感,只能卧床休息、限制活动。”
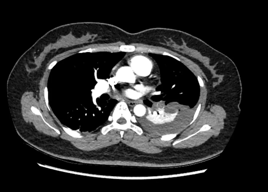
经过详细的询问病史和进一步检查之后,呼吸与危重症医学科-肺血管介入组组长洪城主任表示,患者的D二聚体4794 ng/ml,超过正常人的二十多倍,凝血功能亢进,属于易栓症体质,初步诊断考虑是“急性肺栓塞”。



患者入院复查CTPA
面对这种情况,洪城团队迅速调整了治疗方案。首先通过药物治疗减轻胸痛程度,有效降低蛋白C活性,然后结合患者症状明显、肺梗死面积大的病情,为其进行静脉溶栓,密切监测患者D二聚体、纤维蛋白原、心电图等重要指标的变化情况,确保溶栓效果及安全性,溶栓后继续使用普通肝素进行抗凝治疗。

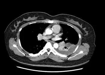
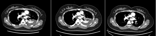
患者影像检查变化
经过规范的溶栓、抗凝治疗,患者咳嗽及咳嗽时胸痛的情况明显好转,复查造影结果显示,肺梗死灶和胸腔积液均有明显改善。

02
服用避孕药
为何会导致肺栓塞?
避孕药为何会增加肺栓塞的风险?洪城介绍,常用的口服避孕药都属于甾体激素类药物,主要由雌激素、雌二醇和孕激素组成,是常见的避孕方法或调节生理周期的手段。避孕药中的雌激素成分会刺激肝脏合成与凝血相关的血清球蛋白,导致血液处于高凝状态,从而增加血栓形成的风险,这也可能引发肺栓塞。
据相关统计,在每天服用30~35微克雌激素的女性中,每年的静脉血栓发生率为4.1万,而未服药的年轻女性发生率为2.3万。
“有高血压、高血脂、肥胖、心脏方面的疾病以及吸烟、久坐不动等高危因素的女性朋友,更加需要注意避孕药带来的血栓风险。”洪城建议,需要长期口服避孕药的朋友建议每半年到一年抽血检查一下凝血功能、血生化等指标,评估是否可以继续用药,切忌自行盲目长期使用避孕药。
如果在服用避孕药期间,突然发生胸痛、气促、咳嗽、咯血等症状,要及时到医院检查治疗,面对药物副作用引发的肺栓塞时,及时调整治疗方案、鉴别有无合并其他肺栓塞高危因素非常重要。
“急性肺栓塞有潜在致命性,约10%的患者在肺栓塞形成、出现症状的数小时内死亡,因此早发现、早诊断、早治疗在临床方面具有重要意义。”洪城提醒,并非所有的胸痛都是心脏问题,也并非所有的咳嗽、气促都是肺炎,出现这些症状一定要及时到医院鉴别诊断,以防不良后果的发生。
转自:广州卫健委
点击右上角
微信好友
朋友圈

点击浏览器下方“
”分享微信好友Safari浏览器请点击“
”按钮

点击右上角
QQ

点击浏览器下方“
”分享QQ好友Safari浏览器请点击“
”按钮
